Suppr超能文献

腹腔镜袖状胃切除术联合食管裂孔疝修补术后发生腹壁前侧坏死性筋膜炎:一例报告

Anterior Abdominal Wall Necrotizing Fasciitis Following Laparoscopic Sleeve Gastrectomy With Hiatal Hernia Repair: A Case Report.

作者信息

Fozo Hope, Thirunavukarasu Arani, Ogundolie Taiwo, Tiesenga Frederick

机构信息

Surgery, Suburban Surgery Center, Chicago, USA.

Clinical Sciences, St. George's University School of Medicine, St. George, GRD.

出版信息

Cureus. 2024 Jun 29;16(6):e63470. doi: 10.7759/cureus.63470. eCollection 2024 Jun.

Abstract

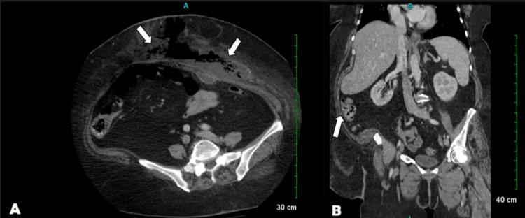
Necrotizing fasciitis (NF), commonly known as necrotizing soft tissue infection (NSTI), or flesh-eating disease is a rare but rapidly fatal aggressive bacterial infection of soft tissue and deep skin that results in the destruction of the underlying fascia. Symptoms include fever, tachycardia, hypotension, leukocytosis, pain, and large areas of red and swollen skin. Early diagnosis and aggressive management are compulsory for a better prognosis. In this case report, we present a 58-year-old obese woman who initially presented to the emergency department three weeks post-sleeve gastrectomy with hernia repair and was initially suspected of having a large, uncomplicated abdominal wall abscess. Several repeated drainages of the abdominal wall abscess and continued deterioration of the patient revealed foul-smelling, necrotic tissue and the subsequent diagnosis of NF. This case report highlights the importance of high clinical suspicion for NF and early, aggressive debridement and treatment to improve patient outcomes.

摘要

坏死性筋膜炎(NF),通常被称为坏死性软组织感染(NSTI)或噬肉病,是一种罕见但进展迅速、可致命的侵袭性软组织和深部皮肤细菌感染,会导致深层筋膜破坏。症状包括发热、心动过速、低血压、白细胞增多、疼痛以及大面积皮肤红肿。早期诊断和积极治疗对于改善预后至关重要。在本病例报告中,我们介绍了一名58岁的肥胖女性,她在袖状胃切除术后三周进行疝修补时最初就诊于急诊科,最初被怀疑患有一个较大的、无并发症的腹壁脓肿。对腹壁脓肿进行多次反复引流以及患者病情持续恶化后,发现有恶臭的坏死组织,随后诊断为坏死性筋膜炎。本病例报告强调了对坏死性筋膜炎保持高度临床怀疑以及早期积极清创和治疗以改善患者预后的重要性。

https://cdn.ncbi.nlm.nih.gov/pmc/blobs/a169/11285656/c5c41cb07003/cureus-0016-00000063470-i01.jpg

文献检索

告别复杂PubMed语法,用中文像聊天一样搜索,搜遍4000万医学文献。AI智能推荐,让科研检索更轻松。

立即免费搜索

文件翻译

保留排版,准确专业,支持PDF/Word/PPT等文件格式,支持 12+语言互译。

免费翻译文档

深度研究

AI帮你快速写综述,25分钟生成高质量综述,智能提取关键信息,辅助科研写作。

立即免费体验