Suppr超能文献

'Not your average breast lump!'-Primary tuberculosis mimicking chronic abscess: A rare case report.

作者信息

Mohd Zamri Mohamad Irfan, Bibi Samri Shafora, Chea Lau Chiew, Mohd Taib Nur Hartini, Wan Abdul Rahman Wan Faiziah

机构信息

Department of Radiology, Hospital Universiti Sains Malaysia, Kubang Kerian, Kelantan 16150, Malaysia.

School of Medical Sciences, Health Campus, Universiti Sains Malaysia, Kubang Kerian, Kelantan 16150, Malaysia.

出版信息

Radiol Case Rep. 2024 Jun 9;19(8):3591-3595. doi: 10.1016/j.radcr.2024.05.041. eCollection 2024 Aug.

Abstract

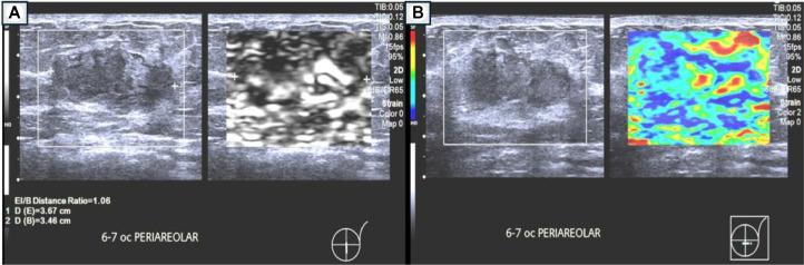
Primary breast tuberculosis is a rare disease under extrapulmonary tuberculosis category. It tends to affect females of reproductive age rather than postmenopausal women or prepubescent girls. This rare form of disease poses a challenge in diagnosing as imaging can mimic the appearance of both benign and malignant breast lesions. We describe a case of primary breast tuberculosis in a young female who presented with a persistent left breast lump. and was diagnosed with chronic left breast abscess. Histopathological examination of the lesion was consistent with granulomatous mastitis, secondary to mycobacterium tuberculosis infection. The patient was treated with a 6-month course of anti-tuberculosis drug with complete resolution of the symptoms and the left breast lesion on serial ultrasound imaging.

摘要
https://cdn.ncbi.nlm.nih.gov/pmc/blobs/50bf/11186961/8e9531469b62/gr1.jpg

文献AI研究员

20分钟写一篇综述,助力文献阅读效率提升50倍。

立即体验

用中文搜PubMed

大模型驱动的PubMed中文搜索引擎

马上搜索

文档翻译

学术文献翻译模型,支持多种主流文档格式。

立即体验