• 文献检索
  • 文档翻译
  • 深度研究
  • 学术资讯
  • Suppr Zotero 插件Zotero 插件
  • 邀请有礼
  • 套餐&价格
  • 历史记录
应用&插件
Suppr Zotero 插件Zotero 插件浏览器插件Mac 客户端Windows 客户端微信小程序
定价
高级版会员购买积分包购买API积分包
服务
文献检索文档翻译深度研究API 文档MCP 服务
关于我们
关于 Suppr公司介绍联系我们用户协议隐私条款
关注我们

Suppr 超能文献

核心技术专利:CN118964589B侵权必究
粤ICP备2023148730 号-1Suppr @ 2026

文献检索

告别复杂PubMed语法,用中文像聊天一样搜索,搜遍4000万医学文献。AI智能推荐,让科研检索更轻松。

立即免费搜索

文件翻译

保留排版,准确专业,支持PDF/Word/PPT等文件格式,支持 12+语言互译。

免费翻译文档

深度研究

AI帮你快速写综述,25分钟生成高质量综述,智能提取关键信息,辅助科研写作。

立即免费体验

肋缘重建治疗滑脱肋综合征:500多例患者的治疗结果及对早期缝合修复技术的改进

Costal margin reconstruction for slipping rib syndrome: Outcomes of more than 500 cases and advancements beyond earlier sutured repair technique.

作者信息

Hansen Adam J, Hayanga Jeremiah, Toker Alper, Badhwar Vinay

机构信息

Department of Thoracic Surgery, West Virginia University Heart and Vascular Institute, Bridgeport, WVa.

出版信息

JTCVS Open. 2024 Apr 28;19:347-354. doi: 10.1016/j.xjon.2024.03.007. eCollection 2024 Jun.

DOI:10.1016/j.xjon.2024.03.007
PMID:39015462
原文链接:https://pmc.ncbi.nlm.nih.gov/articles/PMC11247216/
Abstract

OBJECTIVES

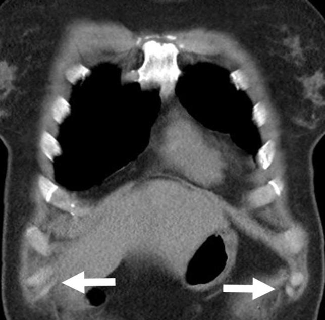
To evaluate results of sutured repair for slipping rib syndrome (SRS), identify failure points, and discuss technique modifications to improve outcomes through costal margin reconstruction (CMR).

METHODS

Patients undergoing repair of SRS between February 2019 and February 2024 at an academic referral institution were retrospectively analyzed. Pain scores, quality of life, pain medication use, and reoperations were evaluated pre- and postoperatively at 1 and 6 months. In patients failing sutured repair we identified specific failure points and devised a new CMR technique to overcome them. Subsequent CMR patients were followed at 1, 6, 12, 18, and 24 months using the same outcome measures.

RESULTS

Four hundred forty-nine patients underwent repair. Two hundred forty-one patients underwent sutured repair with revision required in 66. Median time to revision was 14 months. CMR was developed and performed in 247 patients. In CMR patients, preoperative mean pain score of 7.5 out of 10 dropped postoperatively to 4.0, 2.5, 1.9, 1.3, and 0.9 at 1, 6, 12, 18, and 24 months, respectively ( < .001). Mean quality of life of 38% improved to 73%, 83%, 88%, 93%, and 95% at the same intervals ( < .001). Preoperatively, 29% of patients chronically used opioid medications. Opioid use dropped postoperatively to 11%, 4%, 4%, 0%, and 0% at the same intervals. Use of nonopioid medications followed a similar pattern. One CMR patient required full revision.

CONCLUSIONS

SRS is a debilitating, but correctable disorder. Improved pain and quality of life, reduction in chronic opioid use, and freedom from revision surgery suggest that CMR should be considered the standard operation for SRS.

摘要

目的

评估缝合修复滑动肋综合征(SRS)的结果,确定失败点,并讨论通过肋缘重建(CMR)改善结果的技术改进。

方法

对2019年2月至2024年2月在一家学术转诊机构接受SRS修复的患者进行回顾性分析。在术前以及术后1个月和6个月评估疼痛评分、生活质量、止痛药物使用情况和再次手术情况。对于缝合修复失败的患者,我们确定了具体的失败点,并设计了一种新的CMR技术来克服这些问题。随后,对接受CMR的患者在1、6、12、18和24个月时使用相同的结局指标进行随访。

结果

449例患者接受了修复。241例患者接受了缝合修复,其中66例需要进行翻修。翻修的中位时间为14个月。247例患者开展并实施了CMR。在接受CMR的患者中,术前平均疼痛评分为10分中的7.5分,术后1、6、12、18和24个月分别降至4.0分、2.5分、1.9分、1.3分和0.9分(P<0.001)。相同时间间隔内,平均生活质量从38%分别提高到73%、83%、88%、93%和95%(P<0.001)。术前,29%的患者长期使用阿片类药物。术后相同时间间隔内,阿片类药物的使用分别降至11%、4%、4%、0%和0%。非阿片类药物的使用也呈现类似模式。1例接受CMR的患者需要进行完全翻修。

