Department of Gastroenterology, Zhongnan Hospital of Wuhan University, Wuhan, 430071, China.
Hubei Clinical Center & Key Lab of Intestinal & Colorectal Diseases, Wuhan, 430071, China.
Adv Sci (Weinh). 2024 Sep;11(35):e2403461. doi: 10.1002/advs.202403461. Epub 2024 Jul 11.
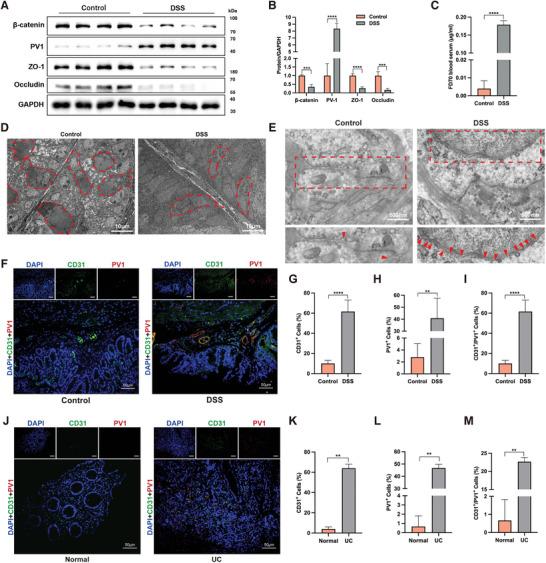
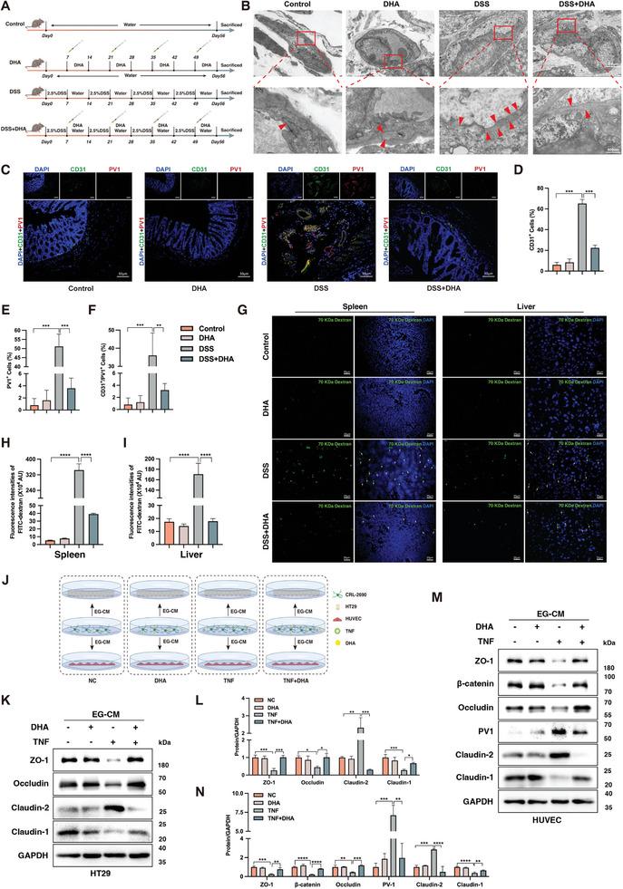
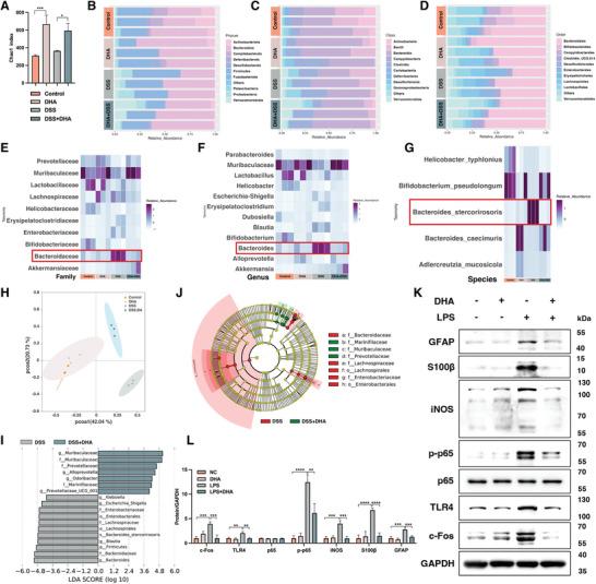
The precise mechanism underlying the therapeutic effects of dihydroartemisinin (DHA) in alleviating colitis remains incompletely understood. A strong correlation existed between the elevation of glial fibrillary acidic protein (GFAP)/S100 calcium binding protein B (S100β) enteric glial cells (EGCs) in inflamed colonic tissues and the disruption of the intestinal epithelial barrier (IEB) and gut vascular barrier (GVB) observed in chronic colitis. DHA demonstrated efficacy in restoring the functionality of the dual gut barrier while concurrently attenuating intestinal inflammation. Mechanistically, DHA inhibited the transformation of GFAP EGCs into GFAP/S100β EGCs while promoting the differentiation of GFAP/S100β EGCs back into GFAP EGCs. Furthermore, DHA induced apoptosis in GFAP/S100β EGCs by inducing cell cycle arrest at the G0/G1 phase. The initial mechanism is further validated that DHA regulates EGC heterogeneity by improving dysbiosis in colitis. These findings underscore the multifaceted therapeutic potential of DHA in ameliorating colitis by improving dysbiosis, modulating EGC heterogeneity, and preserving gut barrier integrity, thus offering promising avenues for novel therapeutic strategies for inflammatory bowel diseases.
双氢青蒿素(DHA)在缓解结肠炎方面的治疗效果的确切机制尚不完全清楚。在慢性结肠炎中,观察到炎症结肠组织中神经胶质纤维酸性蛋白(GFAP)/S100 钙结合蛋白 B(S100β)肠神经胶质细胞(EGCs)的升高与肠上皮屏障(IEB)和肠道血管屏障(GVB)的破坏之间存在很强的相关性。DHA 在恢复双重肠道屏障的功能的同时,减轻肠道炎症方面具有疗效。从机制上讲,DHA 抑制 GFAP EGC 转化为 GFAP/S100β EGC,同时促进 GFAP/S100β EGC 分化回 GFAP EGC。此外,DHA 通过诱导细胞周期停滞在 G0/G1 期,诱导 GFAP/S100β EGC 凋亡。初步机制进一步验证了 DHA 通过改善结肠炎中的失调来调节 EGC 异质性。这些发现强调了 DHA 通过改善失调、调节 EGC 异质性和保护肠道屏障完整性来改善结肠炎的多方面治疗潜力,从而为炎症性肠病的新型治疗策略提供了有希望的途径。