Suppr超能文献

RBM15 通过调控铁死亡影响喉癌细胞顺铂耐药的表观遗传机制。

Epigenetic mechanism of RBM15 in affecting cisplatin resistance in laryngeal carcinoma cells by regulating ferroptosis.

机构信息

Department of Otorhinolaryngology-Head and Neck Surgery, The First Affiliated Hospital of USTC, Division of Life Sciences and Medicine, University of Science and Technology of China, 17 Lujiang Road, Luyang District, Hefei, 230001, Anhui, China.

出版信息

Biol Direct. 2024 Jul 23;19(1):57. doi: 10.1186/s13062-024-00499-6.

Abstract

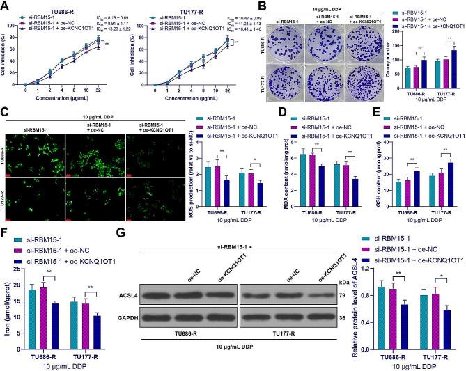
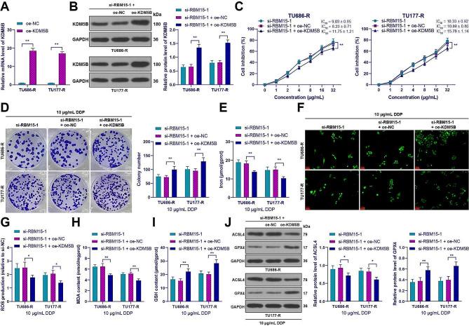
Laryngeal carcinoma (LC) is a common cancer of the respiratory tract. This study aims to investigate the role of RNA-binding motif protein 15 (RBM15) in the cisplatin (DDP) resistance of LC cells. LC-DDP-resistant cells were constructed. RBM15, lysine-specific demethylase 5B (KDM5B), lncRNA Fer-1 like family member 4 (FER1L4), lncRNA KCNQ1 overlapping transcript 1 (KCNQ1OT1), glutathione peroxidase 4 (GPX4), and Acyl-CoA synthetase long-chain family (ACSL4) was examined. Cell viability, IC, and proliferation were assessed after RBM15 downregulation. The enrichment of insulin-like growth factor 2 mRNA-binding protein 3 (IGF2BP3) and N6-methyladenosine (m6A) on KDM5B was analyzed. KDM5B mRNA stability was measured after actinomycin D treatment. A tumor xenograft assay was conducted to verify the role of RBM15 in LC. Results showed that RBM15 was upregulated in LC and its knockdown decreased IC, cell viability, proliferation, glutathione, and upregulated iron ion content, ROS, malondialdehyde, ACSL4, and ferroptosis. Mechanistically, RBM15 improved KDM5B stability in an IGF2BP3-dependent manner, resulting in FER1L4 downregulation and GPX4 upregulation. KDM5B increased KCNQ1OT1 and inhibited ACSL4. KDM5B/KCNQ1OT1 overexpression or FER1L4 knockdown promoted DDP resistance in LC by inhibiting ferroptosis. In conclusion, RBM15 promoted KDM5B expression, and KDM5B upregulation inhibited ferroptosis and promoted DDP resistance in LC by downregulating FER1L4 and upregulating GPX4, as well as by upregulating KCNQ1OT1 and inhibiting ACSL4. Silencing RBM15 inhibited tumor growth in vivo.

摘要

喉癌(LC)是一种常见的呼吸道癌症。本研究旨在探讨 RNA 结合基序蛋白 15(RBM15)在 LC 细胞顺铂(DDP)耐药中的作用。构建 LC-DDP 耐药细胞。检测 RBM15、赖氨酸特异性去甲基酶 5B(KDM5B)、长链非编码 RNA Fer-1 样家族成员 4(FER1L4)、长链非编码 RNA KCNQ1 重叠转录本 1(KCNQ1OT1)、谷胱甘肽过氧化物酶 4(GPX4)和酰基辅酶 A 合成酶长链家族(ACSL4)。下调 RBM15 后评估细胞活力、IC 和增殖。分析胰岛素样生长因子 2 mRNA 结合蛋白 3(IGF2BP3)和 N6-甲基腺苷(m6A)在 KDM5B 上的富集情况。用放线菌素 D 处理后测量 KDM5B mRNA 稳定性。进行肿瘤异种移植实验以验证 RBM15 在 LC 中的作用。结果表明,RBM15 在 LC 中上调,其下调降低了 IC、细胞活力、增殖、谷胱甘肽,上调了铁离子含量、ROS、丙二醛、ACSL4 和铁死亡。机制上,RBM15 以 IGF2BP3 依赖的方式改善 KDM5B 稳定性,导致 FER1L4 下调和 GPX4 上调。KDM5B 增加 KCNQ1OT1 并抑制 ACSL4。KDM5B/KCNQ1OT1 过表达或 FER1L4 下调通过抑制铁死亡促进 LC 对 DDP 的耐药性。总之,RBM15 促进 KDM5B 的表达,KDM5B 的上调通过下调 FER1L4 和上调 GPX4,以及上调 KCNQ1OT1 和抑制 ACSL4,抑制铁死亡并促进 LC 对 DDP 的耐药性。沉默 RBM15 抑制体内肿瘤生长。

https://cdn.ncbi.nlm.nih.gov/pmc/blobs/2944/11264397/af2ba3d466f6/13062_2024_499_Fig1_HTML.jpg

文献AI研究员

20分钟写一篇综述,助力文献阅读效率提升50倍。

立即体验

用中文搜PubMed

大模型驱动的PubMed中文搜索引擎

马上搜索

文档翻译

学术文献翻译模型,支持多种主流文档格式。

立即体验