Suppr超能文献

使用益生菌管理非酒精性脂肪性胰腺的实验研究

Experimental investigation for nonalcoholic fatty pancreas management using probiotics.

作者信息

Matboli Marwa, Al-Amodi Hiba S, Hamady Shaimaa, Ali Marwa, Roushdy Marian Ms, Hasanin Amany Helmy, Aboul-Ela Yasmin M, Albadawy Reda, Gomaa Eman, Kamel Hala F M, ELsawi Hind A, Farid Laila M, Abouelkhair Mariam B, Elmakromy Gena M, Fawzy Nesma Mohamed

机构信息

Medical biochemistry and molecular biology department, Faculty of medicine, Ain Shams University, Cairo, 11566, Egypt.

Biochemistry Department, Faculty of Medicine, Umm Al-Qura University, Makkah, 21955, Saudi Arabia.

出版信息

Diabetol Metab Syndr. 2024 Jul 3;16(1):147. doi: 10.1186/s13098-024-01378-w.

Abstract

BACKGROUND

Nonalcoholic fatty pancreatitis (NAFP) presents a pressing challenge within the domain of metabolic disorders, necessitating further exploration to unveil its molecular intricacies and discover effective treatments. Our focus was to delve into the potential therapeutic impact of ZBiotic, a specially engineered strain of probiotic B. subtilis, in managing NAFP by targeting specific genes linked with necroptosis and the TNF signaling pathway, including TNF, ZBP1, HSPA1B, and MAPK3, along with their upstream epigenetic regulator, miR-5192, identified through bioinformatics.

METHODS

Rats were subjected to either a standard or high-fat, high-sucrose diet (HFHS) for eight weeks. Subsequently, they were divided into groups: NAFP model, and two additional groups receiving daily doses of ZBiotic (0.5 ml and 1 ml/kg), and the original B. subtilis strain group (1 ml/kg) for four weeks, alongside the HFHS diet.

RESULTS

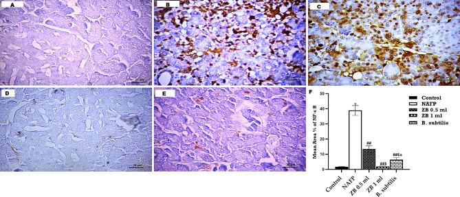
ZBiotic exhibited remarkable efficacy in modulating gene expression, leading to the downregulation of miR-5192 and its target mRNAs (p < 0.001). Treatment resulted in the reversal of fibrosis, inflammation, and insulin resistance, evidenced by reductions in body weight, serum amylase, and lipase levels (p < 0.001), and decreased percentages of Caspase and Nuclear Factor Kappa-positive cells in pancreatic sections (p < 0.01). Notably, high-dose ZBiotic displayed superior efficacy compared to the original B. subtilis strain, highlighting its potential in mitigating NAFP progression by regulating pivotal pancreatic genes.

CONCLUSION

ZBiotic holds promise in curbing NAFP advancement, curbing fibrosis and inflammation while alleviating metabolic and pathological irregularities observed in the NAFP animal model. This impact was intricately linked to the modulation of necroptosis/TNF-mediated pathway-related signatures.

摘要

背景

非酒精性脂肪性胰腺炎(NAFP)是代谢紊乱领域面临的一项紧迫挑战,需要进一步探索以揭示其分子复杂性并找到有效的治疗方法。我们的重点是深入研究ZBiotic(一种经过特殊工程改造的枯草芽孢杆菌益生菌菌株)对NAFP的潜在治疗作用,通过靶向与坏死性凋亡和TNF信号通路相关的特定基因,包括TNF、ZBP1、HSPA1B和MAPK3,以及通过生物信息学鉴定的其上游表观遗传调节因子miR-5192。

方法

将大鼠分为标准饮食组或高脂高糖饮食(HFHS)组,持续八周。随后,将它们分为几组:NAFP模型组,另外两组分别每日给予ZBiotic(0.5毫升和1毫升/千克),以及原始枯草芽孢杆菌菌株组(1毫升/千克),同时给予HFHS饮食,持续四周。

结果

ZBiotic在调节基因表达方面表现出显著效果,导致miR-5192及其靶标mRNA下调(p < 0.001)。治疗导致纤维化、炎症和胰岛素抵抗得到逆转, 体重、血清淀粉酶和脂肪酶水平降低(p < 0.001),胰腺切片中半胱天冬酶和核因子κB阳性细胞百分比降低(p < 0.01),证明了这一点。值得注意的是,高剂量ZBiotic比原始枯草芽孢杆菌菌株显示出更好的疗效,突出了其通过调节关键胰腺基因减轻NAFP进展的潜力。

结论

ZBiotic有望抑制NAFP的进展, 抑制纤维化和炎症,同时减轻NAFP动物模型中观察到的代谢和病理异常, 这种影响与坏死性凋亡/TNF介导的通路相关特征的调节密切相关。

https://cdn.ncbi.nlm.nih.gov/pmc/blobs/c71f/11223304/cec898b6f2b7/13098_2024_1378_Fig1_HTML.jpg

文献AI研究员

20分钟写一篇综述,助力文献阅读效率提升50倍。

立即体验

用中文搜PubMed

大模型驱动的PubMed中文搜索引擎

马上搜索

文档翻译

学术文献翻译模型,支持多种主流文档格式。

立即体验