结论

SRS是一种使人衰弱但可纠正的疾病。疼痛减轻、生活质量改善、慢性阿片类药物使用减少以及无需再次手术表明,CMR应被视为SRS的标准手术。

https://cdn.ncbi.nlm.nih.gov/pmc/blobs/8941/11247216/b6e1afa7405d/fx2.jpg
https://cdn.ncbi.nlm.nih.gov/pmc/blobs/8941/11247216/8b558efeaedd/ga1.jpg
https://cdn.ncbi.nlm.nih.gov/pmc/blobs/8941/11247216/3f2cea1e2227/fx1.jpg
https://cdn.ncbi.nlm.nih.gov/pmc/blobs/8941/11247216/7b74c7f84257/gr1.jpg
https://cdn.ncbi.nlm.nih.gov/pmc/blobs/8941/11247216/eda29ac8e456/gr2.jpg
https://cdn.ncbi.nlm.nih.gov/pmc/blobs/8941/11247216/2baadd9342a0/gr3.jpg
https://cdn.ncbi.nlm.nih.gov/pmc/blobs/8941/11247216/a0ca622ce275/gr4.jpg
https://cdn.ncbi.nlm.nih.gov/pmc/blobs/8941/11247216/488efd499495/gr5.jpg
https://cdn.ncbi.nlm.nih.gov/pmc/blobs/8941/11247216/fc643a71089b/gr6.jpg
https://cdn.ncbi.nlm.nih.gov/pmc/blobs/8941/11247216/b6e1afa7405d/fx2.jpg
https://cdn.ncbi.nlm.nih.gov/pmc/blobs/8941/11247216/8b558efeaedd/ga1.jpg
https://cdn.ncbi.nlm.nih.gov/pmc/blobs/8941/11247216/3f2cea1e2227/fx1.jpg
https://cdn.ncbi.nlm.nih.gov/pmc/blobs/8941/11247216/7b74c7f84257/gr1.jpg
https://cdn.ncbi.nlm.nih.gov/pmc/blobs/8941/11247216/eda29ac8e456/gr2.jpg
https://cdn.ncbi.nlm.nih.gov/pmc/blobs/8941/11247216/2baadd9342a0/gr3.jpg
https://cdn.ncbi.nlm.nih.gov/pmc/blobs/8941/11247216/a0ca622ce275/gr4.jpg
https://cdn.ncbi.nlm.nih.gov/pmc/blobs/8941/11247216/488efd499495/gr5.jpg
https://cdn.ncbi.nlm.nih.gov/pmc/blobs/8941/11247216/fc643a71089b/gr6.jpg
https://cdn.ncbi.nlm.nih.gov/pmc/blobs/8941/11247216/b6e1afa7405d/fx2.jpg

相似文献

1
Costal margin reconstruction for slipping rib syndrome: Outcomes of more than 500 cases and advancements beyond earlier sutured repair technique.肋缘重建治疗滑脱肋综合征:500多例患者的治疗结果及对早期缝合修复技术的改进
JTCVS Open. 2024 Apr 28;19:347-354. doi: 10.1016/j.xjon.2024.03.007. eCollection 2024 Jun.
2
Healthcare economic burden of unresolved slipping rib syndrome.未解决的滑脱肋综合征的医疗经济负担。
JTCVS Open. 2024 Sep 26;22:485-490. doi: 10.1016/j.xjon.2024.09.022. eCollection 2024 Dec.
3
Minimally Invasive Repair of Adult Slipped Rib Syndrome Without Costal Cartilage Excision.微创修复成人滑动肋综合征,无需切除肋软骨。
Ann Thorac Surg. 2020 Sep;110(3):1030-1035. doi: 10.1016/j.athoracsur.2020.02.081. Epub 2020 Apr 21.
4
One-year Results of Minimally Invasive Sutured Fixation of the Slipped Ribs in the Pediatric Population.微创缝合法治疗小儿肋骨滑移的 1 年疗效。
J Pediatr Surg. 2024 Sep;59(9):1703-1707. doi: 10.1016/j.jpedsurg.2024.02.027. Epub 2024 Feb 29.
5
Radiological insights into costal margin rupture injuries: patterns of associated rib and costal cartilage fractures.肋缘破裂伤的影像学见解:相关肋骨和肋软骨骨折的模式
Eur J Trauma Emerg Surg. 2025 Feb 18;51(1):112. doi: 10.1007/s00068-025-02781-2.
6
Costal cartilage resection for the treatment of slipping rib syndrome (Cyriax syndrome) in adults.肋软骨切除术治疗成人滑动肋骨综合征(西里克斯综合征)
J Thorac Dis. 2020 Jan;12(1):10-16. doi: 10.21037/jtd.2019.07.83.
7
Slipping Rib Syndrome in Children: Natural History and Outcomes Following Costal Cartilage Excision.儿童滑动肋综合征:肋软骨切除术后的自然病史和结局。
J Surg Res. 2022 Dec;280:204-208. doi: 10.1016/j.jss.2022.06.061. Epub 2022 Aug 19.
8
A Review of Slipping Rib Syndrome: Diagnostic and Treatment Updates to a Rare and Challenging Problem.滑动肋骨综合征综述:针对一个罕见且具有挑战性问题的诊断与治疗进展
J Clin Med. 2023 Dec 14;12(24):7671. doi: 10.3390/jcm12247671.
9
The effectiveness of costal cartilage excision in children for slipping rib syndrome.儿童肋软骨切除术治疗滑脱性肋骨综合征的疗效
J Pediatr Surg. 2016 Dec;51(12):2030-2032. doi: 10.1016/j.jpedsurg.2016.09.032. Epub 2016 Sep 17.
10
Vertical rib plating for the treatment of slipping rib syndrome.垂直肋骨板固定治疗滑动肋综合征。
J Pediatr Surg. 2021 Oct;56(10):1852-1856. doi: 10.1016/j.jpedsurg.2020.09.062. Epub 2020 Oct 6.

