• 文献检索
  • 文档翻译
  • 深度研究
  • 学术资讯
  • Suppr Zotero 插件Zotero 插件
  • 邀请有礼
  • 套餐&价格
  • 历史记录
应用&插件
Suppr Zotero 插件Zotero 插件浏览器插件Mac 客户端Windows 客户端微信小程序
定价
高级版会员购买积分包购买API积分包
服务
文献检索文档翻译深度研究API 文档MCP 服务
关于我们
关于 Suppr公司介绍联系我们用户协议隐私条款
关注我们

Suppr 超能文献

核心技术专利:CN118964589B侵权必究
粤ICP备2023148730 号-1Suppr @ 2026

文献检索

告别复杂PubMed语法,用中文像聊天一样搜索,搜遍4000万医学文献。AI智能推荐,让科研检索更轻松。

立即免费搜索

文件翻译

保留排版,准确专业,支持PDF/Word/PPT等文件格式,支持 12+语言互译。

免费翻译文档

深度研究

AI帮你快速写综述,25分钟生成高质量综述,智能提取关键信息,辅助科研写作。

立即免费体验

免疫检查点抑制剂相关肌无力、肌炎和心肌病重叠综合征致致命性一例:在尿路上皮癌中的作用。

A Fatal Case of Immune Checkpoint Inhibitor-Mediated Myasthenia Gravis, Myositis, and Cardiomyopathy Overlap Syndrome in Urothelial Carcinoma.

机构信息

Department of Internal Medicine, Kaiser Permanente Los Angeles Medical Center, Los Angeles, California, USA.

Department of Hematology & Oncology, Kaiser Permanente Los Angeles Medical Center, Los Angeles, California, USA.

出版信息

Cancer Rep (Hoboken). 2024 Jul;7(7):e2140. doi: 10.1002/cnr2.2140.

DOI:10.1002/cnr2.2140
PMID:39041627
原文链接:https://pmc.ncbi.nlm.nih.gov/articles/PMC11264068/
Abstract

BACKGROUND

Immune checkpoint inhibitors (ICIs) have led to improved outcomes for many cancer types. However, their use can also precipitate immune-related adverse events (irAEs) that can affect any organ system. While irAEs are often mild, they rarely affect multiple organ systems concurrently and can be fatal.

CASE

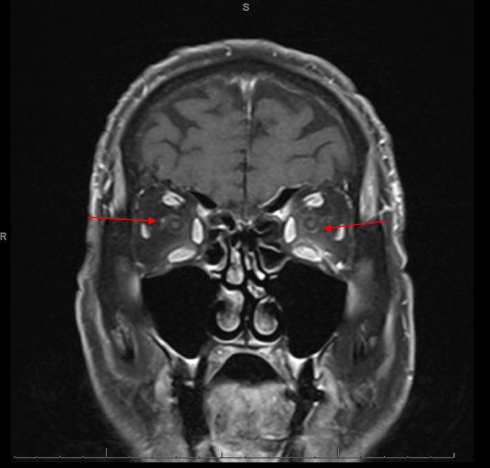
We report a fatal case of myasthenia gravis, myositis, and cardiotoxicity overlap syndrome precipitated by the ICI pembrolizumab along with a brief review of available literature.

CONCLUSION

Early recognition of high grade irAEs and prompt intervention is essential. Despite the poor prognosis of these overlap syndromes, current recommendations offer little guidance for severe cases and warrant a call for increased awareness and expansion of available therapeutics.

摘要

背景

免疫检查点抑制剂(ICIs)已显著改善多种癌症类型的预后。然而,其应用也可诱发免疫相关不良事件(irAEs),影响任何器官系统。irAEs 通常较轻,但很少同时影响多个器官系统,且可能致命。

