Suppr超能文献

肠道微生物群通过调控丁酸介导的肠道屏障功能促进肝窦阻塞综合征中巨噬细胞 M1 极化。

Gut microbiota promotes macrophage M1 polarization in hepatic sinusoidal obstruction syndrome via regulating intestinal barrier function mediated by butyrate.

机构信息

Department of Gastroenterology, Nanjing Drum Tower Hospital, Affiliated Hospital of Medical School, Nanjing University, Nanjing, Jiangsu, China.

Department of Gastroenterology and Hepatology, Jinling Hospital, Affiliated Hospital of Medical School, Nanjing University, Nanjing, Jiangsu, China.

出版信息

Gut Microbes. 2024 Jan-Dec;16(1):2377567. doi: 10.1080/19490976.2024.2377567. Epub 2024 Jul 16.

Abstract

BACKGROUND

The intestinal-liver axis is associated with various liver diseases. Here, we verified the role of the gut microbiota and macrophage activation in the progression of pyrrolizidine alkaloids-induced hepatic sinusoidal obstruction syndrome (PA-HSOS), and explored the possible mechanisms and new treatment options.

METHODS

The HSOS murine model was induced by gavage of monocrotaline (MCT). An analysis of 16S ribosomal DNA (16S rDNA) of the feces was conducted to determine the composition of the fecal microbiota. Macrophage clearance, fecal microbiota transplantation (FMT), and butyrate supplementation experiments were used to assess the role of intestinal flora, gut barrier, and macrophage activation and to explore the relationships among these three variables.

RESULTS

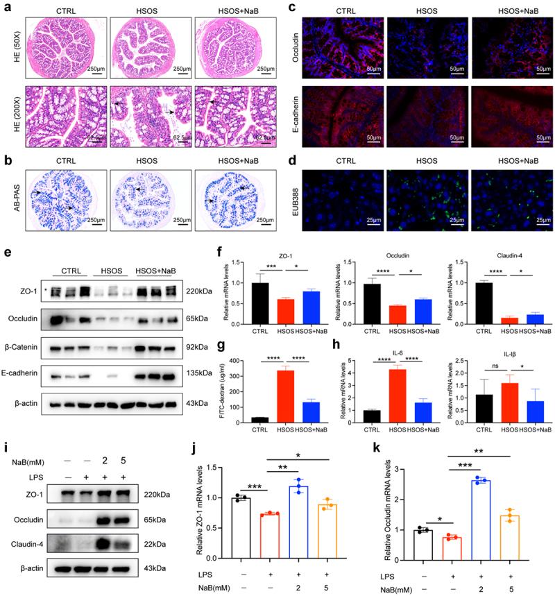
Activated macrophages and low microflora diversity were observed in HSOS patients and murine models. Depletion of macrophages attenuated inflammatory reactions and apoptosis in the mouse liver. Moreover, compared with control-FMT mice, the exacerbation of severe liver injury was detected in HSOS-FMT mice. Specifically, butyrate fecal concentrations were significantly reduced in HSOS mice, and administration of butyrate could partially alleviated liver damage and improved the intestinal barrier in vitro and in vivo. Furthermore, elevated lipopolysaccharides in the portal vein and high proportions of M1 macrophages in the liver were also detected in HSOS-FMT mice and mice without butyrate treatment, which resulted in severe inflammatory responses and further accelerated HSOS progression.

CONCLUSIONS

These results suggested that the gut microbiota exacerbated HSOS progression by regulating macrophage M1 polarization via altered intestinal barrier function mediated by butyrate. Our study has identified new strategies for the clinical treatment of HSOS.

摘要

背景

肠-肝轴与各种肝病有关。在这里,我们验证了肠道微生物群和巨噬细胞激活在吡咯里西啶生物碱诱导的肝窦阻塞综合征(PA-HSOS)进展中的作用,并探讨了可能的机制和新的治疗选择。

方法

通过灌胃给予野百合碱(MCT)诱导 HSOS 小鼠模型。对粪便 16S 核糖体 DNA(16S rDNA)进行分析,以确定粪便微生物群的组成。通过巨噬细胞清除、粪便微生物群移植(FMT)和丁酸盐补充实验,评估肠道菌群、肠道屏障和巨噬细胞激活的作用,并探讨这三个变量之间的关系。

结果

在 HSOS 患者和小鼠模型中观察到活化的巨噬细胞和低微生物多样性。巨噬细胞耗竭可减轻小鼠肝脏的炎症反应和细胞凋亡。此外,与对照-FMT 小鼠相比,HSOS-FMT 小鼠中严重肝损伤加重。具体而言,HSOS 小鼠的粪便丁酸盐浓度显著降低,给予丁酸盐可部分缓解肝损伤,并改善体外和体内的肠道屏障。此外,还在 HSOS-FMT 小鼠和未接受丁酸盐治疗的小鼠中检测到门静脉中升高的脂多糖和肝脏中高比例的 M1 巨噬细胞,导致严重的炎症反应,并进一步加速 HSOS 的进展。

结论

这些结果表明,肠道微生物群通过改变丁酸盐介导的肠道屏障功能,调节巨噬细胞 M1 极化,加剧 HSOS 的进展。我们的研究为 HSOS 的临床治疗确定了新策略。

https://cdn.ncbi.nlm.nih.gov/pmc/blobs/d38d/11253885/8ba0db1f69c7/KGMI_A_2377567_F0001_OC.jpg

文献检索

告别复杂PubMed语法,用中文像聊天一样搜索,搜遍4000万医学文献。AI智能推荐,让科研检索更轻松。

立即免费搜索

文件翻译

保留排版,准确专业,支持PDF/Word/PPT等文件格式,支持 12+语言互译。

免费翻译文档

深度研究

AI帮你快速写综述,25分钟生成高质量综述,智能提取关键信息,辅助科研写作。

立即免费体验