• 文献检索
  • 文档翻译
  • 深度研究
  • 学术资讯
  • Suppr Zotero 插件Zotero 插件
  • 邀请有礼
  • 套餐&价格
  • 历史记录
应用&插件
Suppr Zotero 插件Zotero 插件浏览器插件Mac 客户端Windows 客户端微信小程序
定价
高级版会员购买积分包购买API积分包
服务
文献检索文档翻译深度研究API 文档MCP 服务
关于我们
关于 Suppr公司介绍联系我们用户协议隐私条款
关注我们

Suppr 超能文献

核心技术专利:CN118964589B侵权必究
粤ICP备2023148730 号-1Suppr @ 2026

文献检索

告别复杂PubMed语法,用中文像聊天一样搜索,搜遍4000万医学文献。AI智能推荐,让科研检索更轻松。

立即免费搜索

文件翻译

保留排版,准确专业,支持PDF/Word/PPT等文件格式,支持 12+语言互译。

免费翻译文档

深度研究

AI帮你快速写综述,25分钟生成高质量综述,智能提取关键信息,辅助科研写作。

立即免费体验

115例T1-T2期口腔鳞状细胞癌患者的临床病理参数、复发情况、局部区域及远处转移情况

Clinicopathological parameters, recurrence, locoregional and distant metastasis in 115 T1-T2 oral squamous cell carcinoma patients.

作者信息

Jerjes Waseem, Upile Tahwinder, Petrie Aviva, Riskalla Andrew, Hamdoon Zaid, Vourvachis Michael, Karavidas Kostas, Jay Amrita, Sandison Ann, Thomas Gareth J, Kalavrezos Nicholas, Hopper Colin

机构信息

UCLH Head and Neck Centre, London, UK.

出版信息

Head Neck Oncol. 2010 Apr 20;2:9. doi: 10.1186/1758-3284-2-9.

DOI:10.1186/1758-3284-2-9
PMID:20406474
原文链接:https://pmc.ncbi.nlm.nih.gov/articles/PMC2882907/
Abstract

