• 文献检索
  • 文档翻译
  • 深度研究
  • 学术资讯
  • Suppr Zotero 插件Zotero 插件
  • 邀请有礼
  • 套餐&价格
  • 历史记录
应用&插件
Suppr Zotero 插件Zotero 插件浏览器插件Mac 客户端Windows 客户端微信小程序
定价
高级版会员购买积分包购买API积分包
服务
文献检索文档翻译深度研究API 文档MCP 服务
关于我们
关于 Suppr公司介绍联系我们用户协议隐私条款
关注我们

Suppr 超能文献

核心技术专利:CN118964589B侵权必究
粤ICP备2023148730 号-1Suppr @ 2026

文献检索

告别复杂PubMed语法,用中文像聊天一样搜索,搜遍4000万医学文献。AI智能推荐,让科研检索更轻松。

立即免费搜索

文件翻译

保留排版,准确专业,支持PDF/Word/PPT等文件格式,支持 12+语言互译。

免费翻译文档

深度研究

AI帮你快速写综述,25分钟生成高质量综述,智能提取关键信息,辅助科研写作。

立即免费体验

扩散加权磁共振成像中尺蠖征在鉴别肌层浸润性膀胱癌中的准确性

Accuracy of Inchworm Sign on Diffusion-Weighted MRI in Differentiating Muscle-Invasive Bladder Cancer.

作者信息

Kazan Huseyin Ozgur, Culpan Meftun, Gunduz Nesrin, Keser Ferhat, Iplikci Ayberk, Atis Ramazan Gokhan, Yildirim Asif

机构信息

Istanbul Medeniyet University, School of Medicine, Department of Urology, Istanbul, Turkey.

Istanbul Medeniyet University, School of Medicine, Department of Radiology, Istanbul, Turkey.

出版信息

Bladder Cancer. 2022 Mar 11;8(1):35-44. doi: 10.3233/BLC-211535. eCollection 2022.

DOI:10.3233/BLC-211535
PMID:38994517
原文链接:https://pmc.ncbi.nlm.nih.gov/articles/PMC11181839/
Abstract

BACKGROUND

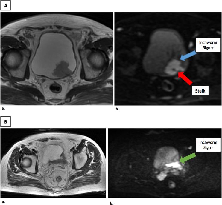
Inchworm sign is a finding on diffusion-weighted magnetic resonance imaging (DWI-MRI) and is used to better stratify T-staging in muscle invasive (MIBC) and non-muscle-invasive bladder cancer (NMIBC). An uninterrupted low submucosal signal on DWI, defined as inchworm sign (IS), indicates NMIBC.

OBJECTIVE

We aimed to define the diagnostic accuracy of IS in primary bladder cancer, as well as find agreement between the urologists and the radiologist.

METHODS

Between December 2018 and December 2020, we retrospectively analyzed 95 primary bladder cancer patients who had undergone multiparametric-MRI before transurethral resection. Patients with former bladder cancer history, tumors smaller than 10 mm, and MRI without proper protocol, as well as patients who did not attend follow-up, were excluded. In total, 71 patients' images were evaluated by a genitourinary specialist radiologist and two urologists. Sensitivity, specificity, positive and negative predictive values of IS and VI-RADS in differentiating MIBC and NMIBC, and interreader agreement between the radiologist and urologists were analyzed.

RESULTS

During follow-up, 38 patients (53.5%) were IS-positive, while 33 patients (46.5%) were negative. Among the 33 patients with negative IS, 14 patients (42.4%) had MIBC. Meanwhile, two out of the 38 IS-positive patients (5.3%) had MIBC ( = 0.00). Sensitivity, specificity, and positive and negative predictive values of IS in predicting MIBC were 87.5%, 63.6%, 41.2%and 94.6%, respectively. The interobserver agreement between the urologists and radiologist was almost perfect (  = 0.802 and  = 0.745).

CONCLUSION

The absence of IS on DWI is useful in differentiating MIBC from NMIBC. It is a simple finding that can be interpreted by urologists.

