• 文献检索
  • 文档翻译
  • 深度研究
  • 学术资讯
  • Suppr Zotero 插件Zotero 插件
  • 邀请有礼
  • 套餐&价格
  • 历史记录
应用&插件
Suppr Zotero 插件Zotero 插件浏览器插件Mac 客户端Windows 客户端微信小程序
定价
高级版会员购买积分包购买API积分包
服务
文献检索文档翻译深度研究API 文档MCP 服务
关于我们
关于 Suppr公司介绍联系我们用户协议隐私条款
关注我们

Suppr 超能文献

核心技术专利:CN118964589B侵权必究
粤ICP备2023148730 号-1Suppr @ 2026

文献检索

告别复杂PubMed语法,用中文像聊天一样搜索,搜遍4000万医学文献。AI智能推荐,让科研检索更轻松。

立即免费搜索

文件翻译

保留排版,准确专业,支持PDF/Word/PPT等文件格式,支持 12+语言互译。

免费翻译文档

深度研究

AI帮你快速写综述,25分钟生成高质量综述,智能提取关键信息,辅助科研写作。

立即免费体验

蛛网膜下腔出血后克吕弗-布西综合征的罕见表现。

Rare presentation of Klüver-Bucy syndrome following subarachnoid hemorrhage.

作者信息

Maqsud Abrar Nasser, Alkhunaizi Fatimah Maitham, Al-Jehani Hosam

机构信息

Department of Psychiatry, King Fahad Specialist Hospital, Dammam, Saudi Arabia.

Department of Mental Health, Medical College, Imam Abdulrahman Bin Faisal University, Dammam, Saudi Arabia.

出版信息

Surg Neurol Int. 2024 Jun 7;15:192. doi: 10.25259/SNI_358_2024. eCollection 2024.

DOI:10.25259/SNI_358_2024
PMID:38974546
原文链接:https://pmc.ncbi.nlm.nih.gov/articles/PMC11225519/
Abstract

BACKGROUND

Klüver-Bucy syndrome (KBS) is a rare neuropsychiatric disorder, and it can be associated with a variety of neurological disorders. It is characterized by visual agnosia, placidity, hyperorality, hypersexuality, dietary changes, amnesia, and hypermetamorphosis. KBS is mainly a clinical diagnosis, with at least three symptoms sufficient to diagnose the condition.

CASE DESCRIPTION

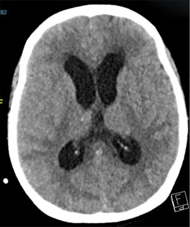
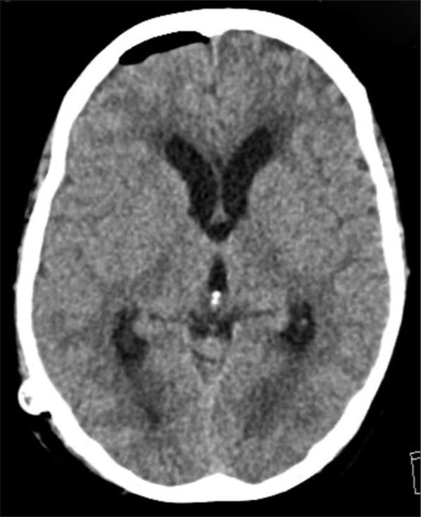
The case describes a 49-year-old Filipino woman with a history of hypertension who presented with symptoms strongly suggesting KBS following subarachnoid hemorrhage, including behaviors such as hyperorality, hypermobility, placidity, hypermetamorphosis, and hypersexuality along with memory disturbance. She was managed as a case of brief psychotic disorder initially with olanzapine, then on the second presentation as a case of delirium with risperidone.

CONCLUSION

Among many symptoms of KBS, only three symptoms are required for the diagnosis clinically. Numerous neurological conditions can cause KBS. Symptomatic treatment is the mainstream treatment currently for KBS. While different differential diagnoses are present, neurologists, psychiatrists, neurosurgeons, and radiologists should collaborate and be vigilant for the diagnosis of KBS, especially with the presence of one of its etiologies.

摘要

背景

克吕弗-布西综合征(KBS)是一种罕见的神经精神障碍,可与多种神经系统疾病相关。其特征包括视觉失认、平静、口欲亢进、性欲亢进、饮食改变、失忆和变换症。KBS主要是临床诊断,至少有三种症状足以诊断该病。

病例描述

该病例描述了一名49岁有高血压病史的菲律宾女性,蛛网膜下腔出血后出现强烈提示KBS的症状,包括口欲亢进、多动、平静、变换症和性欲亢进等行为以及记忆障碍。她最初被当作短暂性精神病性障碍病例用奥氮平治疗,第二次就诊时被当作谵妄病例用利培酮治疗。

