Suppr超能文献

再探肺硬化性肺泡细胞瘤

Revisiting Pulmonary Sclerosing Pneumocytoma.

作者信息

Manini Claudia, Vezzini Simone, Conte Antonella, Sciacca Giuseppe, Infantino Alessandro, Santos-Pereira Poliana, López José I

机构信息

Department of Pathology, San Giovanni Bosco Hospital, ASL Città di Torino, 10154 Turin, Italy.

Department of Sciences of Public Health and Pediatrics, University of Turin, 10124 Turin, Italy.

出版信息

Clin Pract. 2024 Jul 22;14(4):1440-1450. doi: 10.3390/clinpract14040116.

Abstract

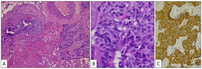
Pulmonary sclerosing pneumocytoma (PSP) is a quite rare tumor outside Eastern countries. This rarity, together with a wide histological appearance, makes its correct identification a diagnostic challenge for pathologists under the microscope. Historically, PSP was considered a vascular-derived neoplasm (sclerosing hemangioma), but its immunohistochemical profile clearly supports its epithelial origin. No specific molecular fingerprint has been detected so far. This short narrative revisits the clinical, histological, immunohistochemical, and molecular aspects of this tumor, paying special attention to some controversial points still not well clarified, i.e., clinical aggressiveness and metastatic spread, multifocality, the supposed development of sarcomatoid change in a subset of cases, and tumor associations with lung adenocarcinoma and/or well-differentiated neuroendocrine hyperplasia/tumors. The specific diagnostic difficulties on fine-needle aspiration cytology/biopsy and perioperative frozen sections are also highlighted. Finally, a teaching case of tumor concurrence of lung adenocarcinoma, neuroendocrine lesions, and PSP, paradigmatic of tumor association in this context, is also presented.

摘要

肺硬化性细胞瘤(PSP)在东方国家以外是一种相当罕见的肿瘤。这种罕见性,再加上其广泛的组织学表现,使得在显微镜下对其进行正确识别对病理学家来说是一项诊断挑战。从历史上看,PSP被认为是一种血管源性肿瘤(硬化性血管瘤),但其免疫组化特征明确支持其上皮起源。到目前为止,尚未检测到特定的分子特征。这篇简短的叙述回顾了该肿瘤的临床、组织学、免疫组化和分子方面,特别关注一些仍未得到充分阐明的争议点,即临床侵袭性和转移扩散、多灶性、一部分病例中所谓的肉瘤样改变的发生,以及肿瘤与肺腺癌和/或高分化神经内分泌增生/肿瘤的关联。还强调了细针穿刺细胞学/活检和围手术期冰冻切片的特定诊断困难。最后,还展示了一个肺腺癌、神经内分泌病变和PSP肿瘤同时存在的教学病例,这是这种情况下肿瘤关联的典型例子。

https://cdn.ncbi.nlm.nih.gov/pmc/blobs/28f3/11270357/55f0fb51ed89/clinpract-14-00116-g001.jpg

文献检索

告别复杂PubMed语法,用中文像聊天一样搜索,搜遍4000万医学文献。AI智能推荐,让科研检索更轻松。

立即免费搜索

文件翻译

保留排版,准确专业,支持PDF/Word/PPT等文件格式,支持 12+语言互译。

免费翻译文档

深度研究

AI帮你快速写综述,25分钟生成高质量综述,智能提取关键信息,辅助科研写作。

立即免费体验