摘要

背景

尺蠖征是弥散加权磁共振成像(DWI-MRI)上的一种表现,用于更好地对肌层浸润性膀胱癌(MIBC)和非肌层浸润性膀胱癌(NMIBC)进行T分期。DWI上连续的低黏膜下信号,定义为尺蠖征(IS),提示NMIBC。

目的

我们旨在确定IS在原发性膀胱癌中的诊断准确性,并找出泌尿外科医生和放射科医生之间的一致性。

方法

2018年12月至2020年12月期间,我们回顾性分析了95例经尿道切除术前接受多参数MRI检查的原发性膀胱癌患者。排除有既往膀胱癌病史、肿瘤小于10毫米、MRI检查方案不当以及未进行随访的患者。共有71例患者的图像由一位泌尿生殖系统专科放射科医生和两位泌尿外科医生进行评估。分析了IS和VI-RADS在鉴别MIBC和NMIBC方面的敏感性、特异性、阳性和阴性预测值,以及放射科医生和泌尿外科医生之间的阅片者一致性。

结果

随访期间,38例患者(53.5%)IS阳性,33例患者(46.5%)阴性。在33例IS阴性的患者中,14例(42.4%)患有MIBC。同时,38例IS阳性患者中有2例(5.3%)患有MIBC(P = 0.00)。IS预测MIBC的敏感性、特异性、阳性和阴性预测值分别为87.5%、63.6%、41.2%和94.6%。泌尿外科医生和放射科医生之间的观察者间一致性几乎完美(κ = 0.802和κ = 0.745)。

结论

DWI上无IS有助于鉴别MIBC和NMIBC。这是一个简单的表现,泌尿外科医生可以进行解读。

https://cdn.ncbi.nlm.nih.gov/pmc/blobs/b11f/11181839/8bc8d4405910/blc-8-blc211535-g004.jpg
https://cdn.ncbi.nlm.nih.gov/pmc/blobs/b11f/11181839/2ffe1ae5b995/blc-8-blc211535-g001.jpg
https://cdn.ncbi.nlm.nih.gov/pmc/blobs/b11f/11181839/5885adfa8f16/blc-8-blc211535-g002.jpg
https://cdn.ncbi.nlm.nih.gov/pmc/blobs/b11f/11181839/8a6e683e7a01/blc-8-blc211535-g003.jpg
https://cdn.ncbi.nlm.nih.gov/pmc/blobs/b11f/11181839/8bc8d4405910/blc-8-blc211535-g004.jpg
https://cdn.ncbi.nlm.nih.gov/pmc/blobs/b11f/11181839/2ffe1ae5b995/blc-8-blc211535-g001.jpg
https://cdn.ncbi.nlm.nih.gov/pmc/blobs/b11f/11181839/5885adfa8f16/blc-8-blc211535-g002.jpg
https://cdn.ncbi.nlm.nih.gov/pmc/blobs/b11f/11181839/8a6e683e7a01/blc-8-blc211535-g003.jpg
https://cdn.ncbi.nlm.nih.gov/pmc/blobs/b11f/11181839/8bc8d4405910/blc-8-blc211535-g004.jpg