引用本文的文献

1
Diagnostic, therapeutic, and surgical repair trends in slipping rib syndrome: a survey of surgeons in the United States.滑动肋骨综合征的诊断、治疗及手术修复趋势:一项对美国外科医生的调查
J Thorac Dis. 2025 Jul 31;17(7):4849-4857. doi: 10.21037/jtd-2025-568. Epub 2025 Jul 24.
2
Healthcare economic burden of unresolved slipping rib syndrome.未解决的滑脱肋综合征的医疗经济负担。
JTCVS Open. 2024 Sep 26;22:485-490. doi: 10.1016/j.xjon.2024.09.022. eCollection 2024 Dec.

本文引用的文献

1
Anatomy of the anterior ribs and the composition of the costal margin: A cadaver study.前肋解剖与肋缘构成:尸体研究。
J Trauma Acute Care Surg. 2023 Dec 1;95(6):875-879. doi: 10.1097/TA.0000000000004115. Epub 2023 Aug 30.
2
Redefining the costal margin: A pilot study.重新定义肋缘:一项初步研究。
J Trauma Acute Care Surg. 2022 Dec 1;93(6):762-766. doi: 10.1097/TA.0000000000003792. Epub 2022 Sep 19.
3
Slipping Rib Syndrome in Children: Natural History and Outcomes Following Costal Cartilage Excision.儿童滑动肋综合征:肋软骨切除术后的自然病史和结局。
J Surg Res. 2022 Dec;280:204-208. doi: 10.1016/j.jss.2022.06.061. Epub 2022 Aug 19.
4
Slipping rib syndrome: A clinical and dynamic-sonographic entity. A serial cases report.滑动肋综合征:一种临床和动态超声实体。一系列病例报告。
J Back Musculoskelet Rehabil. 2022;35(2):253-259. doi: 10.3233/BMR-200273.
5
Combined Excision of Costal Cartilage and Rib Plating for Slipped Rib Syndrome.肋软骨联合切除与肋骨钢板固定治疗肋软骨滑动综合征
Ann Thorac Surg. 2022 Mar;113(3):e207-e209. doi: 10.1016/j.athoracsur.2021.05.019. Epub 2021 Jun 1.
6
Slipping rib syndrome.肋骨滑动综合征。
J Med Imaging Radiat Oncol. 2022 Apr;66(3):409-410. doi: 10.1111/1754-9485.13247. Epub 2021 May 30.
7
A Clinical Review of Slipping Rib Syndrome.滑动肋综合征的临床综述。
Curr Sports Med Rep. 2021 Mar 1;20(3):164-168. doi: 10.1249/JSR.0000000000000821.
8
A Comprehensive Review of Slipping Rib Syndrome: Treatment and Management.滑动肋综合征的综合评价:治疗与管理。
Psychopharmacol Bull. 2020 Oct 15;50(4 Suppl 1):189-196.
9
Long-term outcomes and satisfaction rates after costal cartilage resection for slipping rib syndrome.肋骨滑动综合征肋软骨切除术后的长期结果和满意度。
J Pediatr Surg. 2021 Dec;56(12):2258-2262. doi: 10.1016/j.jpedsurg.2021.01.034. Epub 2021 Jan 27.
10
Vertical rib plating for the treatment of slipping rib syndrome.垂直肋骨板固定治疗滑动肋综合征。
J Pediatr Surg. 2021 Oct;56(10):1852-1856. doi: 10.1016/j.jpedsurg.2020.09.062. Epub 2020 Oct 6.