Suppr超能文献

营养保健品与抗生素生长促进剂:对肉鸡生产性能、肉品质、血脂、盲肠微生物群和器官组织形态学的影响差异。

Nutraceuticals vs. antibiotic growth promoters: differential impacts on performance, meat quality, blood lipids, cecal microbiota, and organ histomorphology of broiler chicken.

机构信息

Department of Nutrition and Clinical Nutrition, Faculty of Veterinary Medicine, Menoufia University, Shibin El-Kom 32514, Egypt.

Department of Cytology and Histology, Faculty of Veterinary Medicine, University of Sadat City, Sadat City 32897, Egypt.

出版信息

Poult Sci. 2024 Sep;103(9):103971. doi: 10.1016/j.psj.2024.103971. Epub 2024 Jun 11.

Abstract

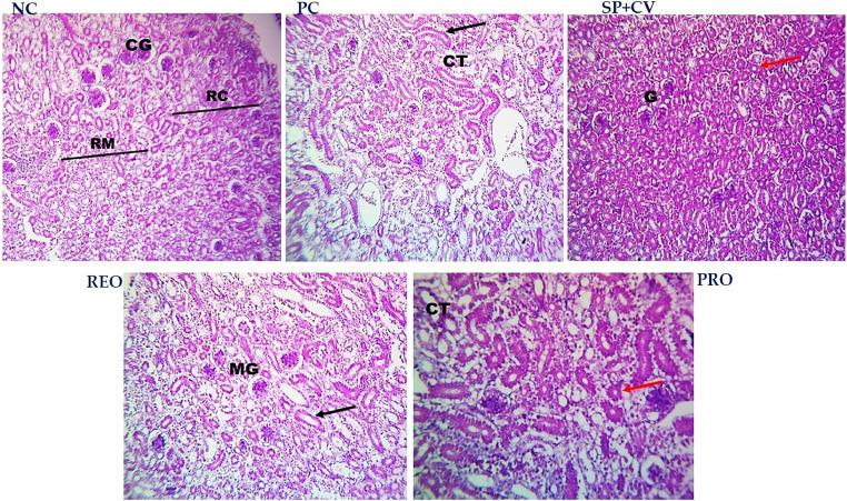
The main goal of this study was to evaluate the effect of nutraceuticals vs. in-feed antibiotics on performance, blood lipids, antioxidant capacity, cecal microbiota, and organ histomorphology of broiler chickens. A total of 320 one-day-old male broiler chickens were distributed into 5 treatment groups with 8 replicates each. The control group was fed on a basal diet without any additives (NC); the antibiotic group was fed on a basal diet supplemented with 100 mg kg-1 avilamycin (PC); the algal group was fed on a basal diet supplemented with a mixture of Spirulina platensis and Chlorella vulgaris (1.5 g + 1.5 g/kg feed) (SP+CV); the essential oil group was fed with a basal diet containing 300 mg/kg feed rosemary oil (REO); and the probiotics group (a mixture of 1 × 10 CFU/g Bacillus licheniformis, 1 × 10 CFU/g Enterococcus facieum, 1 × 10 CFU/g Lactobacillus acidophilus, and 2 × 10 CFU /g Saccharomyces cerevisiae) was fed with a basal diet supplemented with 0.05% probiotics (PRO). The experiment lasted for 35 d. A beneficial effect of SP+CV and PRO (P < 0.01) was noticed on final body weight, body weight gain, feed conversion ratio, and breast yield. The dietary supplementation with SP+CV, REO, and PRO increased (P < 0.001) broilers' cecal lactic acid bacteria count compared to the control. Lower cecal Clostridium perfringens and Coliform counts (P < 0.001) were noticed in chickens fed the PC and supplemental diets. Malondialdehyde (MDA) concentration was decreased, while glutathione peroxidase (GPx), superoxide dismutase, and catalase enzymes were increased in the breast and thigh meat (P < 0.001) of broiler chickens fed SP+CV, REO, and PRO diets. Dietary SP+CV, REO, and PRO supplementation decreased (P < 0.001) serum total lipids, cholesterol, triglycerides, low-density lipoprotein, and MDA, but increased serum high-density lipoprotein and GPx compared to PC and NC. No pathological lesions were noticed in the liver, kidney, or breast muscle among broilers. The SP+CV, REO, and PRO groups had greater (P < 0.001) intestinal villi height and crypt depth while lower goblet cell densities (P < 0.01) than the control. The present findings suggest that PRO and SP+CV, followed by REO could be suitable alternatives to in-feed antibiotics for enhancing the performance, health, and meat quality of broiler chickens.

摘要

本研究的主要目的是评估营养保健品与饲料中添加抗生素对肉鸡生产性能、血液脂质、抗氧化能力、盲肠微生物群和器官组织形态的影响。将 320 只 1 日龄雄性肉鸡随机分为 5 个处理组,每个处理组设 8 个重复。对照组(NC)饲喂基础日粮,不添加任何添加剂;抗生素组(PC)饲喂基础日粮,添加 100mg/kg 阿维拉霉素;藻粉组(SP+CV)饲喂基础日粮,添加螺旋藻和小球藻混合物(1.5g+1.5g/kg 饲料);迷迭香油组(REO)饲喂基础日粮,添加 300mg/kg 饲料的迷迭香油;益生菌组(PRO)饲喂基础日粮,添加 0.05%的益生菌(由地衣芽孢杆菌、屎肠球菌、嗜酸乳杆菌和酿酒酵母组成,活菌数分别为 1×10^9 CFU/g、1×10^9 CFU/g、1×10^9 CFU/g 和 2×10^9 CFU/g)。试验持续 35d。结果表明,SP+CV 和 PRO (P<0.01)显著提高了肉鸡的末重、体重增重、饲料转化率和胸肉产量。与对照组相比,SP+CV、REO 和 PRO 组肉鸡盲肠乳酸杆菌数量显著增加(P<0.001)。PC 和补充日粮组肉鸡盲肠梭菌和大肠菌群数量显著降低(P<0.001)。添加 SP+CV、REO 和 PRO 日粮可降低肉鸡胸肉和腿肉中的丙二醛(MDA)浓度,提高谷胱甘肽过氧化物酶(GPx)、超氧化物歧化酶和过氧化氢酶的活性(P<0.001)。与 PC 和 NC 组相比,SP+CV、REO 和 PRO 组肉鸡血清总胆固醇、胆固醇、甘油三酯、低密度脂蛋白和 MDA 浓度降低,高密度脂蛋白和 GPx 浓度升高(P<0.001)。肉鸡肝脏、肾脏或胸肌无病变。与对照组相比,SP+CV、REO 和 PRO 组肉鸡的肠绒毛高度增加,隐窝深度增加,杯状细胞密度降低(P<0.01)。本研究结果表明,PRO 和 SP+CV,其次是 REO,可以作为饲料中添加抗生素的替代品,以提高肉鸡的生产性能、健康和肉质。

https://cdn.ncbi.nlm.nih.gov/pmc/blobs/411a/11260365/4307f3062dca/gr1.jpg

文献AI研究员

20分钟写一篇综述,助力文献阅读效率提升50倍。

立即体验

用中文搜PubMed

大模型驱动的PubMed中文搜索引擎

马上搜索

文档翻译

学术文献翻译模型,支持多种主流文档格式。

立即体验