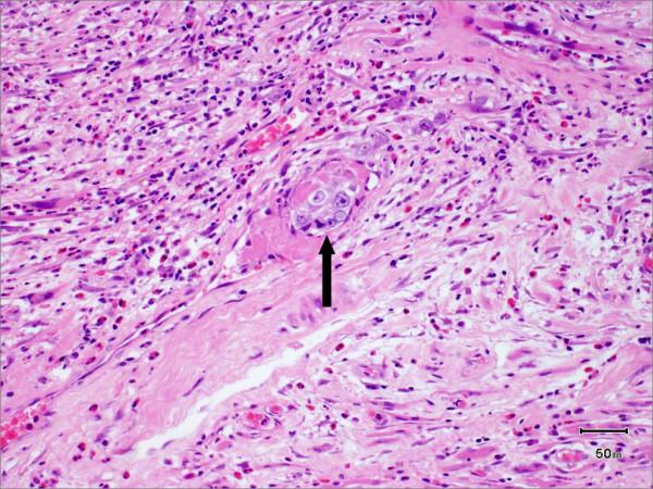
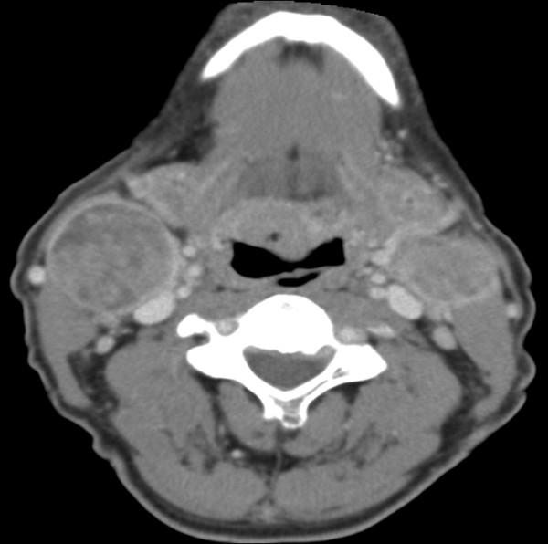
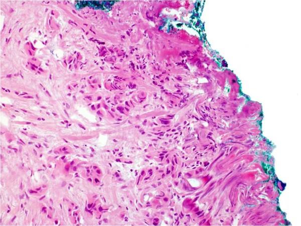
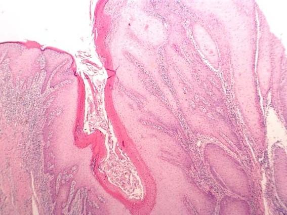
The incidence of oral squamous cell carcinoma remains high. Oral and oro-pharyngeal carcinomas are the sixth most common cancer in the world. Several clinicopathological parameters have been implicated in prognosis, recurrence and survival, following oral squamous cell carcinoma. In this retrospective analysis, clinicopathological parameters of 115 T1/T2 OSCC were studied and compared to recurrence and death from tumour-related causes. The study protocol was approved by the Joint UCL/UCLH committees of the ethics for human research. The patients' data was entered onto proformas, which were validated and checked by interval sampling. The fields included a range of clinical, operative and histopathological variables related to the status of the surgical margins. Data collection also included recurrence, cause of death, date of death and last clinic review. Causes of death were collated in 4 categories (1) death from locoregional spread, (2) death from distant metastasis, (3) death from bronchopulmonary pneumonia, and (4) death from any non-tumour event that lead to cardiorespiratory failure. The patients' population comprised 65 males and 50 females. Their mean age at the 1st diagnosis of OSCC was 61.7 years. Two-thirds of the patients were Caucasians. Primary sites were mainly identified in the tongue, floor of mouth (FOM), buccal mucosa and alveolus. Most of the identified OSCCs were low-risk (T1N0 and T2N0). All patients underwent primary resection +/- neck dissection and reconstruction when necessary. Twenty-two patients needed adjuvant radiotherapy. Pathological analysis revealed that half of the patients had moderately differentiated OSCC. pTNM slightly differed from the cTNM and showed that 70.4% of the patients had low-risk OSCC. Tumour clearance was ultimately achieved in 107 patients. Follow-up resulted in a 3-year survival of 74.8% and a 5-year survival of 72.2%. Recurrence was identified in 23 males and 20 females. The mean age of 1st diagnosis of the recurrence group was 59.53 years. Most common oral sites included the lateral border of tongue and floor of mouth. Recurrence was associated with clinical N-stage disease. The surgical margins in this group was evaluated and found that 17 had non-cohesive invasion, 30 had dysplasia at margin, 21 had vascular invasion, 9 had nerve invasion and 3 had bony invasion. Severe dysplasia was present in 37 patients. Tumour clearance was achieved in only 8 patients. The mean depth of tumour invasion in the recurrence group was 7.6 mm.An interesting finding was that 5/11 patients who died of distant metastasis had their primary disease in the tongue. Nodal disease comparison showed that 8/10 patients who died of locoregional metastasis and 8/11 patients who died from distant metastasis had clinical nodal involvement. Comparing this to pathological nodal disease (pTNM) showed that 10/10 patients and 10/11 patients who died from locoregional and distant metastasis, respectively, had nodal disease. All patients who died from locoregional and distant metastasis were shown to have recurrence after the primary tumour resection. Squamous cell carcinoma of the oral cavity has a poor overall prognosis with a high tendency to recur at the primary site and extend to involve the cervical lymph nodes. Several clinicopathological parameters can be employed to assess outcome, recurrence and overall survival.

