Suppr超能文献

复发性肺脓肿之谜:一名学龄儿童的管理与结局并文献综述

The Enigma of Recurrent Lung Abscess: Management and Outcomes in a School-Aged Child With a Review of Literature.

作者信息

Bhende Vishal V, Thacker Jigar P, Mehta Deepakkumar V, Krishnakumar Mathangi, Khara Birva N

机构信息

Pediatric Cardiac Surgery, Bhanubhai and Madhuben Patel Cardiac Centre, Shree Krishna Hospital, Bhaikaka University, Karamsad, IND.

Pediatrics, Pramukhswami Medical College, Shree Krishna Hospital, Bhaikaka University, Karamsad, IND.

出版信息

Cureus. 2024 Jul 1;16(7):e63579. doi: 10.7759/cureus.63579. eCollection 2024 Jul.

Abstract

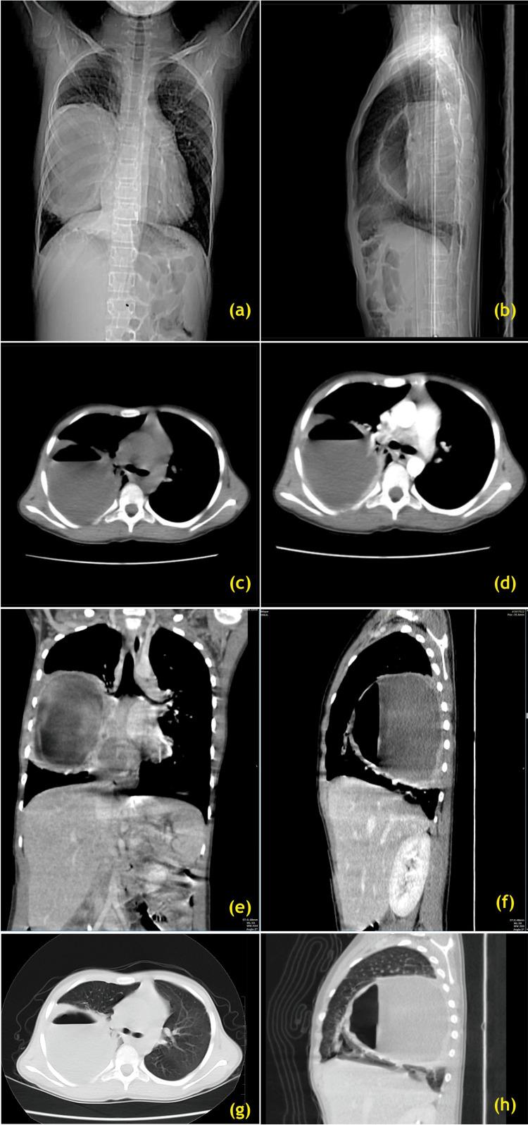
Pediatric lung abscess is a rare and poorly studied disease entity. In the past, prolonged courses of intravenous (IV) antibiotics have been successfully used; however, with the advent of interventional radiology, the main therapeutic approach is through percutaneous placement of pigtail catheters with ultrasound and computed tomography (CT) direction, where available. The pathogen yield identified from fluid samples of the abscess has dramatically increased owing to the greater invasive measures, such as aspiration and drainage, as well as enhanced microbiological diagnostic methods, which also include polymerase chain reaction testing. In our case report, in 2012 when the patient was two years old, she was diagnosed with pulmonary Koch's and underwent anti-Koch's therapy, category 2. High-resolution CT of the chest revealed a large lobulated cavitary lesion with an air-fluid level suggestive of a right lung abscess. After initial therapy with IV antibiotics for three weeks and a negative tuberculosis work-up, she underwent right limited lateral thoracotomy and drainage with decortication of the right lung abscess (LA) in 2019 via a left endobronchial tube with a bronchial blocker (general endobronchial anesthesia). All samples sent for histopathologic examination after surgery yielded negative results, and she was discharged after a course of injectable antibiotics for 21 days. She remained almost symptom-free for the next four years. Thereafter, she presented with a right LA recurrence due to a thick-walled cavitary lesion, with a severely damaged right lower lung lobe resulting in right lower lobectomy under single-lung ventilation (double-lumen endotracheal tube No. 26 Fr.). Culture results should guide management, particularly for immunocompromised patients, as the LA may be attributed to complications arising from underlying conditions. Primary lung abscesses (PLA) in children are typically caused by  and . Compared to adults, children with PLA and secondary lung abscesses have a meaningfully greater rate of recovery.

摘要

小儿肺脓肿是一种罕见且研究较少的疾病实体。过去,长期静脉使用抗生素已成功应用;然而,随着介入放射学的出现,主要治疗方法是在有条件的情况下,通过超声和计算机断层扫描(CT)引导经皮放置猪尾导管。由于采用了更具侵入性的措施,如抽吸和引流,以及改进的微生物诊断方法,包括聚合酶链反应检测,从脓肿液体样本中鉴定出的病原体数量大幅增加。在我们的病例报告中,2012年患者两岁时被诊断为肺结核并接受了2类抗结核治疗。胸部高分辨率CT显示一个大的分叶状空洞性病变,伴有气液平面,提示右肺脓肿。在静脉使用抗生素初始治疗三周且结核检查结果为阴性后,她于2019年通过带有支气管封堵器的左支气管内导管(全身支气管内麻醉)接受了右肺局限性外侧开胸手术及右肺脓肿剥脱引流术。术后送检的所有组织病理学检查样本结果均为阴性,在接受了21天的注射用抗生素治疗后她出院了。在接下来的四年里她几乎没有症状。此后,她因厚壁空洞性病变出现右肺脓肿复发,右肺下叶严重受损,导致在单肺通气(26F双腔气管内导管)下行右下肺叶切除术。培养结果应指导治疗管理,特别是对于免疫功能低下的患者,因为肺脓肿可能归因于潜在疾病引起的并发症。儿童原发性肺脓肿(PLA)通常由 和 引起。与成人相比,患有PLA和继发性肺脓肿的儿童恢复率明显更高。

https://cdn.ncbi.nlm.nih.gov/pmc/blobs/30f6/11218490/63ff53102aef/cureus-0016-00000063579-i01.jpg

文献AI研究员

20分钟写一篇综述,助力文献阅读效率提升50倍。

立即体验

用中文搜PubMed

大模型驱动的PubMed中文搜索引擎

马上搜索

文档翻译

学术文献翻译模型,支持多种主流文档格式。

立即体验