Cedars Sinai Medical Center, Los Angeles, USA.
University of California, Los Angeles, Los Angeles, USA.
BMC Pulm Med. 2024 Jul 4;24(1):321. doi: 10.1186/s12890-024-03129-z.
Patients with multiple myeloma are immunosuppressed due to both the disease itself and immunosuppressive therapies. Thus, when presenting with respiratory failure and pulmonary opacities, pneumonia must be considered. However, while rare, immunomodulating medications used in the treatment of multiple myeloma can also cause potentially life-threatening respiratory failure, a distinction which has important treatment implications.
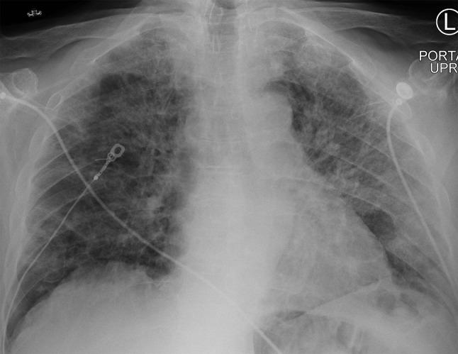
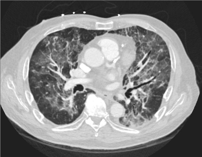
An 80-year-old male with recently diagnosed multiple myeloma undergoing treatment with lenalidomide and daratumumab presented with acute, rapidly progressive hypoxic respiratory failure ultimately requiring intubation and mechanical ventilatory support. Imaging revealed bilateral pulmonary opacities, however infectious workup was negative, and he was ultimately diagnosed with lenalidomide-induced interstitial pneumonitis, a rare but serious adverse effect of this medication. He was treated with drug discontinuation and methylprednisolone, and quickly recovered.
Lenalidomide is an immunomodulating medication used in the treatment of multiple myeloma, and is associated with rare but serious cases of drug-induced interstitial pneumonitis. Thus, if a patient receiving lenalidomide develops shortness of breath and/or hypoxia, drug-induced pneumonitis must be on the differential. Permanent drug discontinuation with or without corticosteroids is the mainstay of treatment, and patients are often able to fully recover, underscoring the need for early recognition of this condition.
由于疾病本身和免疫抑制治疗,多发性骨髓瘤患者存在免疫抑制。因此,当出现呼吸衰竭和肺部混浊时,必须考虑肺炎。然而,虽然罕见,但用于治疗多发性骨髓瘤的免疫调节药物也可能导致危及生命的呼吸衰竭,这种区别具有重要的治疗意义。
一名 80 岁男性,最近被诊断患有多发性骨髓瘤,正在接受来那度胺和达雷妥尤单抗治疗,出现急性、迅速进展性低氧性呼吸衰竭,最终需要插管和机械通气支持。影像学显示双侧肺部混浊,但感染性检查结果为阴性,最终诊断为来那度胺诱导的间质性肺炎,这是该药物罕见但严重的不良反应。他接受了药物停用和甲基强的松龙治疗,很快康复。
来那度胺是一种免疫调节药物,用于治疗多发性骨髓瘤,与罕见但严重的药物诱导性间质性肺炎有关。因此,如果接受来那度胺治疗的患者出现呼吸急促和/或缺氧,必须考虑药物性肺炎。永久性药物停用加或不加皮质类固醇是治疗的主要方法,患者通常能够完全康复,这凸显了早期识别这种情况的必要性。