• 文献检索
  • 文档翻译
  • 深度研究
  • 学术资讯
  • Suppr Zotero 插件Zotero 插件
  • 邀请有礼
  • 套餐&价格
  • 历史记录
应用&插件
Suppr Zotero 插件Zotero 插件浏览器插件Mac 客户端Windows 客户端微信小程序
定价
高级版会员购买积分包购买API积分包
服务
文献检索文档翻译深度研究API 文档MCP 服务
关于我们
关于 Suppr公司介绍联系我们用户协议隐私条款
关注我们

Suppr 超能文献

核心技术专利:CN118964589B侵权必究
粤ICP备2023148730 号-1Suppr @ 2026

文献检索

告别复杂PubMed语法,用中文像聊天一样搜索,搜遍4000万医学文献。AI智能推荐,让科研检索更轻松。

立即免费搜索

文件翻译

保留排版,准确专业,支持PDF/Word/PPT等文件格式,支持 12+语言互译。

免费翻译文档

深度研究

AI帮你快速写综述,25分钟生成高质量综述,智能提取关键信息,辅助科研写作。

立即免费体验

头颈部不明原发灶鳞状细胞癌:辅助检查能帮助确定更多原发灶部位吗?

Head and neck squamous cell carcinomas of unknown primary: Can ancillary studies help identify more primary tumor sites?

机构信息

Department of Laboratory Medicine & Pathology, University of Washington, Seattle, WA, United States of America.

Department of Radiation-Oncology, Washington University School of Medicine, St. Louis, MO, United States of America.

出版信息

Exp Mol Pathol. 2024 Aug;138:104915. doi: 10.1016/j.yexmp.2024.104915. Epub 2024 Jul 3.

DOI:10.1016/j.yexmp.2024.104915
PMID:38964052
原文链接:https://pmc.ncbi.nlm.nih.gov/articles/PMC11458069/
Abstract

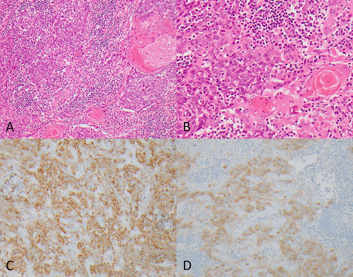
A subset of head and neck squamous cell carcinomas present solely as metastatic disease in the neck and are of unknown primary origin (SCCUP). Most primary tumors will ultimately be identified, usually in the oropharynx. In a minority of cases, the primary site remains elusive. Here, we examine the role of ancillary testing, including mutational signature analysis (MSA), to help identify likely primary sites in such cases. Twenty-two cases of SCCUP in the neck, collected over a 10-year period, were classified by morphology and viral status; including human papillomavirus (HPV) testing by p16 immunohistochemistry (IHC) and RT-qPCR, as well as Epstein-Barr virus (EBV) testing by EBER-ISH. CD5 and c-KIT (CD117) IHC was done to evaluate for possible thymic origin in all virus-negative cases. Whole exome sequencing, followed by MSA, was used to identify UV signature mutations indicative of cutaneous origin. HPV was identified in 12 of 22 tumors (54.5%), favoring an oropharyngeal origin, and closely associated with nonkeratinizing tumor morphology (Fisher's exact test; p = 0.0002). One tumor with indeterminant morphology had discordant HPV and p16 status (p16+/HPV-). All tumors were EBV-negative. Diffuse expression of CD5 and c-KIT was identified in 1 of 10 virus-negative SCCUPs (10%), suggesting a possible ectopic thymic origin rather than a metastasis. A UV mutational signature, indicating cutaneous origin, was identified in 1 of 10 (10%) virus-negative SCCUPs. A cutaneous auricular primary emerged 3 months after treatment in this patient. Primary tumors became clinically apparent in 2 others (1 hypopharynx, 1 hypopharynx/larynx). Thus, after follow-up, 6 tumors remained unclassifiable as to the possible site of origin (27%). Most SCCUPs of the neck in our series were HPV-associated and thus likely of oropharyngeal origin. UV signature mutation analysis and additional IHC for CD5 and c-KIT for possible thymic origin may aid in further classifying virus-negative unknown primaries. Close clinical inspection of hypopharyngeal mucosa may also be helpful, as a subset of primary tumors later emerged at this site.

