Suppr超能文献

口腔鳞状细胞癌临床与病理肿瘤分期的一致性:一项机构研究

A Concordance Between Clinical and Pathological Tumor Staging of Oral Squamous Cell Carcinoma: An Institutional Study.

作者信息

S Dharini, Ramalingam Karthikeyan, Ramani Pratibha, Krishnan Murugesan

机构信息

Oral Pathology and Microbiology, Saveetha Dental College and Hospitals, Saveetha Institute of Medical and Technical Sciences, Saveetha University, Chennai, IND.

Oral and Maxillofacial Surgery, Saveetha Dental College and Hospitals, Saveetha Institute of Medical and Technical Sciences, Saveetha University, Chennai, IND.

出版信息

Cureus. 2024 Jun 3;16(6):e61584. doi: 10.7759/cureus.61584. eCollection 2024 Jun.

Abstract

BACKGROUND

Among oral diseases, oral cancer is the primary cause of death and poses a serious health risk. Primary tumor (T) - regional lymph node (N) - distant metastasis (M) comprising (TNM) staging is crucial for planning treatment strategies for patients with oral squamous cell carcinoma (OSCC).

AIM

This study evaluated the predictive accuracy of clinical TNM staging of OSCC to histopathological staging (pTNM) in an institutional setting.

MATERIALS AND METHODS

Fifty-four consecutive histologically confirmed, surgically treated OSCC cases were evaluated for TNM staging. The study compared the clinical staging at the time of surgery with the pathological staging obtained from excisional biopsy reports. Microsoft Excel (Microsoft® Corp., Redmond, WA, USA) was used for the data compilation and descriptive analysis. The chi-square test, analysis of variance (ANOVA), and Tukey's Honest Significant Difference (HSD) posthoc test were used to compare the data for statistical significance with p value <0.05 using Statistical Package for the Social Sciences (IBM SPSS Statistics for Windows, IBM Corp., Version 23.0, Armonk, NY).

RESULTS

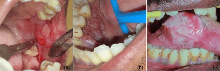
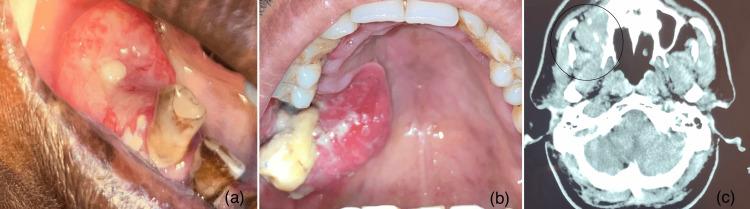
The alveolar mucosa (n=22, 40.74%) was the most frequently occurring site, followed by the tongue (n=17, 31.48%). Out of the 54 included cases, based on clinical tumor size, there were T1 (n=6), T2 (n=13), T3 (n=13), T4a (n=16) and T4b (n=6). T2 tumors were usually upstaged (n=7) while T4a (n=8) tumors were most often downstaged. T4a (n=8) had the best concordance between clinical and histopathological staging, followed by T2, T3, and T1. In nodal status, N1 showed the most variation. The chi-squared test showed statistical significance for tumor size comparison (p <0.001) and nodal status comparison (p=0.002). ANOVA test did not show any statistical significance. Tukey's HSD posthoc test showed statistical significance (p=0.034) for N0 and N1 status. The highest concordance was shown by N0 and N1 followed by N2b.

CONCLUSION

Preoperative radiological and clinical assessments are essential for deciding on a patient's course of treatment. However, not all patients may require radiographs to determine tumor size or nodal status assessment. Accurate diagnosis is vital for the treatment planning of OSCC.

摘要

背景

在口腔疾病中,口腔癌是主要的致死原因,对健康构成严重威胁。包括原发肿瘤(T)-区域淋巴结(N)-远处转移(M)的TNM分期对于制定口腔鳞状细胞癌(OSCC)患者的治疗策略至关重要。

目的

本研究评估了在机构环境中OSCC临床TNM分期对组织病理学分期(pTNM)的预测准确性。

材料与方法

对54例经组织学确诊并接受手术治疗的OSCC病例进行TNM分期评估。该研究将手术时的临床分期与切除活检报告中的病理分期进行了比较。使用Microsoft Excel(美国华盛顿州雷德蒙德市微软公司)进行数据汇编和描述性分析。采用卡方检验、方差分析(ANOVA)和Tukey's诚实显著差异(HSD)事后检验,使用社会科学统计软件包(IBM SPSS Statistics for Windows,IBM公司,版本23.0,纽约州阿蒙克)将数据进行统计学显著性比较,p值<0.05。

结果

牙槽黏膜(n = 22,40.74%)是最常发生的部位,其次是舌(n = 17,31.48%)。在纳入的54例病例中,根据临床肿瘤大小,有T1(n = 6)、T2(n = 13)、T3(n = 13)、T4a(n = 16)和T4b(n = 6)。T2肿瘤通常分期上调(n = 7),而T4a(n = 8)肿瘤最常分期下调。T4a(n = 8)在临床和组织病理学分期之间的一致性最好,其次是T2、T3和T1。在淋巴结状态方面,N1的变化最大。卡方检验显示肿瘤大小比较(p <0.001)和淋巴结状态比较(p = 0.002)具有统计学显著性。方差分析未显示任何统计学显著性。Tukey's HSD事后检验显示N0和N1状态具有统计学显著性(p = 0.034)。N0和N1的一致性最高,其次是N2b。

结论

术前影像学和临床评估对于决定患者的治疗方案至关重要。然而,并非所有患者都需要进行X线检查以确定肿瘤大小或淋巴结状态评估。准确诊断对于OSCC的治疗规划至关重要。

https://cdn.ncbi.nlm.nih.gov/pmc/blobs/5d13/11221401/a76e49bfe5ce/cureus-0016-00000061584-i01.jpg

文献AI研究员

20分钟写一篇综述,助力文献阅读效率提升50倍。

立即体验

用中文搜PubMed

大模型驱动的PubMed中文搜索引擎

马上搜索

文档翻译

学术文献翻译模型,支持多种主流文档格式。

立即体验