• 文献检索
  • 文档翻译
  • 深度研究
  • 学术资讯
  • Suppr Zotero 插件Zotero 插件
  • 邀请有礼
  • 套餐&价格
  • 历史记录
应用&插件
Suppr Zotero 插件Zotero 插件浏览器插件Mac 客户端Windows 客户端微信小程序
定价
高级版会员购买积分包购买API积分包
服务
文献检索文档翻译深度研究API 文档MCP 服务
关于我们
关于 Suppr公司介绍联系我们用户协议隐私条款
关注我们

Suppr 超能文献

核心技术专利:CN118964589B侵权必究
粤ICP备2023148730 号-1Suppr @ 2026

文献检索

告别复杂PubMed语法,用中文像聊天一样搜索,搜遍4000万医学文献。AI智能推荐,让科研检索更轻松。

立即免费搜索

文件翻译

保留排版,准确专业,支持PDF/Word/PPT等文件格式,支持 12+语言互译。

免费翻译文档

深度研究

AI帮你快速写综述,25分钟生成高质量综述,智能提取关键信息,辅助科研写作。

立即免费体验

电阻抗断层成像、人工智能与可变通气:变革重症监护中的呼吸监测与治疗

Electrical Impedance Tomography, Artificial Intelligence, and Variable Ventilation: Transforming Respiratory Monitoring and Treatment in Critical Care.

作者信息

Cappellini Iacopo, Campagnola Lorenzo, Consales Guglielmo

机构信息

Department of Critical Care, Section of Anesthesiology and Critical Care, Azienda USL Toscana Centro, Ospedale Santo Stefano, 59100 Prato, Italy.

出版信息

J Pers Med. 2024 Jun 24;14(7):677. doi: 10.3390/jpm14070677.

DOI:10.3390/jpm14070677
PMID:39063931
原文链接:https://pmc.ncbi.nlm.nih.gov/articles/PMC11277617/
Abstract

BACKGROUND

Electrical Impedance Tomography (EIT), combined with variable ventilation strategies and Artificial Intelligence (AI), is poised to revolutionize critical care by transitioning from reactive to predictive approaches. This integration aims to enhance patient outcomes through personalized interventions and real-time monitoring.

METHODS

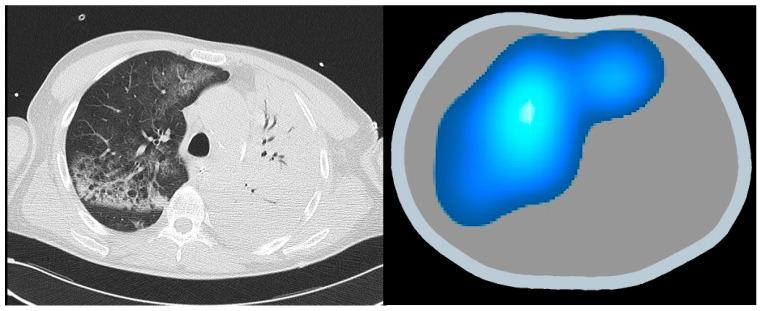
this narrative review explores the principles and applications of EIT, variable ventilation, and AI in critical care. EIT impedance sensing creates dynamic images of internal physiology, aiding the management of conditions like Acute Respiratory Distress Syndrome (ARDS). Variable ventilation mimics natural breathing variability to improve lung function and minimize ventilator-induced lung injury. AI enhances EIT through advanced image reconstruction techniques, neural networks, and digital twin technology, offering more accurate diagnostics and tailored therapeutic interventions.

CONCLUSIONS

the confluence of EIT, variable ventilation, and AI represents a significant advancement in critical care, enabling a predictive, personalized approach. EIT provides real-time insights into lung function, guiding precise ventilation adjustments and therapeutic interventions. AI integration enhances EIT diagnostic capabilities, facilitating the development of personalized treatment plans. This synergy fosters interdisciplinary collaborations and sets the stage for innovative research, ultimately improving patient outcomes and advancing the future of critical care.

摘要

背景

电阻抗断层成像(EIT)与可变通气策略及人工智能(AI)相结合,有望通过从反应性方法向预测性方法的转变,彻底改变重症监护领域。这种整合旨在通过个性化干预和实时监测来改善患者预后。

方法

本叙述性综述探讨了EIT、可变通气和AI在重症监护中的原理及应用。EIT阻抗传感可创建内部生理状况的动态图像,有助于管理急性呼吸窘迫综合征(ARDS)等病症。可变通气模拟自然呼吸变化以改善肺功能并将呼吸机诱发的肺损伤降至最低。AI通过先进的图像重建技术、神经网络和数字孪生技术增强EIT,提供更准确的诊断和量身定制的治疗干预措施。