病例报告

我们报告了一例由 ICI 派姆单抗诱发的重症肌无力、肌炎和心肌毒性重叠综合征致死病例,并对现有文献进行了简要回顾。

结论

早期识别和干预高级别 irAEs 至关重要。尽管这些重叠综合征的预后较差,但现有建议几乎没有为重症病例提供指导,需要提高认识并扩大现有治疗方法。

https://cdn.ncbi.nlm.nih.gov/pmc/blobs/4069/11264068/8c4d6bdcfa5f/CNR2-7-e2140-g002.jpg
https://cdn.ncbi.nlm.nih.gov/pmc/blobs/4069/11264068/a14f330187e6/CNR2-7-e2140-g001.jpg
https://cdn.ncbi.nlm.nih.gov/pmc/blobs/4069/11264068/8c4d6bdcfa5f/CNR2-7-e2140-g002.jpg
https://cdn.ncbi.nlm.nih.gov/pmc/blobs/4069/11264068/a14f330187e6/CNR2-7-e2140-g001.jpg
https://cdn.ncbi.nlm.nih.gov/pmc/blobs/4069/11264068/8c4d6bdcfa5f/CNR2-7-e2140-g002.jpg

相似文献

1
A Fatal Case of Immune Checkpoint Inhibitor-Mediated Myasthenia Gravis, Myositis, and Cardiomyopathy Overlap Syndrome in Urothelial Carcinoma.免疫检查点抑制剂相关肌无力、肌炎和心肌病重叠综合征致致命性一例:在尿路上皮癌中的作用。
Cancer Rep (Hoboken). 2024 Jul;7(7):e2140. doi: 10.1002/cnr2.2140.
2
[Re-Administration of Pembrolizumab for Urothelial Carcinoma after immune-Related Myasthenia Gravis : A Case Report].[帕博利珠单抗在免疫相关性重症肌无力后用于尿路上皮癌的再次给药:一例报告]
Hinyokika Kiyo. 2022 Sep;68(9):295-300. doi: 10.14989/ActaUrolJap_68_9_295.
3
Myositis/Myasthenia after Pembrolizumab in a Bladder Cancer Patient with an Autoimmunity-Associated HLA: Immune-Biological Evaluation and Case Report.帕博利珠单抗治疗后膀胱癌患者出现肌炎/重症肌无力:免疫生物学评估及病例报告
Int J Mol Sci. 2021 Jun 10;22(12):6246. doi: 10.3390/ijms22126246.
4
Spontaneous development of myasthenia gravis and myositis following treatment with pembrolizumab: a case report.帕博利珠单抗治疗后自发性重症肌无力和肌炎的发展:一例报告。
BMC Neurol. 2024 Jun 1;24(1):184. doi: 10.1186/s12883-024-03684-2.
5
Immune checkpoint inhibitor-associated myasthenia gravis, myositis, and myocarditis overlap syndrome.免疫检查点抑制剂相关重症肌无力、肌炎和心肌炎重叠综合征。
Am J Emerg Med. 2021 Aug;46:51-55. doi: 10.1016/j.ajem.2021.03.005. Epub 2021 Mar 8.
6
Diagnosis and Management of Immune Checkpoint Inhibitor-Associated Neurologic Toxicity: Illustrative Case and Review of the Literature.免疫检查点抑制剂相关神经毒性的诊断和治疗:病例举例与文献复习。
Oncologist. 2019 Apr;24(4):435-443. doi: 10.1634/theoncologist.2018-0359. Epub 2018 Nov 27.
7
A Fatal Case of Myocarditis Following Myositis Induced by Pembrolizumab Treatment for Metastatic Upper Urinary Tract Urothelial Carcinoma.帕博利珠单抗治疗转移性上尿路尿路上皮癌诱发肌炎后发生心肌炎致死一例
Int Heart J. 2020 Sep 29;61(5):1070-1074. doi: 10.1536/ihj.20-162. Epub 2020 Sep 12.
8
Liver Cancer with Overlapping Myasthenia Gravis, Myocarditis, Seronegative Autoimmune Autonomic Ganglionopathy, and Myositis Symptoms Induced by Atezolizumab.阿替利珠单抗诱导的伴有重叠性重症肌无力、心肌炎、血清阴性自身免疫性自主神经节神经病和肌炎症状的肝癌。
Intern Med. 2024 Aug 1;63(15):2193-2198. doi: 10.2169/internalmedicine.1801-23. Epub 2024 Jan 2.
9
Managing suspected myasthenia gravis and myositis induced by pembrolizumab in a Jehovah's Witness sarcoma patient.在一名耶和华见证人肉瘤患者中管理疑似由派姆单抗引起的重症肌无力和肌炎。
J Oncol Pharm Pract. 2024 Jul;30(5):950-953. doi: 10.1177/10781552241240734. Epub 2024 Mar 24.
10
[Clinical features of immune checkpoint inhibitor-related myositis in patients with urological cancer].[泌尿系统癌症患者免疫检查点抑制剂相关肌炎的临床特征]
Beijing Da Xue Xue Bao Yi Xue Ban. 2022 Aug 18;54(4):644-651. doi: 10.19723/j.issn.1671-167X.2022.04.010.

