• 文献检索
  • 文档翻译
  • 深度研究
  • 学术资讯
  • Suppr Zotero 插件Zotero 插件
  • 邀请有礼
  • 套餐&价格
  • 历史记录
应用&插件
Suppr Zotero 插件Zotero 插件浏览器插件Mac 客户端Windows 客户端微信小程序
定价
高级版会员购买积分包购买API积分包
服务
文献检索文档翻译深度研究API 文档MCP 服务
关于我们
关于 Suppr公司介绍联系我们用户协议隐私条款
关注我们

Suppr 超能文献

核心技术专利:CN118964589B侵权必究
粤ICP备2023148730 号-1Suppr @ 2026

文献检索

告别复杂PubMed语法,用中文像聊天一样搜索,搜遍4000万医学文献。AI智能推荐,让科研检索更轻松。

立即免费搜索

文件翻译

保留排版,准确专业,支持PDF/Word/PPT等文件格式,支持 12+语言互译。

免费翻译文档

深度研究

AI帮你快速写综述,25分钟生成高质量综述,智能提取关键信息,辅助科研写作。

立即免费体验

肾移植受者活动性肺结核的放射学表现:4例回顾性研究及文献复习

Radiological presentation of active pulmonary tuberculosis in kidney transplant recipients: a retrospective study of four cases and a review of the literature.

作者信息

Oliveira Virgilio de Araujo, Almeida Ricardo Augusto Monteiro de Barros, Cavalcante Ricardo de Souza, de Andrade Luis Gustavo Modelli, Ribeiro Sergio Marrone

机构信息

Faculdade de Medicina de Botucatu, Universidade Estadual Paulista "Júlio de Mesquita Filho" (UNESP). Botucatu, SP, Brazil.

出版信息

Radiol Bras. 2024 May 7;57:e20230124. doi: 10.1590/0100-3984.2023.0124. eCollection 2024 Jan-Dec.

DOI:10.1590/0100-3984.2023.0124
PMID:38993963
原文链接:https://pmc.ncbi.nlm.nih.gov/articles/PMC11235070/
Abstract

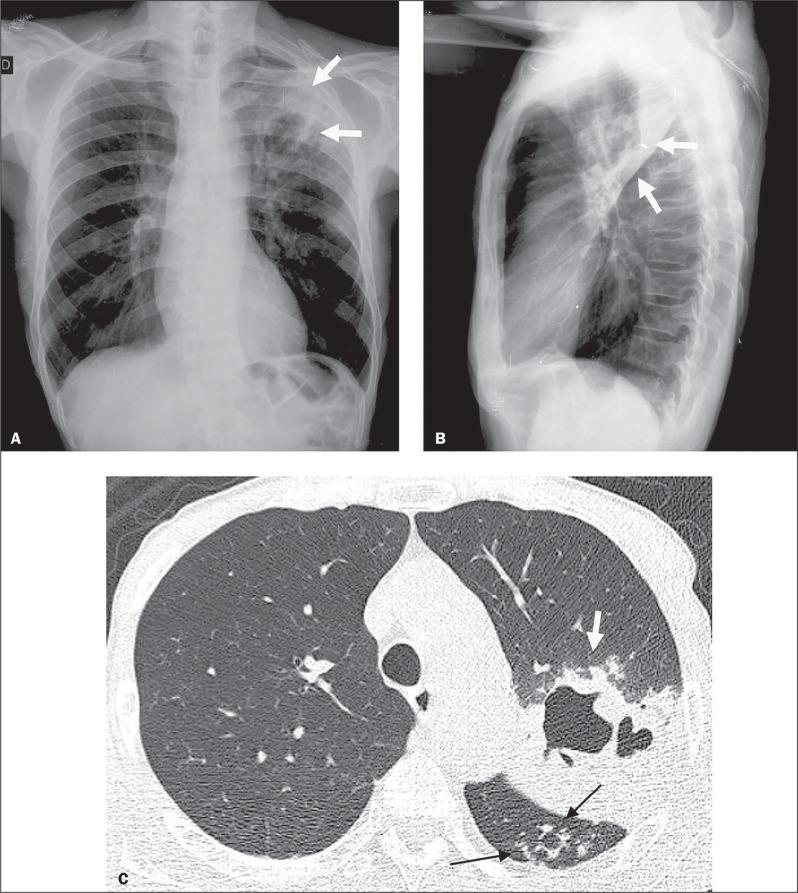
Although kidney transplantation is the best therapeutic option for patients with chronic kidney disease, the immunosuppression required greatly increases susceptibility to infections that are responsible for high post-transplant mortality. Pulmonary tuberculosis (TB) represents a major cause of such infections, and its early diagnosis is therefore quite important. In view of that, we researched the manifestations of active pulmonary TB in kidney transplant recipients, through chest X-ray and computed tomography (CT), as well as determining the number of cases of active pulmonary TB occurring over a 3.5-year period at our institution. We identified four cases of active pulmonary TB in kidney transplant recipients. The CT scans provided information complementary to the chest X-ray findings in all four of those cases. We compared our CT findings with those reported in the literature. We analyzed our experience in conjunction with an extensive review of the literature that was nevertheless limited because few studies have been carried out in lowand middle-income countries, where the incidence of TB is higher.

