Suppr超能文献

2'-羟基-4',6'-二甲氧基查尔酮对B16F10细胞和RAW264.7细胞的抗黑色素生成及抗炎作用

Anti-Melanogenic and Anti-Inflammatory Effects of 2'-Hydroxy-4',6'-dimethoxychalcone in B16F10 and RAW264.7 Cells.

作者信息

Bae Sungmin, Lee Jung-No, Hyun Chang-Gu

机构信息

Department of Beauty and Cosmetology, Jeju Inside Agency and Cosmetic Science Center, Jeju National University, Jeju 63243, Republic of Korea.

Bio Convergence R&D Center, CoSeedBioPharm Corporation, Heungdeok-gu, Cheongju 28161, Republic of Korea.

出版信息

Curr Issues Mol Biol. 2024 Jun 14;46(6):6018-6040. doi: 10.3390/cimb46060359.

Abstract

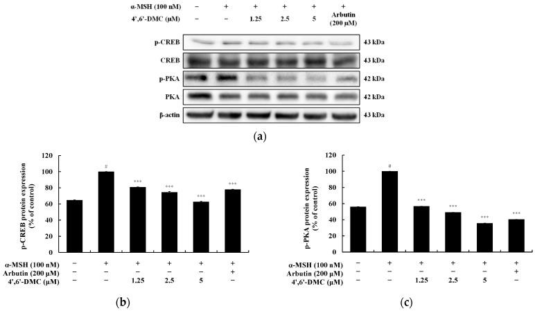
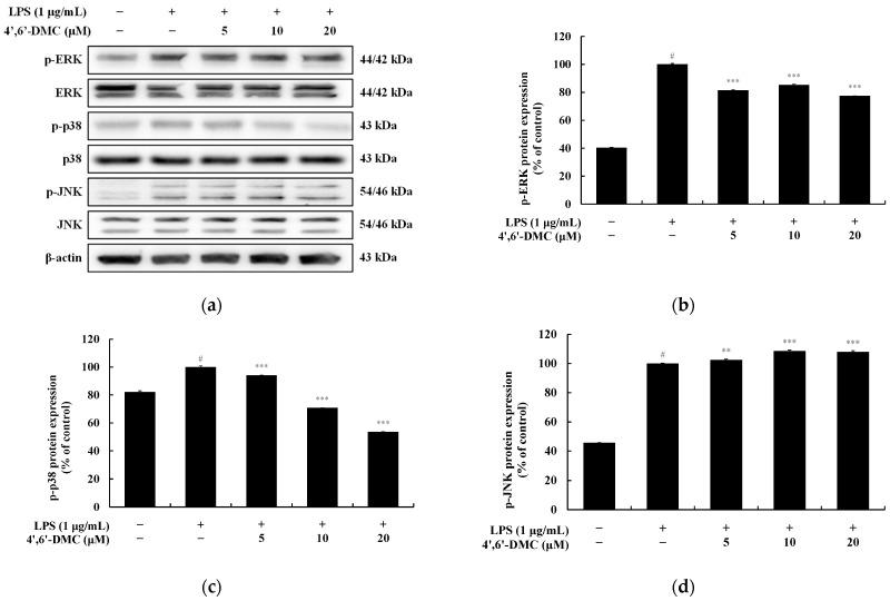
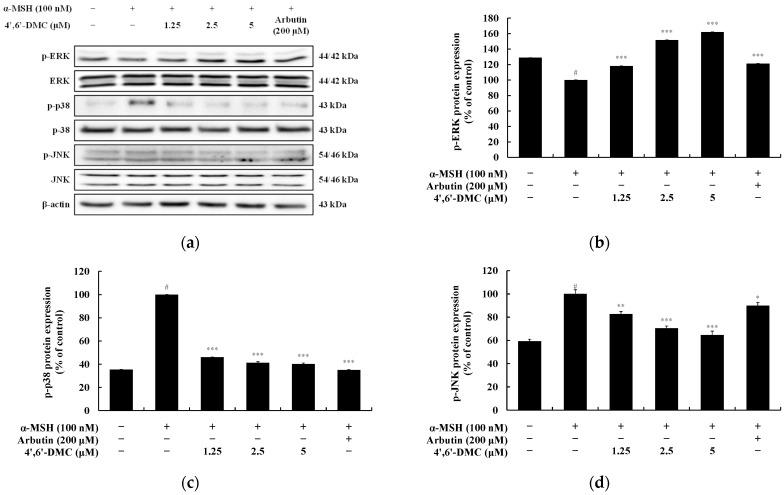
Chalcone is a type of flavonoid compound that is widely biosynthesized in plants. Studies have shown that consuming flavonoids from fruits and vegetables or applying individual ingredients reduces the risk of skin disease. However, the effects of chalcone on melanogenesis and inflammation have not been fully investigated. The aim of this study was to evaluate the anti-melanogenic and anti-inflammatory effects of 2'-hydroxy-3,4'-dimethoxychalcone (3,4'-DMC), 2'-hydroxy-4,4'-dimethoxychalcone (4,4'-DMC), 2'-hydroxy-3',4'-dimethoxychalcone (3',4'-DMC), and 2'-hydroxy-4',6'-dimethoxychalcone (4',6'-DMC). Among the derivatives of 2'-hydroxy-4'-methoxychalcone, 4',6'-DMC demonstrated the most potent melanogenesis-inhibitory and anti-inflammatory effects. As evidenced by various biological assays, 4',6'-DMC showed no cytotoxicity and notably decreased the expression of tyrosinase, tyrosinase-related protein (TRP)-1, and TRP-2 enzymes. Furthermore, it reduced cellular melanin content and intracellular tyrosinase activity in B16F10 melanoma cells by downregulating microphthalmia-associated transcription factor (MITF), cAMP-dependent protein kinase (PKA), cAMP response element-binding protein (CREB), p38, c-Jun N-terminal kinase (JNK), β-catenin, glycogen synthase kinase-3β (GSK3β), and protein kinase B (AKT) proteins, while upregulating extracellular signal-regulated kinase (ERK) and p-β-catenin. Additionally, treatment with 4',6'-DMC significantly mitigated the lipopolysaccharide (LPS)-induced expression of NO, PGE, inflammatory cytokines, COX-2, and iNOS proteins. Overall, 4',6'-DMC treatment notably alleviated LPS-induced damage by reducing nuclear factor kappa B (NF-κB), p38, JNK protein levels, and NF-kB/p65 nuclear translocation. Finally, the topical applicability of 4',6'-DMC was evaluated in a preliminary human skin irritation test and no adverse effects were found. These findings suggest that 4',6'-DMC may offer new possibilities for use as functional ingredients in cosmeceuticals and ointments.

