Suppr超能文献

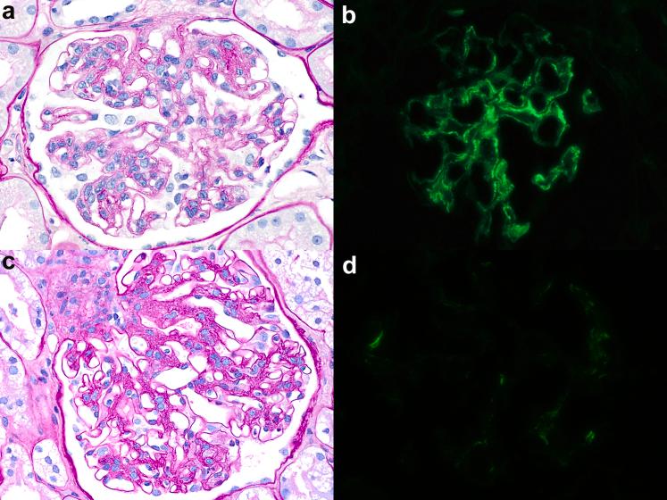
Four Cases of Kidney Transplants With Donor HCV-Derived Immune Complex Glomerulonephritis.

作者信息

Chang Jae-Hyung, Kudose Satoru, Droubi Sami, Verduzco Hector A, Awori Jeremy, Ratner Lloyd E, Mohan Sumit

机构信息

Division of Nephrology, Department of Medicine, Columbia University Vagelos College of Physicians and Surgeons, New York, New York, USA.

Department of Pathology and Cell Biology, Columbia University Vagelos College of Physicians and Surgeons, New York, New York, USA.

出版信息

Kidney Int Rep. 2024 Apr 5;9(6):1903-1907. doi: 10.1016/j.ekir.2024.04.010. eCollection 2024 Jun.

Abstract
摘要
https://cdn.ncbi.nlm.nih.gov/pmc/blobs/a19a/11184312/3b1dd67d31e2/gr1.jpg

文献检索

告别复杂PubMed语法,用中文像聊天一样搜索,搜遍4000万医学文献。AI智能推荐,让科研检索更轻松。

立即免费搜索

文件翻译

保留排版,准确专业,支持PDF/Word/PPT等文件格式,支持 12+语言互译。

免费翻译文档

深度研究

AI帮你快速写综述,25分钟生成高质量综述,智能提取关键信息,辅助科研写作。

立即免费体验