摘要

口腔鳞状细胞癌的发病率仍然很高。口腔癌和口咽癌是全球第六大常见癌症。口腔鳞状细胞癌发生后,一些临床病理参数与预后、复发和生存率相关。在这项回顾性分析中,研究了115例T1/T2期口腔鳞状细胞癌的临床病理参数,并将其与肿瘤相关原因导致的复发和死亡情况进行比较。该研究方案已获得伦敦大学学院/大学学院医院人类研究伦理联合委员会的批准。患者数据被录入表格,并通过间隔抽样进行验证和检查。这些领域包括一系列与手术切缘状态相关的临床、手术和组织病理学变量。数据收集还包括复发情况、死亡原因、死亡日期和最后一次临床复查。死亡原因分为4类:(1) 局部区域扩散导致的死亡;(2) 远处转移导致的死亡;(3) 支气管肺炎导致的死亡;(4) 任何导致心肺功能衰竭的非肿瘤事件导致的死亡。患者群体包括65名男性和50名女性。他们首次诊断为口腔鳞状细胞癌时的平均年龄为61.7岁。三分之二的患者为白种人。原发部位主要位于舌、口底、颊黏膜和牙槽。大多数确诊的口腔鳞状细胞癌为低风险(T1N0和T2N0)。所有患者均接受了原发灶切除,必要时进行颈部清扫和重建。22例患者需要辅助放疗。病理分析显示,一半的患者患有中度分化的口腔鳞状细胞癌。pTNM与cTNM略有不同,显示70.4%的患者患有低风险口腔鳞状细胞癌。最终107例患者实现了肿瘤清除。随访结果显示3年生存率为74.8%,5年生存率为72.2%。23名男性和20名女性出现复发。复发组首次诊断时的平均年龄为59.53岁。最常见的口腔部位包括舌外侧缘和口底。复发与临床N分期疾病相关。对该组的手术切缘进行评估,发现17例有非粘连性浸润,30例切缘有发育异常,21例有血管浸润,9例有神经浸润,3例有骨浸润。37例患者存在重度发育异常。仅8例患者实现了肿瘤清除。复发组肿瘤浸润的平均深度为7.6毫米。一个有趣的发现是,11例死于远处转移的患者中有5例原发疾病位于舌部。淋巴结疾病比较显示,10例死于局部区域转移的患者中有8例以及11例死于远处转移的患者中有8例有临床淋巴结受累。将此与病理淋巴结疾病(pTNM)进行比较显示,分别死于局部区域和远处转移的10例患者和11例患者中有10例有淋巴结疾病。所有死于局部区域和远处转移的患者在原发肿瘤切除后均出现复发。口腔鳞状细胞癌总体预后较差,在原发部位复发和累及颈部淋巴结的倾向较高。可以采用一些临床病理参数来评估预后、复发和总体生存率。