相似文献

1
Accuracy of Inchworm Sign on Diffusion-Weighted MRI in Differentiating Muscle-Invasive Bladder Cancer.扩散加权磁共振成像中尺蠖征在鉴别肌层浸润性膀胱癌中的准确性
Bladder Cancer. 2022 Mar 11;8(1):35-44. doi: 10.3233/BLC-211535. eCollection 2022.
2
Prospective Assessment of Vesical Imaging Reporting and Data System (VI-RADS) and Its Clinical Impact on the Management of High-risk Non-muscle-invasive Bladder Cancer Patients Candidate for Repeated Transurethral Resection.前瞻性评估膀胱影像报告和数据系统(VI-RADS)及其对高危非肌肉浸润性膀胱癌患者重复经尿道切除术候选者管理的临床影响。
Eur Urol. 2020 Jan;77(1):101-109. doi: 10.1016/j.eururo.2019.09.029. Epub 2019 Nov 5.
3
Clinical utility of the Vesical Imaging-Reporting and Data System for muscle-invasive bladder cancer between radiologists and urologists based on multiparametric MRI including 3D FSE T2-weighted acquisitions.基于包括 3D FSE T2WI 在内的多参数 MRI,比较放射科医师和泌尿科医师应用膀胱影像报告和数据系统评估肌层浸润性膀胱癌的临床效能。
Eur Radiol. 2021 Feb;31(2):875-883. doi: 10.1007/s00330-020-07153-5. Epub 2020 Aug 23.
4
Multiparametric MRI of the bladder: inter-observer agreement and accuracy with the Vesical Imaging-Reporting and Data System (VI-RADS) at a single reference center.膀胱多参数 MRI:在单一参考中心使用 Vesical Imaging-Reporting and Data System(VI-RADS)的观察者间一致性和准确性。
Eur Radiol. 2019 Oct;29(10):5498-5506. doi: 10.1007/s00330-019-06117-8. Epub 2019 Mar 18.
5
Diagnostic validity of the vesical imaging-reporting and data system (VI-RADS): a real-world study.膀胱影像报告和数据系统(VI-RADS)的诊断准确性:一项真实世界研究。
Actas Urol Esp (Engl Ed). 2023 Dec;47(10):638-644. doi: 10.1016/j.acuroe.2023.05.003. Epub 2023 May 18.
6
The efficacy and reliability of VI-RADS in determining candidates for repeated transurethral resection in patients with high-risk non-muscle invasive bladder cancer.VI-RADS 在确定高危非肌肉浸润性膀胱癌患者重复经尿道膀胱肿瘤切除术候选人中的疗效和可靠性。
Int J Clin Pract. 2021 Sep;75(9):e14584. doi: 10.1111/ijcp.14584. Epub 2021 Jul 9.
7
Amide Proton Transfer-Weighted MRI and Diffusion-Weighted Imaging in Bladder Cancer: A Complementary Tool to the VI-RADS.酰胺质子转移加权磁共振成像和扩散加权成像在膀胱癌中的应用:VI-RADS 的补充工具。
Acad Radiol. 2024 Feb;31(2):564-571. doi: 10.1016/j.acra.2023.09.005. Epub 2023 Oct 10.
8
The effectiveness of multiparametric magnetic resonance imaging in bladder cancer (Vesical Imaging-Reporting and Data System): A systematic review.多参数磁共振成像在膀胱癌中的有效性(膀胱影像报告和数据系统):一项系统评价。
Arab J Urol. 2020 Mar 1;18(2):67-71. doi: 10.1080/2090598X.2020.1733818.
9
Does Bladder Cancer with Inchworm Sign Indicate Better Prognosis after TURBT?具有尺蠖征的膀胱癌经尿道膀胱肿瘤电切术后预后是否更好?
Cancers (Basel). 2022 Nov 23;14(23):5767. doi: 10.3390/cancers14235767.
10
Evaluation of a fractional-order calculus diffusion model and bi-parametric VI-RADS for staging and grading bladder urothelial carcinoma.分数阶微积分扩散模型和双参数VI-RADS在膀胱尿路上皮癌分期和分级中的评估
Eur Radiol. 2022 Feb;32(2):890-900. doi: 10.1007/s00330-021-08203-2. Epub 2021 Aug 3.