摘要

一组头颈部鳞状细胞癌仅表现为颈部转移性疾病,且原发灶不明(SCCUP)。大多数原发肿瘤最终会被确定,通常是在口咽。在少数情况下,原发灶仍然难以确定。在这里,我们研究了辅助检测的作用,包括突变特征分析(MSA),以帮助确定此类病例中可能的原发部位。收集了过去 10 年中颈部的 22 例 SCCUP,通过形态学和病毒状态进行分类;包括人乳头瘤病毒(HPV)检测,通过 p16 免疫组化(IHC)和 RT-qPCR,以及 Epstein-Barr 病毒(EBV)检测,通过 EBER-ISH。对所有病毒阴性病例进行 CD5 和 c-KIT(CD117)免疫组化以评估可能的胸腺起源。全外显子组测序,随后是 MSA,用于鉴定表明皮肤起源的 UV 特征突变。在 22 个肿瘤中有 12 个(54.5%)检测到 HPV,提示口咽起源,并与非角化肿瘤形态密切相关(Fisher 精确检验;p=0.0002)。一个形态学不确定的肿瘤具有不一致的 HPV 和 p16 状态(p16+/HPV-)。所有肿瘤均为 EBV 阴性。10 例病毒阴性 SCCUP 中有 1 例(10%)弥漫表达 CD5 和 c-KIT,提示可能为异位胸腺起源而不是转移。10 例病毒阴性 SCCUP 中有 1 例(10%)鉴定出 UV 突变特征,提示皮肤起源。在该患者中,治疗后 3 个月出现了皮肤耳廓原发性肿瘤。在另外 2 例中(1 例下咽,1 例下咽/喉),原发肿瘤变得明显。因此,经过随访,6 个肿瘤仍然无法确定可能的起源部位(27%)。我们系列中的大多数颈部 SCCUP 与 HPV 相关,因此可能来源于口咽。UV 特征突变分析和 CD5 和 c-KIT 的额外 IHC 可能有助于进一步分类病毒阴性的未知原发灶。密切观察下咽黏膜的临床情况也可能有所帮助,因为一组原发性肿瘤随后在此部位出现。

https://cdn.ncbi.nlm.nih.gov/pmc/blobs/132c/11458069/984abe4ada4a/nihms-2011559-f0004.jpg
https://cdn.ncbi.nlm.nih.gov/pmc/blobs/132c/11458069/77d5447a0388/nihms-2011559-f0001.jpg
https://cdn.ncbi.nlm.nih.gov/pmc/blobs/132c/11458069/64c8aeb50f94/nihms-2011559-f0002.jpg
https://cdn.ncbi.nlm.nih.gov/pmc/blobs/132c/11458069/659d5b7d3aa4/nihms-2011559-f0003.jpg
https://cdn.ncbi.nlm.nih.gov/pmc/blobs/132c/11458069/984abe4ada4a/nihms-2011559-f0004.jpg
https://cdn.ncbi.nlm.nih.gov/pmc/blobs/132c/11458069/77d5447a0388/nihms-2011559-f0001.jpg
https://cdn.ncbi.nlm.nih.gov/pmc/blobs/132c/11458069/64c8aeb50f94/nihms-2011559-f0002.jpg
https://cdn.ncbi.nlm.nih.gov/pmc/blobs/132c/11458069/659d5b7d3aa4/nihms-2011559-f0003.jpg
https://cdn.ncbi.nlm.nih.gov/pmc/blobs/132c/11458069/984abe4ada4a/nihms-2011559-f0004.jpg

相似文献

1
Head and neck squamous cell carcinomas of unknown primary: Can ancillary studies help identify more primary tumor sites?头颈部不明原发灶鳞状细胞癌:辅助检查能帮助确定更多原发灶部位吗?
Exp Mol Pathol. 2024 Aug;138:104915. doi: 10.1016/j.yexmp.2024.104915. Epub 2024 Jul 3.
2
The prevalence of human papillomavirus in squamous cell carcinoma of unknown primary site metastatic to neck lymph nodes: a systematic review.人乳头瘤病毒在转移至颈部淋巴结的原发部位不明的鳞状细胞癌中的患病率:一项系统评价
Clin Exp Metastasis. 2015 Dec;32(8):835-45. doi: 10.1007/s10585-015-9744-z. Epub 2015 Sep 10.
3
The molecular characteristics of recurrent/metastatic HPV-positive head and neck squamous cell carcinoma: A systematic review of the literature.复发性/转移性 HPV 阳性头颈部鳞状细胞癌的分子特征:文献系统综述。
Clin Otolaryngol. 2024 Jul;49(4):384-403. doi: 10.1111/coa.14161. Epub 2024 Apr 24.
4
Squamous cell carcinoma of unknown primary (SCCUP): a genomic landscape study.原发灶不明的鳞状细胞癌(SCCUP):一项基因组图谱研究。
ESMO Open. 2025 Jun;10(6):105312. doi: 10.1016/j.esmoop.2025.105312. Epub 2025 Jun 10.
5
Uncommon and Challenging Phenotypes of High-Risk Human Papillomavirus-Associated Head and Neck Carcinomas Revealed by High-Throughput Studies.高通量研究揭示了高危型人乳头瘤病毒相关头颈部癌的罕见且具有挑战性的表型。
Head Neck Pathol. 2024 Oct 22;18(1):112. doi: 10.1007/s12105-024-01707-5.
6
Combinational chromosomal aneuploidies and HPV status for prediction of head and neck squamous cell carcinoma prognosis in biopsies and cytological preparations.联合染色体非整倍体和 HPV 状态预测活检和细胞学标本中头颈部鳞状细胞癌的预后。
J Cancer Res Clin Oncol. 2018 Jun;144(6):1129-1141. doi: 10.1007/s00432-018-2629-1. Epub 2018 Mar 20.
7
Characterization of high risk human papilloma virus genotypes associated with oropharyngeal cancers in a Nigerian population.尼日利亚人群中与口咽癌相关的高危人乳头瘤病毒基因型的特征分析
Pan Afr Med J. 2021 Jan 15;38:40. doi: 10.11604/pamj.2021.38.40.27309. eCollection 2021.
8
Mutational profiles of head and neck squamous cell carcinomas based upon human papillomavirus status in the Veterans Affairs National Precision Oncology Program.基于退伍军人事务部国家精准肿瘤项目中人类乳头瘤病毒状态的头颈部鳞状细胞癌的突变谱。
J Cancer Res Clin Oncol. 2023 Jan;149(1):69-77. doi: 10.1007/s00432-022-04358-7. Epub 2022 Sep 18.
9
Predictors of survival and recurrence after primary surgery for cervical metastasis of unknown primary.原发灶不明的宫颈癌颈转移患者行根治性手术后的生存和复发预测因素。
J Cancer Res Clin Oncol. 2020 Apr;146(4):925-933. doi: 10.1007/s00432-019-03111-x. Epub 2019 Dec 19.
10
Diagnostic accuracy of p16 immunohistochemistry in oropharyngeal squamous cell carcinomas: A systematic review and meta-analysis.p16免疫组化在口咽鳞状细胞癌中的诊断准确性:一项系统评价和荟萃分析。
Int J Cancer. 2017 Mar 1;140(5):1186-1198. doi: 10.1002/ijc.30516. Epub 2016 Dec 2.