结论

在KBS的诸多症状中,临床诊断只需三种症状。众多神经系统疾病可导致KBS。对症治疗是目前KBS的主流治疗方法。虽然存在不同的鉴别诊断,但神经科医生、精神科医生、神经外科医生和放射科医生应协作并警惕KBS的诊断,尤其是存在其病因之一时。

https://cdn.ncbi.nlm.nih.gov/pmc/blobs/c481/11225519/3f5b30419210/SNI-15-192-g006.jpg
https://cdn.ncbi.nlm.nih.gov/pmc/blobs/c481/11225519/0d96fd9a1af4/SNI-15-192-g001.jpg
https://cdn.ncbi.nlm.nih.gov/pmc/blobs/c481/11225519/b5570cb2c490/SNI-15-192-g002.jpg
https://cdn.ncbi.nlm.nih.gov/pmc/blobs/c481/11225519/95cb98fff3f3/SNI-15-192-g003.jpg
https://cdn.ncbi.nlm.nih.gov/pmc/blobs/c481/11225519/645e645db092/SNI-15-192-g004.jpg
https://cdn.ncbi.nlm.nih.gov/pmc/blobs/c481/11225519/9553bc91cf15/SNI-15-192-g005.jpg
https://cdn.ncbi.nlm.nih.gov/pmc/blobs/c481/11225519/3f5b30419210/SNI-15-192-g006.jpg
https://cdn.ncbi.nlm.nih.gov/pmc/blobs/c481/11225519/0d96fd9a1af4/SNI-15-192-g001.jpg
https://cdn.ncbi.nlm.nih.gov/pmc/blobs/c481/11225519/b5570cb2c490/SNI-15-192-g002.jpg
https://cdn.ncbi.nlm.nih.gov/pmc/blobs/c481/11225519/95cb98fff3f3/SNI-15-192-g003.jpg
https://cdn.ncbi.nlm.nih.gov/pmc/blobs/c481/11225519/645e645db092/SNI-15-192-g004.jpg
https://cdn.ncbi.nlm.nih.gov/pmc/blobs/c481/11225519/9553bc91cf15/SNI-15-192-g005.jpg
https://cdn.ncbi.nlm.nih.gov/pmc/blobs/c481/11225519/3f5b30419210/SNI-15-192-g006.jpg

相似文献

1
Rare presentation of Klüver-Bucy syndrome following subarachnoid hemorrhage.蛛网膜下腔出血后克吕弗-布西综合征的罕见表现。
Surg Neurol Int. 2024 Jun 7;15:192. doi: 10.25259/SNI_358_2024. eCollection 2024.
2
Kluver-Bucy Syndrome: A Rare Complication of Herpes Simplex Encephalitis.克吕弗-布西综合征:单纯疱疹性脑炎的一种罕见并发症。
Eur J Case Rep Intern Med. 2021 Jul 22;8(7):002725. doi: 10.12890/2021_002725. eCollection 2021.
3
Kluver-Bucy syndrome in one case with systemic lupus erythematosus.红斑狼疮伴 Kluver-Bucy 综合征 1 例
Kaohsiung J Med Sci. 2011 Apr;27(4):159-62. doi: 10.1016/j.kjms.2010.12.011. Epub 2011 Feb 17.
4
Klüver Bucy syndrome, unusual consequence of excessively rapid correction of severe hyponatremia.克吕弗-布西综合征,严重低钠血症过快纠正的异常后果。
Presse Med. 2008 Jun;37(6 Pt 1):975-7. doi: 10.1016/j.lpm.2007.08.021. Epub 2008 Mar 28.
5
Kluver-Bucy Syndrome克吕弗-布西综合征
6
Mesiotemporal Disconnection and Hypoactivity in Klüver-Bucy Syndrome: Case Series and Literature Review.克吕弗-布西综合征中的颞叶内侧连接中断与活动减退:病例系列及文献综述
J Clin Psychiatry. 2016 Aug;77(8):e982-8. doi: 10.4088/JCP.14r09497.
7
The Klüver-Bucy Syndrome.克吕弗-布西综合征
Front Neurol Neurosci. 2018;41:77-89. doi: 10.1159/000475721. Epub 2017 Nov 16.
8
Partial Kluver-Bucy syndrome: two cases.部分性克吕弗-布西综合征:两例报告
CNS Spectr. 2001 Apr;6(4):329-32. doi: 10.1017/s1092852900022033.
9
Persistent Klüver-Bucy syndrome after bilateral temporal lobe infarction.双侧颞叶梗死后持续性克吕弗-布西综合征
Acta Neurol Taiwan. 2008 Sep;17(3):199-202.
10
The 100 Most Cited Kluver-Bucy Research Articles: A Bibliometric Analysis.被引用次数最多的100篇克吕弗-布西研究文章:一项文献计量分析。
Cureus. 2023 Sep 16;15(9):e45382. doi: 10.7759/cureus.45382. eCollection 2023 Sep.

本文引用的文献

1
Klüver-Bucy Syndrome Following Traumatic Brain Injury: A Systematic Synthesis and Review of Pharmacological Treatment From Cases in Adolescents and Adults.创伤性脑损伤后的克吕弗-布西综合征:青少年和成人病例药理学治疗的系统综合与综述
J Neuropsychiatry Clin Neurosci. 2019 Winter;31(1):6-16. doi: 10.1176/appi.neuropsych.18050112. Epub 2018 Oct 31.
2
The Klüver-Bucy Syndrome.克吕弗-布西综合征
Front Neurol Neurosci. 2018;41:77-89. doi: 10.1159/000475721. Epub 2017 Nov 16.
3
Kluver - Bucy Syndrome Following Herpes Simplex Encephalitis.
单纯疱疹性脑炎后的克卢弗-布西综合征
Med J Armed Forces India. 2005 Oct;61(4):389-90. doi: 10.1016/S0377-1237(05)80078-4. Epub 2011 Jul 21.
4
[Phenomenology of the Klüver-Bucy syndrome in man].[人类克吕弗-布西综合征的现象学]
Fortschr Neurol Psychiatr. 1984 Nov;52(11):375-97. doi: 10.1055/s-2007-1002207.