https://cdn.ncbi.nlm.nih.gov/pmc/blobs/fc7d/2882907/3f91feb523ae/1758-3284-2-9-23.jpg
https://cdn.ncbi.nlm.nih.gov/pmc/blobs/fc7d/2882907/56c453a278ef/1758-3284-2-9-1.jpg
https://cdn.ncbi.nlm.nih.gov/pmc/blobs/fc7d/2882907/f1c17384194d/1758-3284-2-9-2.jpg
https://cdn.ncbi.nlm.nih.gov/pmc/blobs/fc7d/2882907/8d7e9a91693c/1758-3284-2-9-3.jpg
https://cdn.ncbi.nlm.nih.gov/pmc/blobs/fc7d/2882907/e6981f88910e/1758-3284-2-9-4.jpg
https://cdn.ncbi.nlm.nih.gov/pmc/blobs/fc7d/2882907/835c1fc866bf/1758-3284-2-9-5.jpg
https://cdn.ncbi.nlm.nih.gov/pmc/blobs/fc7d/2882907/5cc648ee77fa/1758-3284-2-9-6.jpg
https://cdn.ncbi.nlm.nih.gov/pmc/blobs/fc7d/2882907/ebe9fb7fe7bf/1758-3284-2-9-7.jpg
https://cdn.ncbi.nlm.nih.gov/pmc/blobs/fc7d/2882907/377ce57ba2c6/1758-3284-2-9-8.jpg
https://cdn.ncbi.nlm.nih.gov/pmc/blobs/fc7d/2882907/c91affd07d6b/1758-3284-2-9-9.jpg
https://cdn.ncbi.nlm.nih.gov/pmc/blobs/fc7d/2882907/b00831fc0691/1758-3284-2-9-10.jpg
https://cdn.ncbi.nlm.nih.gov/pmc/blobs/fc7d/2882907/160681887534/1758-3284-2-9-11.jpg
https://cdn.ncbi.nlm.nih.gov/pmc/blobs/fc7d/2882907/696295b450ac/1758-3284-2-9-12.jpg
https://cdn.ncbi.nlm.nih.gov/pmc/blobs/fc7d/2882907/85601573e000/1758-3284-2-9-13.jpg
https://cdn.ncbi.nlm.nih.gov/pmc/blobs/fc7d/2882907/26583fc938f1/1758-3284-2-9-14.jpg
https://cdn.ncbi.nlm.nih.gov/pmc/blobs/fc7d/2882907/b727fbe36b1a/1758-3284-2-9-15.jpg
https://cdn.ncbi.nlm.nih.gov/pmc/blobs/fc7d/2882907/6beed37b82f3/1758-3284-2-9-16.jpg
https://cdn.ncbi.nlm.nih.gov/pmc/blobs/fc7d/2882907/a9264d4d80b6/1758-3284-2-9-17.jpg
https://cdn.ncbi.nlm.nih.gov/pmc/blobs/fc7d/2882907/1cd9c52d80e9/1758-3284-2-9-18.jpg
https://cdn.ncbi.nlm.nih.gov/pmc/blobs/fc7d/2882907/6b9e6fe6a3ff/1758-3284-2-9-19.jpg
https://cdn.ncbi.nlm.nih.gov/pmc/blobs/fc7d/2882907/5173a4c93f84/1758-3284-2-9-20.jpg
https://cdn.ncbi.nlm.nih.gov/pmc/blobs/fc7d/2882907/0cae39ed8245/1758-3284-2-9-21.jpg
https://cdn.ncbi.nlm.nih.gov/pmc/blobs/fc7d/2882907/371c4a0a7519/1758-3284-2-9-22.jpg
https://cdn.ncbi.nlm.nih.gov/pmc/blobs/fc7d/2882907/3f91feb523ae/1758-3284-2-9-23.jpg
