Suppr超能文献

Case report of increased left ventricular end-diastolic pressure with pulsatile left ventricular assist device.

作者信息

de Sá Marchi Mauricio Felippi, Verhemel Sarah, Nuis Rutger-Jan, Van Mieghem Nicolas M

机构信息

Department of Cardiology, Thoraxcenter, Erasmus University Medical Center, Rotterdam, The Netherlands.

Department of Interventional Cardiology, Heart Institute (InCor), Hospital das Clínicas da Faculdade de Medicina da Universidade de São Paulo, São Paulo, Brazil.

出版信息

Eur Heart J Case Rep. 2024 Jun 24;8(6):ytae291. doi: 10.1093/ehjcr/ytae291. eCollection 2024 Jun.

Abstract

BACKGROUND

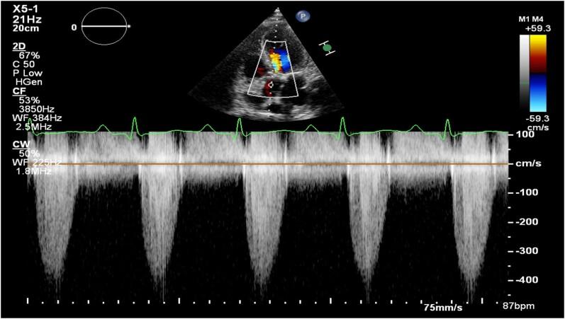
Left ventricular assist devices (LVADs) are increasingly utilized in cardiogenic shock and high-risk percutaneous coronary interventions (PCIs). These devices aspirate and expel blood from the left ventricle (LV) into the aorta, consequently reducing left ventricular end-diastolic pressure (LVEDP). We report a case of unexpected LVEDP rise under LV-to-aorta LVAD in the context of transcatheter aortic valve implantation (TAVI) and concomitant multi-vessel PCI.

CASE SUMMARY

A patient with acute heart failure, severely depressed systolic LV function, severe aortic stenosis, and multi-vessel coronary artery disease underwent TAVI and concomitant PCI under pulsatile LVAD. Notably, the patient experienced unexpected shortness of breath and elevated LVEDP while under LVAD, which normalized immediately upon LVAD removal.

DISCUSSION

Pulsatile LVAD enhances cardiac output by providing pulsatile support through a percutaneous bi-directional flow catheter. Despite expectations of reduced LVEDP and improved myocardial oxygen supply under LVAD support, we observed high LVEDP and clinical complaints of shortness of breath following TAVI and multi-vessel PCI. This case illustrates that an LVAD across the aortic valve may immobilize aortic leaflets and generate acute aortic regurgitation.

摘要
https://cdn.ncbi.nlm.nih.gov/pmc/blobs/971b/11210297/4b4a92d6a43f/ytae291il2.jpg

相似文献

1
Case report of increased left ventricular end-diastolic pressure with pulsatile left ventricular assist device.
Eur Heart J Case Rep. 2024 Jun 24;8(6):ytae291. doi: 10.1093/ehjcr/ytae291. eCollection 2024 Jun.
3
Effect of transcatheter aortic valve implantation on intraoperative left ventricular end-diastolic pressure.
J Anesth. 2016 Dec;30(6):1051-1055. doi: 10.1007/s00540-016-2229-7. Epub 2016 Aug 11.

本文引用的文献

1
Temporary mechanical circulatory support devices: practical considerations for all stakeholders.
Nat Rev Cardiol. 2023 Apr;20(4):263-277. doi: 10.1038/s41569-022-00796-5. Epub 2022 Nov 10.
3
Pulsatile iVAC 2L circulatory support in high-risk percutaneous coronary intervention.
EuroIntervention. 2017 Feb 20;12(14):1689-1696. doi: 10.4244/EIJ-D-16-00371.

文献AI研究员

20分钟写一篇综述,助力文献阅读效率提升50倍。

立即体验

用中文搜PubMed

大模型驱动的PubMed中文搜索引擎

马上搜索

文档翻译

学术文献翻译模型,支持多种主流文档格式。

立即体验