引用本文的文献

1
TPPP3, a Good Prognostic Indicator, Suppresses Cell Proliferation and Migration in OSCC.TPPP3是一种良好的预后指标,可抑制口腔鳞状细胞癌的细胞增殖和迁移。
Int Dent J. 2025 Apr;75(2):970-983. doi: 10.1016/j.identj.2024.09.035. Epub 2025 Jan 14.

本文引用的文献

1
Head and Neck Squamous Cell Carcinoma of Unknown Primary: A Diagnostic Work-Up.头颈部不明原发灶鳞状细胞癌:诊断性检查。
Oncologist. 2024 Mar 4;29(3):192-199. doi: 10.1093/oncolo/oyad311.
2
Ectopic Thymic Carcinoma Located on The Dorsal Side of The Thyroid Gland.甲状腺背侧异位胸腺癌。
Ear Nose Throat J. 2023 Apr;102(4):263-267. doi: 10.1177/01455613221145287. Epub 2022 Dec 9.
3
Ectopic thymic carcinoma of the parotid gland.腮腺异位胸腺癌。
Int J Oral Maxillofac Surg. 2022 Dec;51(12):1516-1519. doi: 10.1016/j.ijom.2022.02.013. Epub 2022 Mar 23.
4
Genomic Instability and DNA Damage Repair Pathways Induced by Human Papillomaviruses.人乳头瘤病毒诱导的基因组不稳定性和 DNA 损伤修复途径。
Viruses. 2021 Sep 14;13(9):1821. doi: 10.3390/v13091821.
5
Multiple Human Papilloma Virus (HPV) Infections Are Associated with HSIL and Persistent HPV Infection Status in Korean Patients.多种人乳头瘤病毒(HPV)感染与韩国患者的 HSIL 和持续性 HPV 感染状态相关。
Viruses. 2021 Jul 12;13(7):1342. doi: 10.3390/v13071342.
6
Human Papillomavirus and Squamous Cell Carcinoma of Unknown Primary in the Head and Neck Region: A Comprehensive Review on Clinical Implications.人乳头瘤病毒与头颈部不明原发灶的鳞状细胞癌:临床意义的全面综述。
Viruses. 2021 Jul 2;13(7):1297. doi: 10.3390/v13071297.
7
Ultraviolet Radiation and Basal Cell Carcinoma: An Environmental Perspective.紫外线辐射与基底细胞癌:环境视角。
Front Public Health. 2021 Jul 22;9:666528. doi: 10.3389/fpubh.2021.666528. eCollection 2021.
8
Oropharyngeal Squamous Cell Carcinoma Morphology and Subtypes by Human Papillomavirus Type and by 16 Lineages and Sublineages.口咽鳞状细胞癌的 HPV 型别及 16 个分支和亚分支的形态学和亚型。
Head Neck Pathol. 2021 Dec;15(4):1089-1098. doi: 10.1007/s12105-021-01318-4. Epub 2021 Apr 2.
9
Oropharyngeal Squamous Cell Carcinoma With Discordant p16 and HPV mRNA Results: Incidence and Characterization in a Large, Contemporary United States Cohort.伴有 p16 和 HPV mRNA 检测结果不一致的口咽鳞状细胞癌:在一个大型当代美国队列中的发生率和特征。
Am J Surg Pathol. 2021 Jul 1;45(7):951-961. doi: 10.1097/PAS.0000000000001685.
10
HPV Meets APOBEC: New Players in Head and Neck Cancer.HPV 遇上 APOBEC:头颈部癌症的新角色。
Int J Mol Sci. 2021 Jan 30;22(3):1402. doi: 10.3390/ijms22031402.