Department of Radiology, West China Hospital, Sichuan University, 37# Guo Xue Xiang, Chengdu, 610041, Sichuan, China.
Cardiovasc Diabetol. 2024 Jul 4;23(1):234. doi: 10.1186/s12933-024-02304-0.
The abnormal low-density protein cholesterol (LDL-C) level in the development of atherosclerosis is often comorbid in individuals with type 2 diabetes mellitus(T2DM). This study aimed to investigate the aggravating effect of abnormal LDL-C levels on coronary artery plaques assessed by coronary computed tomography angiography (CCTA) in T2DM.
This study collected 3439 T2DM patients from September 2011 to February 2022. Comparative analysis of differences in coronary plaque characteristics was performed for the patients between the normal LDL-C level group and the abnormal LDL-C level group. Factors with P < 0.1 in the univariable linear regression analyses were included in the multivariable linear stepwise regression.
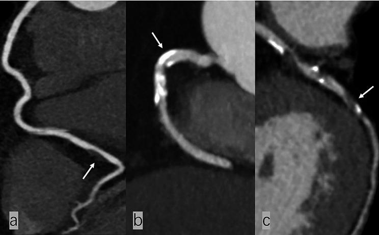
A total of 2820 eligible T2DM patients were included and identified as the normal LDL-C level group (n = 973) and the abnormal LDL-C level group (n = 1847). Compared with the normal LDL-C level group, both on a per-patient basis and per-segment basis, patients with abnormal LDL-C level showed more calcified plaques, partially calcified plaques, low attenuation plaques, positive remodellings, and spotty calcifications. Multivessel obstructive disease (MVD), nonobstructive stenosis (NOS), obstructive stenosis (OS), plaque involvement degree (PID), segment stenosis score (SSS), and segment involvement scores (SIS) were likely higher in the abnormal LDL-C level group than that in the normal LDL-C level group (P < 0.001). In multivariable linear stepwise regression, the abnormal LDL-C level was validated as an independent positive correlation with high-risk coronary plaques and the degree and extent of stenosis caused by plaques (low attenuation plaque: β = 0.116; positive remodelling: β = 0.138; spotty calcification: β = 0.091; NOS: β = 0.427; OS: β = 0.659: SIS: β = 1.114; SSS: β = 2.987; PID: β = 2.716, all P value < 0.001).
Abnormal LDL-C levels aggravate atherosclerotic cardiovascular disease (ASCVD) in patients with T2DM. Clinical attention deserves to be caught by the tailored identification of cardiovascular risk categories in T2DM individuals and the achievement of the corresponding LDL-C treatment goal.
异常的低密度脂蛋白胆固醇(LDL-C)水平在动脉粥样硬化的发展中常与 2 型糖尿病(T2DM)患者同时存在。本研究旨在探讨异常 LDL-C 水平对 T2DM 患者冠状动脉 CT 血管造影(CCTA)评估的冠状动脉斑块的加重作用。
本研究收集了 2011 年 9 月至 2022 年 2 月的 3439 例 T2DM 患者。对 LDL-C 水平正常组和异常组患者的冠状动脉斑块特征进行了差异的比较分析。单变量线性回归分析中 P<0.1 的因素被纳入多变量线性逐步回归。
共纳入 2820 例符合条件的 T2DM 患者,分为 LDL-C 水平正常组(n=973)和异常组(n=1847)。与 LDL-C 水平正常组相比,异常 LDL-C 水平组的每位患者和每个节段的钙化斑块、部分钙化斑块、低衰减斑块、正性重构和点状钙化均较多。异常 LDL-C 水平组的多血管病变(MVD)、非狭窄性狭窄(NOS)、狭窄性狭窄(OS)、斑块受累程度(PID)、节段狭窄评分(SSS)和节段受累评分(SIS)均高于 LDL-C 水平正常组(P<0.001)。多变量线性逐步回归验证,异常 LDL-C 水平与高危冠状动脉斑块以及斑块引起的狭窄程度和范围呈独立正相关(低衰减斑块:β=0.116;正性重构:β=0.138;点状钙化:β=0.091;NOS:β=0.427;OS:β=0.659;SIS:β=1.114;SSS:β=2.987;PID:β=2.716,均 P 值<0.001)。
异常 LDL-C 水平加重了 T2DM 患者的动脉粥样硬化性心血管疾病(ASCVD)。临床应重视对 T2DM 个体心血管风险类别的个体化识别,并实现相应的 LDL-C 治疗目标。