https://cdn.ncbi.nlm.nih.gov/pmc/blobs/fc7d/2882907/56c453a278ef/1758-3284-2-9-1.jpg
https://cdn.ncbi.nlm.nih.gov/pmc/blobs/fc7d/2882907/f1c17384194d/1758-3284-2-9-2.jpg
https://cdn.ncbi.nlm.nih.gov/pmc/blobs/fc7d/2882907/8d7e9a91693c/1758-3284-2-9-3.jpg
https://cdn.ncbi.nlm.nih.gov/pmc/blobs/fc7d/2882907/e6981f88910e/1758-3284-2-9-4.jpg
https://cdn.ncbi.nlm.nih.gov/pmc/blobs/fc7d/2882907/835c1fc866bf/1758-3284-2-9-5.jpg
https://cdn.ncbi.nlm.nih.gov/pmc/blobs/fc7d/2882907/5cc648ee77fa/1758-3284-2-9-6.jpg
https://cdn.ncbi.nlm.nih.gov/pmc/blobs/fc7d/2882907/ebe9fb7fe7bf/1758-3284-2-9-7.jpg
https://cdn.ncbi.nlm.nih.gov/pmc/blobs/fc7d/2882907/377ce57ba2c6/1758-3284-2-9-8.jpg
https://cdn.ncbi.nlm.nih.gov/pmc/blobs/fc7d/2882907/c91affd07d6b/1758-3284-2-9-9.jpg
https://cdn.ncbi.nlm.nih.gov/pmc/blobs/fc7d/2882907/b00831fc0691/1758-3284-2-9-10.jpg
https://cdn.ncbi.nlm.nih.gov/pmc/blobs/fc7d/2882907/160681887534/1758-3284-2-9-11.jpg
https://cdn.ncbi.nlm.nih.gov/pmc/blobs/fc7d/2882907/696295b450ac/1758-3284-2-9-12.jpg
https://cdn.ncbi.nlm.nih.gov/pmc/blobs/fc7d/2882907/85601573e000/1758-3284-2-9-13.jpg
https://cdn.ncbi.nlm.nih.gov/pmc/blobs/fc7d/2882907/26583fc938f1/1758-3284-2-9-14.jpg
https://cdn.ncbi.nlm.nih.gov/pmc/blobs/fc7d/2882907/b727fbe36b1a/1758-3284-2-9-15.jpg
https://cdn.ncbi.nlm.nih.gov/pmc/blobs/fc7d/2882907/6beed37b82f3/1758-3284-2-9-16.jpg
https://cdn.ncbi.nlm.nih.gov/pmc/blobs/fc7d/2882907/a9264d4d80b6/1758-3284-2-9-17.jpg
https://cdn.ncbi.nlm.nih.gov/pmc/blobs/fc7d/2882907/1cd9c52d80e9/1758-3284-2-9-18.jpg
https://cdn.ncbi.nlm.nih.gov/pmc/blobs/fc7d/2882907/6b9e6fe6a3ff/1758-3284-2-9-19.jpg
https://cdn.ncbi.nlm.nih.gov/pmc/blobs/fc7d/2882907/5173a4c93f84/1758-3284-2-9-20.jpg
https://cdn.ncbi.nlm.nih.gov/pmc/blobs/fc7d/2882907/0cae39ed8245/1758-3284-2-9-21.jpg
https://cdn.ncbi.nlm.nih.gov/pmc/blobs/fc7d/2882907/371c4a0a7519/1758-3284-2-9-22.jpg
https://cdn.ncbi.nlm.nih.gov/pmc/blobs/fc7d/2882907/3f91feb523ae/1758-3284-2-9-23.jpg

