Suppr超能文献

类FinO/ProQ蛋白PA2582影响……中的抗菌耐药性。

The FinO/ProQ-like protein PA2582 impacts antimicrobial resistance in .

作者信息

Cianciulli Sesso Anastasia, Resch Armin, Moll Isabella, Bläsi Udo, Sonnleitner Elisabeth

机构信息

Department of Microbiology, Immunobiology and Genetics, Max Perutz Labs, Center of Molecular Biology, Vienna Biocenter, University of Vienna, Vienna, Austria.

Vienna BioCenter PhD Program, a Doctoral School of the University of Vienna and the Medical University of Vienna, Max Perutz Labs, Vienna Biocenter, University of Vienna, Vienna, Austria.

出版信息

Front Microbiol. 2024 Jun 26;15:1422742. doi: 10.3389/fmicb.2024.1422742. eCollection 2024.

Abstract

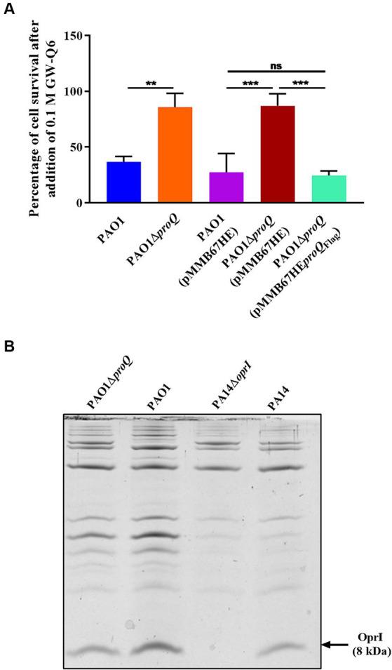
Bacteria employ small regulatory RNAs (sRNA) and/or RNA binding proteins (RBPs) to respond to environmental cues. In , the FinO-domain containing RBP ProQ associates with numerous sRNAs and mRNAs, impacts sRNA-mediated riboregulation or mRNA stability by binding to 5'- or 3'-untranslated regions as well as to internal stem loop structures. Global RNA-protein interaction studies and sequence comparisons identified a ProQ-like homolog (PA2582/ProQ ) in (). To address the function of ProQ , at first a comparative transcriptome analysis of the strains PAO1 and PAO1Δ was performed. This study revealed more than 100 differentially abundant transcripts, affecting a variety of cellular functions. Among these transcripts were and , encoding the PprA/PprB two component system, , encoding a transcriptional activator of , and , encoding the outer membrane protein OprI. RNA co-purification experiments with Strep-tagged ProQ protein corroborated an association of ProQ with these transcripts. In accordance with the up-regulation of the , , and genes in strain PAO1Δ a phenotypic analysis revealed an increased susceptibility toward the aminoglycosides tobramycin and gentamicin in biofilms. Conversely, the observed down-regulation of the gene in PAO1Δ could be reconciled with a decreased susceptibility toward the synthetic cationic antimicrobial peptide GW-Q6. Taken together, these studies revealed that ProQ is an RBP that impacts antimicrobial resistance in .

摘要

细菌利用小调节RNA(sRNA)和/或RNA结合蛋白(RBP)来响应环境信号。在[具体研究中],含FinO结构域的RBP ProQ与众多sRNA和mRNA结合,通过与5'-或3'-非翻译区以及内部茎环结构结合,影响sRNA介导的核糖调节或mRNA稳定性。全球RNA-蛋白质相互作用研究和序列比较在[具体物种]中鉴定出一种ProQ样同源物(PA2582/ProQ[具体编号])。为了研究ProQ[具体编号]的功能,首先对PAO1和PAO1Δ[具体编号]菌株进行了比较转录组分析。这项研究揭示了100多个差异丰富的转录本,影响多种细胞功能。这些转录本包括编码PprA/PprB双组分系统的[具体基因1]和[具体基因2]、编码[具体基因3]转录激活因子的[具体基因4]以及编码外膜蛋白OprI的[具体基因5]。用链霉亲和素标记的ProQ[具体编号]蛋白进行的RNA共纯化实验证实了ProQ[具体编号]与这些转录本的关联。与PAO1Δ[具体编号]菌株中[具体基因1]、[具体基因2]和[具体基因3]基因的上调一致,表型分析显示生物膜对氨基糖苷类药物妥布霉素和庆大霉素的敏感性增加。相反,在PAO1Δ[具体编号]中观察到的[具体基因4]基因下调与对合成阳离子抗菌肽GW-Q6的敏感性降低一致。综上所述,这些研究表明ProQ[具体编号]是一种影响[具体物种]抗菌抗性的RBP。

https://cdn.ncbi.nlm.nih.gov/pmc/blobs/27d4/11247311/28d4a899c7c8/fmicb-15-1422742-g001.jpg

文献检索

告别复杂PubMed语法,用中文像聊天一样搜索,搜遍4000万医学文献。AI智能推荐,让科研检索更轻松。

立即免费搜索

文件翻译

保留排版,准确专业,支持PDF/Word/PPT等文件格式,支持 12+语言互译。

免费翻译文档

深度研究

AI帮你快速写综述,25分钟生成高质量综述,智能提取关键信息,辅助科研写作。

立即免费体验