结论

EIT、可变通气和AI的融合代表了重症监护领域的重大进展,实现了预测性、个性化的方法。EIT可实时洞察肺功能,指导精确的通气调整和治疗干预。AI整合增强了EIT的诊断能力,有助于制定个性化治疗方案。这种协同作用促进了跨学科合作,为创新研究奠定了基础,最终改善患者预后并推动重症监护的未来发展。

https://cdn.ncbi.nlm.nih.gov/pmc/blobs/93f5/11277617/b176600343db/jpm-14-00677-g006.jpg
https://cdn.ncbi.nlm.nih.gov/pmc/blobs/93f5/11277617/a9325933a2ec/jpm-14-00677-g001.jpg
https://cdn.ncbi.nlm.nih.gov/pmc/blobs/93f5/11277617/f8a34862dcc7/jpm-14-00677-g002.jpg
https://cdn.ncbi.nlm.nih.gov/pmc/blobs/93f5/11277617/1cec671e0a8d/jpm-14-00677-g003.jpg
https://cdn.ncbi.nlm.nih.gov/pmc/blobs/93f5/11277617/4bd9557dff7d/jpm-14-00677-g004.jpg
https://cdn.ncbi.nlm.nih.gov/pmc/blobs/93f5/11277617/b481dd0559f3/jpm-14-00677-g005.jpg
https://cdn.ncbi.nlm.nih.gov/pmc/blobs/93f5/11277617/b176600343db/jpm-14-00677-g006.jpg
https://cdn.ncbi.nlm.nih.gov/pmc/blobs/93f5/11277617/a9325933a2ec/jpm-14-00677-g001.jpg
https://cdn.ncbi.nlm.nih.gov/pmc/blobs/93f5/11277617/f8a34862dcc7/jpm-14-00677-g002.jpg
https://cdn.ncbi.nlm.nih.gov/pmc/blobs/93f5/11277617/1cec671e0a8d/jpm-14-00677-g003.jpg
https://cdn.ncbi.nlm.nih.gov/pmc/blobs/93f5/11277617/4bd9557dff7d/jpm-14-00677-g004.jpg
https://cdn.ncbi.nlm.nih.gov/pmc/blobs/93f5/11277617/b481dd0559f3/jpm-14-00677-g005.jpg
https://cdn.ncbi.nlm.nih.gov/pmc/blobs/93f5/11277617/b176600343db/jpm-14-00677-g006.jpg

相似文献

1
Electrical Impedance Tomography, Artificial Intelligence, and Variable Ventilation: Transforming Respiratory Monitoring and Treatment in Critical Care.电阻抗断层成像、人工智能与可变通气:变革重症监护中的呼吸监测与治疗
J Pers Med. 2024 Jun 24;14(7):677. doi: 10.3390/jpm14070677.
2
Clinical Applicability of Electrical Impedance Tomography in Patient-Tailored Ventilation: A Narrative Review.电阻抗断层成像在个体化通气中的临床应用:叙述性综述。
Tomography. 2023 Oct 18;9(5):1903-1932. doi: 10.3390/tomography9050150.
3
Electrical impedance tomography: A compass for the safe route to optimal PEEP.电阻抗断层成像术:通往最佳呼气末正压安全路径的指南针。
Respir Med. 2021 Oct;187:106555. doi: 10.1016/j.rmed.2021.106555. Epub 2021 Jul 30.
4
Absolute values of regional ventilation-perfusion mismatch in patients with ARDS monitored by electrical impedance tomography and the role of dead space and shunt compensation.通过电阻抗断层成像监测的 ARDS 患者区域性通气-灌注不匹配的绝对值以及死腔和分流补偿的作用。
Crit Care. 2024 Jul 15;28(1):241. doi: 10.1186/s13054-024-05033-8.
5
Electrical impedance tomography-guided positive end-expiratory pressure titration in ARDS: a systematic review and meta-analysis.电 阻 抗 断 层 成 像 引 导 的 重 症 哮 息 综 合 征 患 者 呼 吸 末 正 压 调 节:系 统 评 价 和 集 合 分 析。
Intensive Care Med. 2024 May;50(5):617-631. doi: 10.1007/s00134-024-07362-2. Epub 2024 Mar 21.
6
Clinical implication of monitoring regional ventilation using electrical impedance tomography.使用电阻抗断层成像监测局部通气的临床意义。
J Intensive Care. 2019 Jan 18;7:4. doi: 10.1186/s40560-019-0358-4. eCollection 2019.
7
Coupling of EIT with computational lung modeling for predicting patient-specific ventilatory responses.电阻抗断层成像(EIT)与计算肺模型的耦合用于预测患者特异性通气反应。
J Appl Physiol (1985). 2017 Apr 1;122(4):855-867. doi: 10.1152/japplphysiol.00236.2016. Epub 2016 Dec 8.
8
Expert opinion document: "Electrical impedance tomography: applications from the intensive care unit and beyond".专家意见文件:“电阻抗断层成像:重症监护病房及其他领域的应用”
J Anesth Analg Crit Care. 2022 Jun 21;2(1):28. doi: 10.1186/s44158-022-00055-6.
9
Prolonged Continuous Monitoring of Regional Lung Function in Infants with Respiratory Failure.在呼吸衰竭婴儿中进行区域性肺功能的长时间连续监测。
Ann Am Thorac Soc. 2022 Jun;19(6):991-999. doi: 10.1513/AnnalsATS.202005-562OC.
10
Optimizing PEEP by Electrical Impedance Tomography in a Porcine Animal Model of ARDS.在急性呼吸窘迫综合征猪动物模型中通过电阻抗断层成像优化呼气末正压
Respir Care. 2017 Mar;62(3):340-349. doi: 10.4187/respcare.05060. Epub 2016 Dec 20.