相似文献

1
Clinicopathological parameters, recurrence, locoregional and distant metastasis in 115 T1-T2 oral squamous cell carcinoma patients.115例T1-T2期口腔鳞状细胞癌患者的临床病理参数、复发情况、局部区域及远处转移情况
Head Neck Oncol. 2010 Apr 20;2:9. doi: 10.1186/1758-3284-2-9.
2
Prospective evaluation of outcome after transoral CO(2) laser resection of T1/T2 oral squamous cell carcinoma.经口二氧化碳激光切除T1/T2期口腔鳞状细胞癌术后结局的前瞻性评估
Oral Surg Oral Med Oral Pathol Oral Radiol Endod. 2011 Aug;112(2):180-7. doi: 10.1016/j.tripleo.2010.09.078. Epub 2011 Jan 12.
3
Ki-67 from clinically and histologically "normal" distant mucosa as prognostic marker in early-stage (T1-T2N0) oral squamous cell carcinoma: a prospective study.在早期(T1-T2N0)口腔鳞状细胞癌中,将临床和组织学上“正常”的远处黏膜中的Ki-67作为预后标志物:一项前瞻性研究。
J Oral Maxillofac Surg. 2011 Oct;69(10):2579-84. doi: 10.1016/j.joms.2010.10.041. Epub 2011 Feb 3.
4
History of dysplasia and primary site associated with recurrence in T1N0 oral squamous cell carcinoma.T1N0 口腔鳞状细胞癌中与复发相关的异型增生和原发部位的历史。
Oral Surg Oral Med Oral Pathol Oral Radiol. 2021 Jul;132(1):66-71. doi: 10.1016/j.oooo.2021.02.018. Epub 2021 Mar 4.
5
The prognostic significance of histological features in oral squamous cell carcinoma.口腔鳞状细胞癌组织学特征的预后意义
J Oral Pathol Med. 2009 Sep;38(8):657-62. doi: 10.1111/j.1600-0714.2009.00797.x. Epub 2009 Jun 25.
6
Tumor Budding and Worse Pattern of Invasion Can Predict Nodal Metastasis in Oral Cancers and Associated With Poor Survival in Early-Stage Tumors.肿瘤芽生和更差的浸润模式可预测口腔癌的淋巴结转移,并与早期肿瘤的不良生存相关。
Ear Nose Throat J. 2019 Aug;98(7):E112-E119. doi: 10.1177/0145561319848669. Epub 2019 May 9.
7
Prognostic value of clinicopathological parameters and outcome in 484 patients with oral squamous cell carcinoma: microvascular invasion (V+) is an independent prognostic factor for OSCC.484 例口腔鳞状细胞癌患者的临床病理参数与预后的关系:微血管侵犯(V+)是口腔鳞状细胞癌患者总生存的独立预后因素。
Clin Transl Oncol. 2012 Nov;14(11):870-80. doi: 10.1007/s12094-012-0867-2. Epub 2012 Jul 19.
8
Incidence of oral cancer occult metastasis and survival of T1-T2N0 oral cancer patients.口腔癌隐匿转移的发生率及T1-T2N0期口腔癌患者的生存率。
J Oral Maxillofac Surg. 2011 Oct;69(10):2674-9. doi: 10.1016/j.joms.2011.02.012. Epub 2011 May 14.
9
Oncological safety of submental island flap for reconstruction of pathologically node-negative and node-positive T1-2 oral squamous cell carcinoma-related defects: A retrospective study and comparison of outcomes.颏下岛状瓣在病理 N0 和 N1-2 期口腔鳞癌相关缺损重建中的肿瘤安全性:回顾性研究和结果比较。
Oral Oncol. 2020 Mar;102:104507. doi: 10.1016/j.oraloncology.2019.104507. Epub 2019 Dec 30.
10
Resection margin as a predictor of recurrence at the primary site for T1 and T2 oral cancers. Evaluation of histopathologic variables.切缘作为T1和T2期口腔癌原发部位复发的预测指标。组织病理学变量评估。
Arch Otolaryngol Head Neck Surg. 1996 May;122(5):521-5. doi: 10.1001/archotol.1996.01890170055011.

