Suppr超能文献

采用限制回波间距 MRI 实现类似于 CT 的快速场回波对膝关节和踝关节的骨损伤成像:一项可行性研究。

Bone injury imaging in knee and ankle joints using fast-field-echo resembling a CT using restricted echo-spacing MRI: a feasibility study.

机构信息

Department of Radiology, the First Affiliated Hospital of Dalian Medical University, Dalian, China.

Clinical and Technical Support, Philips Healthcare, Beijing, China.

出版信息

Front Endocrinol (Lausanne). 2024 Jul 11;15:1421876. doi: 10.3389/fendo.2024.1421876. eCollection 2024.

Abstract

PURPOSE

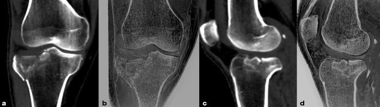
To explore the consistency of FRACTURE (Fast-field-echo Resembling A CT Using Restricted Echo-spacing) MRI and X-Ray/computerized tomography (CT) in the evaluation of bone injuries in knee and ankle joints.

METHODS

From Nov. 2020 to Jul. 2023, 42 patients with knee joint or ankle joint injuries who underwent FRACTURE MRI examinations were retrospectively collected. 11 patients were examined by both X-Ray and FRACTURE examinations. 31 patients were examined by both CT and FRACTURE examinations. The fracture, osteophyte, and bone destruction of the joints were evaluated by two radiologists using X-Ray/CT and FRACTURE images, respectively. Kappa test was used for consistency analysis.

RESULTS

The evaluation consistency of fracture, osteophyte and bone destruction via X-Ray and FRACTURE images by radiologist 1 were 0.879, 0.867 and 0.847 respectively, and for radiologist 2 were 0.899, 0.930, and 0.879, respectively. The evaluation consistency of fracture, osteophyte and bone destruction via CT and FRACTURE images by radiologist 1 were 0.938, 0.937 and 0.868 respectively, and for radiologist 2 were 0.961, 0.930, and 0.818, respectively.

CONCLUSION

For fracture, osteophyte, and bone destruction of knee and ankle joints. FRACTURE MRI showed a high consistency with X-Ray/CT examinations.

摘要

目的

探讨 FRACTURE(Fast-field-echo Resembling A CT Using Restricted Echo-spacing)MRI 在膝关节和踝关节骨损伤评估中的一致性与 X 射线/计算机断层扫描(CT)。

方法

回顾性收集 2020 年 11 月至 2023 年 7 月期间 42 例膝关节或踝关节损伤患者的 FRACTURE MRI 检查资料。其中 11 例患者同时接受 X 射线和 FRACTURE 检查,31 例患者同时接受 CT 和 FRACTURE 检查。两位放射科医生分别使用 X 射线/CT 和 FRACTURE 图像评估关节的骨折、骨赘和骨破坏情况。采用 Kappa 检验进行一致性分析。

结果

放射科医生 1 评估 FRACTURE 与 X 射线图像的骨折、骨赘和骨破坏的一致性分别为 0.879、0.867 和 0.847,放射科医生 2 的一致性分别为 0.899、0.930 和 0.879。放射科医生 1 评估 FRACTURE 与 CT 图像的骨折、骨赘和骨破坏的一致性分别为 0.938、0.937 和 0.868,放射科医生 2 的一致性分别为 0.961、0.930 和 0.818。

结论

对于膝关节和踝关节的骨折、骨赘和骨破坏,FRACTURE MRI 与 X 射线/CT 检查具有高度一致性。

https://cdn.ncbi.nlm.nih.gov/pmc/blobs/0d41/11273369/4681e3cde3e3/fendo-15-1421876-g001.jpg

文献检索

告别复杂PubMed语法,用中文像聊天一样搜索,搜遍4000万医学文献。AI智能推荐,让科研检索更轻松。

立即免费搜索

文件翻译

保留排版,准确专业,支持PDF/Word/PPT等文件格式,支持 12+语言互译。

免费翻译文档

深度研究

AI帮你快速写综述,25分钟生成高质量综述,智能提取关键信息,辅助科研写作。

立即免费体验