Suppr超能文献

肾功能正常情况下转移性肝癌继发B型乳酸酸中毒:一例报告及文献复习

Type B Lactic Acidosis Secondary to Metastatic Liver Cancer in the Setting of Normal Renal Function: A Case Report and Literature Review.

作者信息

Amakiri Chidinma, Poyser Tracy-Ann, Pham Steven, Alwardt Blake, Shaw Collie

机构信息

Internal Medicine, Unity Health, White County Medical Center, Searcy, USA.

出版信息

Cureus. 2024 Jun 3;16(6):e61583. doi: 10.7759/cureus.61583. eCollection 2024 Jun.

Abstract

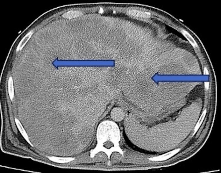
Lactic acidosis occurs from an overproduction of lactate or decreased metabolism. It is common in critically ill patients, especially those with hematological conditions such as multiple myeloma, leukemia, and lymphoma. There are two types of lactic acidosis, Type A and Type B, with Type B presenting more commonly in hematological conditions that require prompt diagnosis and treatment of the underlying condition. We present a case of a 43-year-old male with Type B lactic acidosis secondary to stage IV colon cancer with metastasis to the liver. Initial laboratory work was significant for lactic acid of 16.52 mmol/L. Arterial blood gas (ABG) showed pH 7.26, pCO 21 mmHg, pO 111 mmHg, and HCO 9 mEq/L, revealing an anion gap and metabolic acidosis with compensatory respiratory alkalosis. Initially, the patient was treated with aggressive fluid management, IV antibiotics, and sodium bicarbonate; however, his lactic acid continued to rise. The recommendation was made for urgent dialysis. Despite treatments, the prognosis is poor.

摘要

乳酸性酸中毒是由于乳酸生成过多或代谢减少所致。在危重症患者中很常见,尤其是那些患有血液系统疾病的患者,如多发性骨髓瘤、白血病和淋巴瘤。乳酸性酸中毒有两种类型,A型和B型,B型在需要及时诊断和治疗基础疾病的血液系统疾病中更为常见。我们报告一例43岁男性,继发于IV期结肠癌伴肝转移的B型乳酸性酸中毒。初始实验室检查显示乳酸水平为16.52 mmol/L,具有显著意义。动脉血气(ABG)显示pH 7.26,pCO₂ 21 mmHg,pO₂ 111 mmHg,HCO₃⁻ 9 mEq/L,提示存在阴离子间隙和代谢性酸中毒伴代偿性呼吸性碱中毒。最初,患者接受了积极的液体管理、静脉抗生素治疗和碳酸氢钠治疗;然而,他的乳酸水平持续升高。建议进行紧急透析。尽管进行了治疗,但预后很差。

https://cdn.ncbi.nlm.nih.gov/pmc/blobs/ddd4/11221386/3a763ec97c24/cureus-0016-00000061583-i01.jpg

文献AI研究员

20分钟写一篇综述,助力文献阅读效率提升50倍。

立即体验

用中文搜PubMed

大模型驱动的PubMed中文搜索引擎

马上搜索

文档翻译

学术文献翻译模型,支持多种主流文档格式。

立即体验