引用本文的文献

1
Evolving role of deubiquitinating enzymes in oral cancer (Review).去泛素化酶在口腔癌中的作用演变(综述)
Oncol Lett. 2025 May 19;30(1):354. doi: 10.3892/ol.2025.15100. eCollection 2025 Jul.
2
Matrix Dynamics and Microbiome Crosstalk: Matrix Metalloproteinases as Key Players in Disease and Therapy.基质动力学与微生物组相互作用:基质金属蛋白酶在疾病与治疗中的关键作用
Int J Mol Sci. 2025 Apr 11;26(8):3621. doi: 10.3390/ijms26083621.
3
Mechanism of Tumor Budding in Patient-Derived Metachronous Oral Primary Squamous Cell Carcinoma Cell Lines.

本文引用的文献

1
The prognostic significance of histological features in oral squamous cell carcinoma.口腔鳞状细胞癌组织学特征的预后意义
J Oral Pathol Med. 2009 Sep;38(8):657-62. doi: 10.1111/j.1600-0714.2009.00797.x. Epub 2009 Jun 25.
2
Management of squamous cell carcinoma of the base of tongue with chemoradiation and brachytherapy.舌根鳞癌的放化疗和近距离放疗综合治疗。
Head Neck. 2009 Nov;31(11):1431-8. doi: 10.1002/hed.21111.
3
Current concepts of management in radiotherapy for head and neck squamous-cell cancer.头颈部鳞状细胞癌放射治疗的现代管理理念。
患者源性异时性口腔原发性鳞状细胞癌细胞系中肿瘤芽生的机制
Int J Mol Sci. 2025 Apr 3;26(7):3347. doi: 10.3390/ijms26073347.
4
The Association Between Venous Invasion and Distant Metastasis in Head and Neck Squamous Cell Carcinoma.头颈部鳞状细胞癌中静脉侵犯与远处转移的关联
Cureus. 2025 Jan 26;17(1):e78023. doi: 10.7759/cureus.78023. eCollection 2025 Jan.
5
Clinical outcomes and impact of prognostic factors in resectable oral cavity squamous cell carcinoma.可切除口腔鳞状细胞癌的临床结局及预后因素的影响
Front Oncol. 2024 Oct 11;14:1443367. doi: 10.3389/fonc.2024.1443367. eCollection 2024.
6
Exploring the Therapeutic Implications of Co-Targeting the EGFR and Spindle Assembly Checkpoint Pathways in Oral Cancer.探索联合靶向表皮生长因子受体(EGFR)和纺锤体组装检查点通路在口腔癌中的治疗意义
Pharmaceutics. 2024 Sep 11;16(9):1196. doi: 10.3390/pharmaceutics16091196.
7
The balance between helper T 17 and regulatory T cells in osteoimmunology and relevant research progress on bone tissue engineering.破骨细胞与成骨细胞偶联失衡在骨质疏松症发病机制中的研究进展。
Immun Inflamm Dis. 2024 Sep;12(9):e70011. doi: 10.1002/iid3.70011.
8
Risk Factors of Oral Squamous Cell Carcinoma with Special Emphasis on Areca Nut Usage and Its Association with Clinicopathological Parameters and Recurrence.口腔鳞状细胞癌的危险因素,特别强调槟榔的使用及其与临床病理参数和复发的关系。
Int J Surg Oncol. 2024 Aug 28;2024:9725822. doi: 10.1155/2024/9725822. eCollection 2024.
9
Assessment of Turnaround Time (TAT) for Oral Squamous Cell Carcinoma Biopsies: A Single-Institution Experience.口腔鳞状细胞癌活检周转时间(TAT)的评估:单机构经验
Cureus. 2024 Jun 19;16(6):e62677. doi: 10.7759/cureus.62677. eCollection 2024 Jun.
10
Recurrence of oral squamous cell carcinoma in surgically treated patients at Khartoum Teaching Dental Hospital retrospective cross-sectional study.喀土穆教学牙科医院手术治疗的口腔鳞状细胞癌患者的复发:回顾性横断面研究。
BMC Cancer. 2024 Jun 28;24(1):781. doi: 10.1186/s12885-024-12562-6.
Oral Oncol. 2009 Apr-May;45(4-5):402-8. doi: 10.1016/j.oraloncology.2009.01.010. Epub 2009 Apr 16.
4
Functional outcomes of free tissue transfer in head and neck cancer reconstruction.游离组织移植在头颈部癌症重建中的功能效果。
Oral Oncol. 2009 Apr-May;45(4-5):421-30. doi: 10.1016/j.oraloncology.2009.01.015. Epub 2009 Apr 9.
5
Oral squamous cell carcinoma overview.口腔鳞状细胞癌概述
Oral Oncol. 2009 Apr-May;45(4-5):301-8. doi: 10.1016/j.oraloncology.2009.01.004. Epub 2009 Feb 26.
6
Recent advances in oral oncology 2008; squamous cell carcinoma imaging, treatment, prognostication and treatment outcomes.2008 年口腔肿瘤学的最新进展;鳞状细胞癌的影像学、治疗、预后和治疗结果。
Oral Oncol. 2009 Jun;45(6):e25-30. doi: 10.1016/j.oraloncology.2008.12.011. Epub 2009 Feb 26.
7
Predictive value of tumor thickness for cervical lymph-node involvement in squamous cell carcinoma of the oral cavity: a meta-analysis of reported studies.肿瘤厚度对口腔鳞状细胞癌颈淋巴结受累的预测价值:已报道研究的荟萃分析
Cancer. 2009 Apr 1;115(7):1489-97. doi: 10.1002/cncr.24161.
8
Primary tumor thickness as a risk factor for contralateral cervical metastases in T1/T2 oral tongue squamous cell carcinoma.原发性肿瘤厚度作为T1/T2期口腔舌鳞状细胞癌对侧颈部转移的危险因素。
Laryngoscope. 2009 May;119(5):883-8. doi: 10.1002/lary.20141.
9
Bleomycin-based electrochemotherapy: clinical outcome from a single institution's experience with 52 patients.基于博来霉素的电化学疗法:单机构52例患者的临床结果
Ann Surg Oncol. 2009 Jan;16(1):191-9. doi: 10.1245/s10434-008-0204-8. Epub 2008 Nov 6.
10
Global epidemiology of oral and oropharyngeal cancer.口腔和口咽癌的全球流行病学。
Oral Oncol. 2009 Apr-May;45(4-5):309-16. doi: 10.1016/j.oraloncology.2008.06.002. Epub 2008 Sep 18.