Department of Anesthesiology, Tianjin First Central Hospital, Tianjin, China.
Department of General Surgery, Tianjin Medical University General Hospital, Tianjin, China.
Hepatol Commun. 2024 Jul 5;8(7). doi: 10.1097/HC9.0000000000000479. eCollection 2024 Jul 1.
lNUAK1 is strongly associated with organ fibrosis, but its causal mechanism for modulating lipid metabolism and hepatic inflammation underlying MASH has not been fully clarified.
In our study, human liver tissues from patients with MASH and control subjects were obtained to evaluate NUAK1 expression. MASH models were established using C57BL/6 mice. Liver damage and molecular mechanisms of the NUAK1-Caspase 6 signaling were tested in vivo and in vitro.
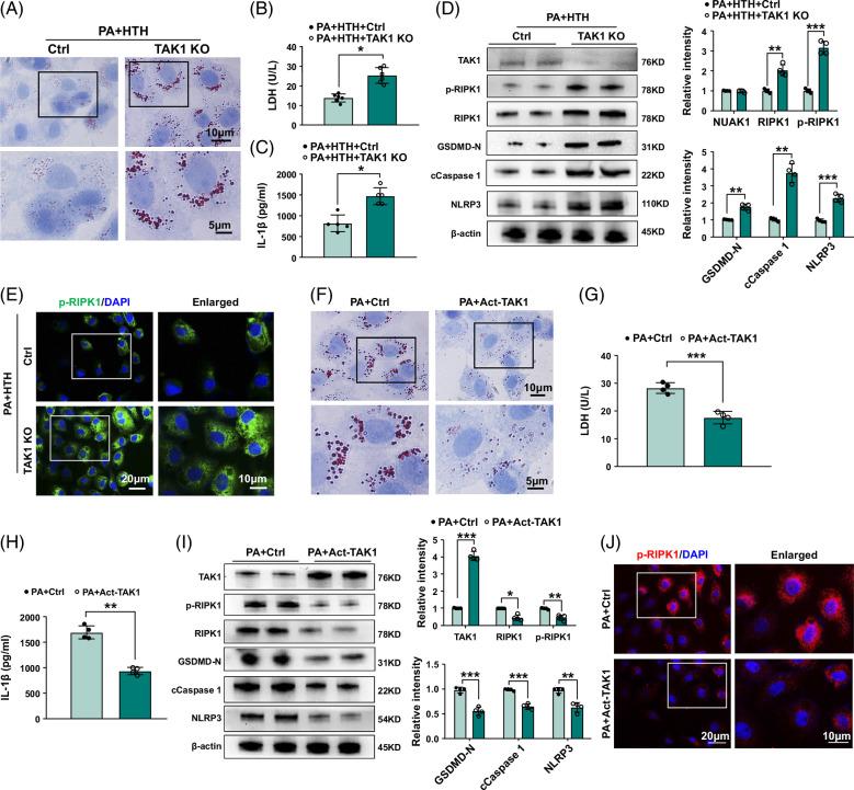
In the clinical arm, NUAK1 expression was upregulated in liver samples from patients with MASH. Moreover, increased NUAK1 was detected in mouse MASH models. NUAK1 inhibition ameliorated steatohepatitis development in MASH mice accompanied by the downregulation of hepatic steatosis and fibrosis. Intriguingly, NUAK1 was found to facilitate Caspase 6 activation and trigger pyroptosis in MASH-stressed livers. Disruption of hepatocytes Caspase 6 decreased MASH-induced liver inflammation with upregulated TAK1 but diminished RIPK1. Moreover, we found that NUAK1/Caspase 6 axis inhibition could accelerate the interaction between TAK1 and RIPK1, which in turn led to the degradation of RIPK1.
In summary, our study elucidates that NUAK1-Caspase 6 signaling controls inflammation activation in MASH through the interaction between TAK1 and RIPK1, which is crucial for controlling pyroptosis and promoting the progression of MASH.
lNUAK1 与器官纤维化密切相关,但它调节 MASH 脂质代谢和肝炎症的因果机制尚未完全阐明。
在本研究中,我们从 MASH 患者和对照受试者中获得人肝组织,以评估 NUAK1 的表达。使用 C57BL/6 小鼠建立 MASH 模型。在体内和体外测试了 NUAK1-Caspase 6 信号的肝损伤和分子机制。
在临床部分,MASH 患者的肝组织中 NUAK1 的表达上调。此外,在 MASH 小鼠模型中检测到 NUAK1 增加。NUAK1 抑制改善了 MASH 小鼠的 steatohepatitis 发展,伴随着肝脂肪变性和纤维化的下调。有趣的是,发现 NUAK1 促进 Caspase 6 的激活,并在 MASH 应激的肝脏中引发细胞焦亡。破坏肝细胞 Caspase 6 可减少 MASH 诱导的肝脏炎症,同时上调 TAK1 但减少 RIPK1。此外,我们发现 NUAK1/Caspase 6 轴抑制可加速 TAK1 和 RIPK1 之间的相互作用,从而导致 RIPK1 的降解。
总之,我们的研究阐明了 NUAK1-Caspase 6 信号通过 TAK1 和 RIPK1 之间的相互作用控制 MASH 中的炎症激活,这对于控制细胞焦亡和促进 MASH 的进展至关重要。