本文引用的文献

1
Clinical utility of the Vesical Imaging-Reporting and Data System for muscle-invasive bladder cancer between radiologists and urologists based on multiparametric MRI including 3D FSE T2-weighted acquisitions.基于包括 3D FSE T2WI 在内的多参数 MRI,比较放射科医师和泌尿科医师应用膀胱影像报告和数据系统评估肌层浸润性膀胱癌的临床效能。
Eur Radiol. 2021 Feb;31(2):875-883. doi: 10.1007/s00330-020-07153-5. Epub 2020 Aug 23.
2
European Association of Urology Guidelines on Muscle-invasive and Metastatic Bladder Cancer: Summary of the 2020 Guidelines.欧洲泌尿外科学会肌层浸润性和转移性膀胱癌指南:2020 年指南摘要。
Eur Urol. 2021 Jan;79(1):82-104. doi: 10.1016/j.eururo.2020.03.055. Epub 2020 Apr 29.
3
Use of Vesical Imaging-Reporting and Data System (VI-RADS) for detecting the muscle invasion of bladder cancer: a diagnostic meta-analysis.
采用膀胱影像报告和数据系统(VI-RADS)检测膀胱癌的肌肉侵犯:一项诊断性荟萃分析。
Eur Radiol. 2020 Aug;30(8):4606-4614. doi: 10.1007/s00330-020-06802-z. Epub 2020 Apr 2.
4
Prospective Assessment of Vesical Imaging Reporting and Data System (VI-RADS) and Its Clinical Impact on the Management of High-risk Non-muscle-invasive Bladder Cancer Patients Candidate for Repeated Transurethral Resection.前瞻性评估膀胱影像报告和数据系统(VI-RADS)及其对高危非肌肉浸润性膀胱癌患者重复经尿道切除术候选者管理的临床影响。
Eur Urol. 2020 Jan;77(1):101-109. doi: 10.1016/j.eururo.2019.09.029. Epub 2019 Nov 5.
5
Multiparametric MRI in differentiation between muscle invasive and non-muscle invasive urinary bladder cancer with vesical imaging reporting and data system (VI-RADS) application.基于膀胱影像报告和数据系统(VI-RADS)的多参数 MRI 鉴别肌层浸润性和非肌层浸润性膀胱癌。
Br J Radiol. 2019 Dec;92(1104):20190401. doi: 10.1259/bjr.20190401. Epub 2019 Oct 8.
6
Validation of vesical imaging reporting and data system for assessing muscle invasion in bladder tumor.膀胱肿瘤中评估肌肉侵犯的膀胱成像报告和数据系统的验证。
Abdom Radiol (NY). 2020 Feb;45(2):491-498. doi: 10.1007/s00261-019-02190-1.
7
Multiparametric MRI for Bladder Cancer: Validation of VI-RADS for the Detection of Detrusor Muscle Invasion.多参数 MRI 膀胱癌:VI-RADS 对逼尿肌侵犯检测的验证。
Radiology. 2019 Jun;291(3):668-674. doi: 10.1148/radiol.2019182506. Epub 2019 Apr 23.
8
Diagnostic Accuracy and Interobserver Agreement for the Vesical Imaging-Reporting and Data System for Muscle-invasive Bladder Cancer: A Multireader Validation Study.膀胱癌肌层浸润的膀胱影像学报告和数据系统的诊断准确性和观察者间一致性:一项多读者验证研究。
Eur Urol. 2019 Jul;76(1):54-56. doi: 10.1016/j.eururo.2019.03.012. Epub 2019 Mar 26.
9
Usefulness of the inchworm sign on DWI for predicting pT1 bladder cancer progression.DWI 上“尺蠖样”征对预测 T1 期膀胱癌进展的作用。
Eur Radiol. 2019 Jul;29(7):3881-3888. doi: 10.1007/s00330-019-06119-6. Epub 2019 Mar 19.
10
Multiparametric MRI of the bladder: inter-observer agreement and accuracy with the Vesical Imaging-Reporting and Data System (VI-RADS) at a single reference center.膀胱多参数 MRI:在单一参考中心使用 Vesical Imaging-Reporting and Data System(VI-RADS)的观察者间一致性和准确性。
Eur Radiol. 2019 Oct;29(10):5498-5506. doi: 10.1007/s00330-019-06117-8. Epub 2019 Mar 18.