本文引用的文献

1
Improved outcomes with early immunosuppression in patients with immune-checkpoint inhibitor induced myasthenia gravis, myocarditis and myositis: a case series.免疫检查点抑制剂诱导的重症肌无力、心肌炎和肌炎患者早期免疫抑制治疗可改善预后:病例系列研究。
Support Care Cancer. 2023 Aug 12;31(9):518. doi: 10.1007/s00520-023-07987-x.
2
Immune checkpoint inhibitor induced myocarditis, myasthenia gravis, and myositis: A single-center case series.免疫检查点抑制剂引起的心肌炎、重症肌无力和肌炎:单中心病例系列。
Cancer Med. 2023 Feb;12(3):2281-2289. doi: 10.1002/cam4.5050. Epub 2022 Sep 21.
3
Life-threatening immune checkpoint inhibitor-induced myocarditis and myasthenia gravis overlap syndrome treated with abatacept: a case report.
致命性免疫检查点抑制剂诱导的心肌炎和重症肌无力重叠综合征采用阿巴西普治疗:病例报告。
BMJ Case Rep. 2021 Nov 2;14(11):e244334. doi: 10.1136/bcr-2021-244334.
4
Neuro-ophthalmic Complications of Immune Checkpoint Inhibitors: A Systematic Review.免疫检查点抑制剂的神经眼科并发症:一项系统综述
Eye Brain. 2020 Nov 3;12:139-167. doi: 10.2147/EB.S277760. eCollection 2020.
5
Immune checkpoint inhibitor related myasthenia gravis: single center experience and systematic review of the literature.免疫检查点抑制剂相关重症肌无力:单中心经验和文献系统评价。
J Immunother Cancer. 2019 Nov 21;7(1):319. doi: 10.1186/s40425-019-0774-y.
6
Abatacept for Severe Immune Checkpoint Inhibitor-Associated Myocarditis.阿巴西普用于治疗严重的免疫检查点抑制剂相关心肌炎
N Engl J Med. 2019 Jun 13;380(24):2377-2379. doi: 10.1056/NEJMc1901677.
7
Cytometric cell-based assays for anti-striational antibodies in myasthenia gravis with myositis and/or myocarditis.免疫荧光细胞染色法检测合并肌炎和/或心肌炎的重症肌无力患者横纹肌抗体
Sci Rep. 2019 Mar 27;9(1):5284. doi: 10.1038/s41598-019-41730-z.
8
Increased reporting of fatal immune checkpoint inhibitor-associated myocarditis.免疫检查点抑制剂相关致死性心肌炎报告增加。
Lancet. 2018 Mar 10;391(10124):933. doi: 10.1016/S0140-6736(18)30533-6.
9
Management of Immune-Related Adverse Events in Patients Treated With Immune Checkpoint Inhibitor Therapy: American Society of Clinical Oncology Clinical Practice Guideline.免疫检查点抑制剂治疗患者免疫相关不良反应的管理:美国临床肿瘤学会临床实践指南。
J Clin Oncol. 2018 Jun 10;36(17):1714-1768. doi: 10.1200/JCO.2017.77.6385. Epub 2018 Feb 14.
10
Current Diagnosis and Management of Immune Related Adverse Events (irAEs) Induced by Immune Checkpoint Inhibitor Therapy.免疫检查点抑制剂治疗诱导的免疫相关不良事件(irAEs)的当前诊断与管理
Front Pharmacol. 2017 Feb 8;8:49. doi: 10.3389/fphar.2017.00049. eCollection 2017.