摘要

尽管肾移植是慢性肾病患者的最佳治疗选择,但所需的免疫抑制会大大增加感染易感性,而感染是移植后高死亡率的原因。肺结核(TB)是此类感染的主要原因,因此其早期诊断非常重要。有鉴于此,我们通过胸部X光和计算机断层扫描(CT)研究了肾移植受者活动性肺结核的表现,并确定了我院3.5年期间发生的活动性肺结核病例数。我们在肾移植受者中发现了4例活动性肺结核病例。在所有这4例病例中,CT扫描提供了与胸部X光检查结果互补的信息。我们将我们的CT检查结果与文献报道的结果进行了比较。我们结合对文献的广泛回顾分析了我们的经验,不过文献回顾有限,因为在结核病发病率较高的低收入和中等收入国家开展的研究很少。

https://cdn.ncbi.nlm.nih.gov/pmc/blobs/d5cf/11235070/158ecdf70199/rb-57-e20230124-g03.jpg
https://cdn.ncbi.nlm.nih.gov/pmc/blobs/d5cf/11235070/b25adeaf2629/rb-57-e20230124-g01.jpg
https://cdn.ncbi.nlm.nih.gov/pmc/blobs/d5cf/11235070/46ff191f681a/rb-57-e20230124-g04.jpg
https://cdn.ncbi.nlm.nih.gov/pmc/blobs/d5cf/11235070/a6b76abadfa3/rb-57-e20230124-g02.jpg
https://cdn.ncbi.nlm.nih.gov/pmc/blobs/d5cf/11235070/158ecdf70199/rb-57-e20230124-g03.jpg
https://cdn.ncbi.nlm.nih.gov/pmc/blobs/d5cf/11235070/b25adeaf2629/rb-57-e20230124-g01.jpg
https://cdn.ncbi.nlm.nih.gov/pmc/blobs/d5cf/11235070/46ff191f681a/rb-57-e20230124-g04.jpg
https://cdn.ncbi.nlm.nih.gov/pmc/blobs/d5cf/11235070/a6b76abadfa3/rb-57-e20230124-g02.jpg
https://cdn.ncbi.nlm.nih.gov/pmc/blobs/d5cf/11235070/158ecdf70199/rb-57-e20230124-g03.jpg

相似文献

1
Radiological presentation of active pulmonary tuberculosis in kidney transplant recipients: a retrospective study of four cases and a review of the literature.肾移植受者活动性肺结核的放射学表现:4例回顾性研究及文献复习
Radiol Bras. 2024 May 7;57:e20230124. doi: 10.1590/0100-3984.2023.0124. eCollection 2024 Jan-Dec.
2
Chest computed tomography is more likely to show latent tuberculosis foci than simple chest radiography in liver transplant candidates.胸部计算机断层扫描比单纯的胸部 X 光摄影更有可能在肝移植受者中显示潜伏性肺结核病灶。
Liver Transpl. 2011 Aug;17(8):963-8. doi: 10.1002/lt.22319.
3
Tuberculosis in Egyptian kidney transplant recipients: study of clinical course and outcome.埃及肾移植受者中的结核病:临床病程及结局研究
J Nephrol. 2003 May-Jun;16(3):404-11.
4
Impact of pulmonary and extrapulmonary tuberculosis infection in kidney transplantation: a nationwide population-based study in Taiwan.肺结核和肺外结核感染对肾移植的影响:台湾一项基于全国人口的研究。
Transpl Infect Dis. 2012 Oct;14(5):502-9. doi: 10.1111/j.1399-3062.2012.00737.x. Epub 2012 May 10.
5
Risk factors of tuberculosis after liver transplant in a tertiary care hospital.三级医院肝移植后结核病的危险因素。
J Microbiol Immunol Infect. 2021 Apr;54(2):312-318. doi: 10.1016/j.jmii.2019.08.006. Epub 2019 Oct 8.
6
Tuberculosis in renal transplant recipients: a Brazilian center registry.肾移植受者中的结核病:巴西一家中心的登记情况
Transplant Proc. 2009 Apr;41(3):883-4. doi: 10.1016/j.transproceed.2009.01.075.
7
Tuberculosis following kidney transplantation: clinical features and outcome. A French multicentre experience in the last 20 years.肾移植后结核病:临床特征和结局。法国 20 年来多中心的经验。
Nephrol Dial Transplant. 2011 Nov;26(11):3773-8. doi: 10.1093/ndt/gfr156. Epub 2011 Apr 5.
8
Risk factors and clinical outcomes of tuberculosis among kidney transplant recipients in high endemic country.高结核流行国家肾移植受者结核病的危险因素和临床结局。
Transpl Infect Dis. 2021 Jun;23(3):e13566. doi: 10.1111/tid.13566. Epub 2021 Jan 25.
9
TB in paediatric kidney transplant recipients - A single-centre experience.儿科肾移植受者中的结核病——单中心经验。
Pediatr Transplant. 2022 Feb;26(1):e14141. doi: 10.1111/petr.14141. Epub 2021 Sep 16.
10
The first report of co-existence of pulmonary tuberculosis and lung malignancy in a kidney transplant recipient: a case report and literature review.首例肾移植受者合并肺结核和肺部恶性肿瘤:病例报告及文献复习。
BMC Infect Dis. 2021 Jul 1;21(1):629. doi: 10.1186/s12879-021-06350-x.