引用本文的文献

1
Digital Twin Models in Atrial Fibrillation: Charting the Future of Precision Therapy?心房颤动中的数字孪生模型:描绘精准治疗的未来?
J Pers Med. 2025 Jun 16;15(6):256. doi: 10.3390/jpm15060256.
2
Electrical impedance tomography in neonates: a review.新生儿电阻抗断层成像:综述
Pediatr Res. 2025 Feb 22. doi: 10.1038/s41390-025-03929-x.

本文引用的文献

1
Electrical impedance tomography-guided positive end-expiratory pressure titration in ARDS: a systematic review and meta-analysis.电 阻 抗 断 层 成 像 引 导 的 重 症 哮 息 综 合 征 患 者 呼 吸 末 正 压 调 节:系 统 评 价 和 集 合 分 析。
Intensive Care Med. 2024 May;50(5):617-631. doi: 10.1007/s00134-024-07362-2. Epub 2024 Mar 21.
2
Comparison of lung aeration loss in open abdominal oncologic surgeries after ventilation with electrical impedance tomography-guided PEEP versus conventional PEEP: a pilot feasibility study.经电 阻抗断层成像指导的 PEEP 与常规 PEEP 通气后开腹 肿瘤 手术中肺充气损失的比较:一项初步可行性研究。
Korean J Anesthesiol. 2024 Jun;77(3):353-363. doi: 10.4097/kja.23858. Epub 2024 Mar 5.
3
High vs Low PEEP in Patients With ARDS Exhibiting Intense Inspiratory Effort During Assisted Ventilation: A Randomized Crossover Trial.
高 vs 低呼气末正压通气在辅助通气时出现强烈吸气努力的急性呼吸窘迫综合征患者中的应用:一项随机交叉试验。
Chest. 2024 Jun;165(6):1392-1405. doi: 10.1016/j.chest.2024.01.040. Epub 2024 Jan 29.
4
Machine learning-directed electrical impedance tomography to predict metabolically vulnerable plaques.机器学习导向的电阻抗断层成像技术用于预测代谢易损斑块。
Bioeng Transl Med. 2023 Oct 20;9(1):e10616. doi: 10.1002/btm2.10616. eCollection 2024 Jan.
5
A generative adversarial network model alternative to animal studies for clinical pathology assessment.一种替代动物研究的生成对抗网络模型,用于临床病理学评估。
Nat Commun. 2023 Nov 6;14(1):7141. doi: 10.1038/s41467-023-42933-9.
6
Individualised positive end-expiratory pressure titrated intra-operatively by electrical impedance tomography optimises pulmonary mechanics and reduces postoperative atelectasis: A randomised controlled trial.术中采用电阻抗断层成像技术个体化滴定呼气末正压优化肺力学并减少术后肺不张:一项随机对照试验。
Eur J Anaesthesiol. 2023 Nov 1;40(11):805-816. doi: 10.1097/EJA.0000000000001901. Epub 2023 Sep 13.
7
Optimal machine learning methods for prediction of high-flow nasal cannula outcomes using image features from electrical impedance tomography.使用电阻抗断层成像的图像特征预测高流量鼻导管治疗结局的最优机器学习方法。
Comput Methods Programs Biomed. 2023 Aug;238:107613. doi: 10.1016/j.cmpb.2023.107613. Epub 2023 May 16.
8
DeepEIT: Deep Image Prior Enabled Electrical Impedance Tomography.DeepEIT:基于深度图像先验的电阻抗断层成像。
IEEE Trans Pattern Anal Mach Intell. 2023 Aug;45(8):9627-9638. doi: 10.1109/TPAMI.2023.3240565. Epub 2023 Jun 30.
9
Electric impedance tomography-guided PEEP titration reduces mechanical power in ARDS: a randomized crossover pilot trial.电阻抗断层成像指导的 PEEP 滴定降低 ARDS 中的机械功率:一项随机交叉先导试验。
Crit Care. 2023 Jan 17;27(1):21. doi: 10.1186/s13054-023-04315-x.
10
Advances of deep learning in electrical impedance tomography image reconstruction.深度学习在电阻抗断层成像图像重建中的进展
Front Bioeng Biotechnol. 2022 Dec 14;10:1019531. doi: 10.3389/fbioe.2022.1019531. eCollection 2022.