摘要

查尔酮是一种在植物中广泛生物合成的类黄酮化合物。研究表明,食用水果和蔬菜中的类黄酮或应用单一成分可降低患皮肤病的风险。然而,查尔酮对黑素生成和炎症的影响尚未得到充分研究。本研究的目的是评估2'-羟基-3,4'-二甲氧基查尔酮(3,4'-DMC)、2'-羟基-4,4'-二甲氧基查尔酮(4,4'-DMC)、2'-羟基-3',4'-二甲氧基查尔酮(3',4'-DMC)和2'-羟基-4',6'-二甲氧基查尔酮(4',6'-DMC)的抗黑素生成和抗炎作用。在2'-羟基-4'-甲氧基查尔酮的衍生物中,4',6'-DMC表现出最有效的黑素生成抑制和抗炎作用。各种生物学分析表明,4',6'-DMC无细胞毒性,显著降低酪氨酸酶、酪氨酸酶相关蛋白(TRP)-1和TRP-2酶的表达。此外,它通过下调小眼相关转录因子(MITF)、环磷酸腺苷依赖性蛋白激酶(PKA)、环磷酸腺苷反应元件结合蛋白(CREB)、p38、c-Jun氨基末端激酶(JNK)、β-连环蛋白、糖原合酶激酶-3β(GSK3β)和蛋白激酶B(AKT)蛋白,降低B16F10黑素瘤细胞中的细胞黑素含量和细胞内酪氨酸酶活性,同时上调细胞外信号调节激酶(ERK)和p-β-连环蛋白。此外,用4',6'-DMC处理显著减轻了脂多糖(LPS)诱导的NO、PGE、炎性细胞因子、COX-2和iNOS蛋白的表达。总体而言,4',6'-DMC处理通过降低核因子κB(NF-κB)、p38、JNK蛋白水平和NF-κB/p65核转位,显著减轻了LPS诱导的损伤。最后,在初步的人体皮肤刺激试验中评估了4',6'-DMC的局部适用性,未发现不良反应。这些发现表明,4',6'-DMC可能为用作药妆品和软膏中的功能成分提供新的可能性。

https://cdn.ncbi.nlm.nih.gov/pmc/blobs/2212/11202956/85b075469018/cimb-46-00359-g001.jpg

文献AI研究员

20分钟写一篇综述,助力文献阅读效率提升50倍。

立即体验

用中文搜PubMed

大模型驱动的PubMed中文搜索引擎

马上搜索

文档翻译

学术文献翻译模型,支持多种主流文档格式。

立即体验