引用本文的文献

1
Analysis of the clinical characteristics of 100 patients who developed tuberculosis after renal transplantation.100例肾移植后发生结核病患者的临床特征分析。
BMC Infect Dis. 2025 Jun 4;25(1):795. doi: 10.1186/s12879-025-11197-7.

本文引用的文献

1
Pulmonary infections after renal transplantation: a prospective study from a tropical country.肾移植后肺部感染:来自热带国家的前瞻性研究。
Transpl Int. 2021 Mar;34(3):525-534. doi: 10.1111/tri.13817. Epub 2021 Feb 26.
2
Diagnostic delay and mortality of active tuberculosis in patients after kidney transplantation in a tertiary care hospital in China.中国一家三级医院肾移植后活动性肺结核患者的诊断延误和死亡率。
PLoS One. 2018 Apr 16;13(4):e0195695. doi: 10.1371/journal.pone.0195695. eCollection 2018.
3
Risk of tuberculosis after lung transplantation: the value of pretransplant chest computed tomography and the impact of mTOR inhibitors and azathioprine use.
肺移植术后肺结核的风险:移植前胸部计算机断层扫描的价值以及雷帕霉素靶蛋白抑制剂和硫唑嘌呤使用的影响
Transpl Infect Dis. 2016 Aug;18(4):512-9. doi: 10.1111/tid.12555. Epub 2016 Aug 2.
4
High-resolution CT findings of pulmonary Mycobacterium tuberculosis infection in renal transplant recipients.肾移植受者肺部结核分枝杆菌感染的高分辨率CT表现
Br J Radiol. 2016;89(1058):20150686. doi: 10.1259/bjr.20150686. Epub 2015 Nov 26.
5
Mycobacterium tuberculosis infection following kidney transplantation.肾移植术后结核分枝杆菌感染。
Biomed Res Int. 2013;2013:347103. doi: 10.1155/2013/347103. Epub 2013 Oct 8.
6
Tuberculosis prevalence in renal transplant recipients: systematic review and meta-analysis.肾移植受者中的结核病患病率:系统评价与荟萃分析。
J Bras Nefrol. 2013 Jul-Sep;35(3):206-13. doi: 10.5935/0101-2800.20130033.
7
Mycobacterium tuberculosis infections in solid organ transplantation.实体器官移植中的结核分枝杆菌感染
Am J Transplant. 2013 Mar;13 Suppl 4:68-76. doi: 10.1111/ajt.12100.
8
Clinical features and outcomes of tuberculosis in kidney transplant recipients in Brazil: a report of the last decade.巴西肾移植受者结核病的临床特征和结局:过去十年的报告。
Clin Transplant. 2013 Mar-Apr;27(2):E169-76. doi: 10.1111/ctr.12077. Epub 2013 Jan 28.
9
Clinical data and CT findings of pulmonary infection caused by different pathogens after kidney transplantation.肾移植后不同病原体引起肺部感染的临床资料及 CT 表现。
Eur J Radiol. 2012 Jun;81(6):1347-52. doi: 10.1016/j.ejrad.2011.03.070. Epub 2011 Apr 27.
10
Validation of a clinical-radiographic score to assess the probability of pulmonary tuberculosis in suspect patients with negative sputum smears.评估阴性痰涂片疑似肺结核患者肺结核概率的临床影像学评分的验证。
PLoS One. 2011 Apr 5;6(4):e18486. doi: 10.1371/journal.pone.0018486.