• 文献检索
  • 文档翻译
  • 深度研究
  • 学术资讯
  • Suppr Zotero 插件Zotero 插件
  • 邀请有礼
  • 套餐&价格
  • 历史记录
应用&插件
Suppr Zotero 插件Zotero 插件浏览器插件Mac 客户端Windows 客户端微信小程序
定价
高级版会员购买积分包购买API积分包
服务
文献检索文档翻译深度研究API 文档MCP 服务
关于我们
关于 Suppr公司介绍联系我们用户协议隐私条款
关注我们

Suppr 超能文献

核心技术专利:CN118964589B侵权必究
粤ICP备2023148730 号-1Suppr @ 2026

文献检索

告别复杂PubMed语法,用中文像聊天一样搜索,搜遍4000万医学文献。AI智能推荐,让科研检索更轻松。

立即免费搜索

文件翻译

保留排版,准确专业,支持PDF/Word/PPT等文件格式,支持 12+语言互译。

免费翻译文档

深度研究

AI帮你快速写综述,25分钟生成高质量综述,智能提取关键信息,辅助科研写作。

立即免费体验

一例特发性肺纤维化患者非胸部创伤后急性呼吸窘迫综合征病例

A Case of Acute Respiratory Distress Syndrome Following Non-thoracic Trauma in a Patient With Idiopathic Pulmonary Fibrosis.

作者信息

Hirooka Yukinori, Ota Soichiro, Torizawa Noriko, Maekawa Chihiro, Yanagawa Youichi

机构信息

Acute Critical Care Medicine, Shizuoka Hospital, Juntendo University, Izunokuni, JPN.

出版信息

Cureus. 2024 Jun 29;16(6):e63467. doi: 10.7759/cureus.63467. eCollection 2024 Jun.

DOI:10.7759/cureus.63467
PMID:39077261
原文链接:https://pmc.ncbi.nlm.nih.gov/articles/PMC11285813/
Abstract

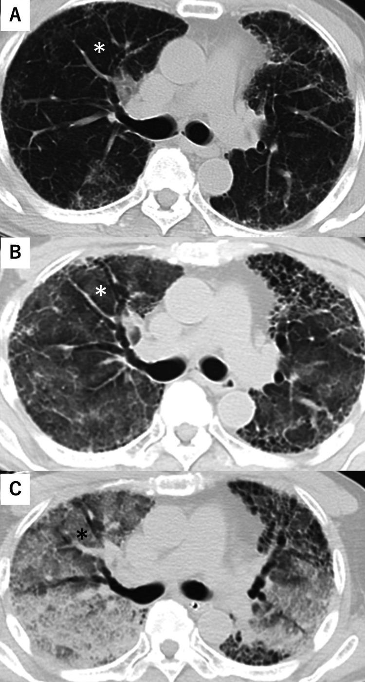
A 72-year-old man with idiopathic pulmonary fibrosis (IPF) was on home oxygen therapy at 1 L/min. He fell approximately 3 m onto a concrete surface while painting the roof of his home and was emergently transported to a local hospital due to pain in his lower back and right lower limb. His initial Krebs von den Lungen level decreased with medical treatments but has shown an increasing trend over the past three respiratory outpatient visits. His other medical conditions, including dyslipidemia, lumbar pain, and allergic rhinitis, were treated with several drugs prescribed by a nearby clinic. At the previous hospital, an increased oxygen demand of around 5 L via mask was noted, although other vital signs were stable. A plain whole-body computed tomography (CT) scan revealed pulmonary edema, a fracture of the right femoral neck, and a fracture of the third lumbar vertebral body. During transfer to our hospital for surgery, crossing the Amagi Pass at an elevation of approximately 830 m, the patient's respiratory condition rapidly deteriorated. Upon arrival, the cardiac wall movement was hyperdynamic, and PaO was 29 mmHg under supplemental oxygen at 15 L/min, necessitating oral endotracheal intubation and initiation of mechanical ventilation. A chest CT scan showed worsening diffuse ground-glass opacities in both lungs compared to the previous CT scan at the referring hospital. Despite positive pressure ventilation with the mechanical ventilator, the patient's condition did not improve, and he died in the emergency room. Acute respiratory distress syndrome (ARDS) can occur following severe trauma but the onset of ARDS due to moderate trauma is extremely rare. Considering the possibility of an acute exacerbation of IPF prior to the injury, this report discusses the possibility of developing ARDS due to trauma-induced cytokines and lung damage from damage-associated molecular patterns, the possibility of inhaling dust while working on the roof, pneumonia caused by prescribed medication, viral infections, exposure to pollen and/or high altitude while passing through the mountain pass, and hypoxemia-inducing pulmonary edema.

摘要

一名72岁的特发性肺纤维化(IPF)男性患者正在家中接受1升/分钟的氧气治疗。他在家中粉刷屋顶时从约3米高处跌落到水泥地面,因下背部和右下肢疼痛被紧急送往当地医院。他最初的克雷布斯·冯·登·伦根水平经药物治疗后有所下降,但在过去三次呼吸门诊就诊时呈上升趋势。他的其他疾病,包括血脂异常、腰痛和过敏性鼻炎,由附近诊所开的几种药物进行治疗。在前一家医院,虽然其他生命体征稳定,但通过面罩吸氧需求增加至约5升。全身普通计算机断层扫描(CT)显示肺水肿、右股骨颈骨折和第三腰椎椎体骨折。在转往我院进行手术途中,经过海拔约830米的天城山口时,患者的呼吸状况迅速恶化。到达时,心脏壁运动亢进,在15升/分钟的补充氧气下,动脉血氧分压(PaO)为29毫米汞柱,需要进行气管插管并开始机械通气。胸部CT扫描显示,与转诊医院之前的CT扫描相比,双肺弥漫性磨玻璃影加重。尽管使用机械通气进行正压通气,但患者病情并未改善,最终在急诊室死亡。急性呼吸窘迫综合征(ARDS)可发生在严重创伤后,但中度创伤导致ARDS的情况极为罕见。考虑到受伤前IPF急性加重的可能性,本报告讨论了因创伤诱导的细胞因子和损伤相关分子模式导致的肺损伤而发生ARDS的可能性、在屋顶工作时吸入灰尘的可能性、处方药引起的肺炎、病毒感染、在通过山口时接触花粉和/或高海拔以及低氧血症诱导的肺水肿。

https://cdn.ncbi.nlm.nih.gov/pmc/blobs/dd79/11285813/cc56cbcafa03/cureus-0016-00000063467-i01.jpg
https://cdn.ncbi.nlm.nih.gov/pmc/blobs/dd79/11285813/cc56cbcafa03/cureus-0016-00000063467-i01.jpg
https://cdn.ncbi.nlm.nih.gov/pmc/blobs/dd79/11285813/cc56cbcafa03/cureus-0016-00000063467-i01.jpg

相似文献

1
A Case of Acute Respiratory Distress Syndrome Following Non-thoracic Trauma in a Patient With Idiopathic Pulmonary Fibrosis.一例特发性肺纤维化患者非胸部创伤后急性呼吸窘迫综合征病例
Cureus. 2024 Jun 29;16(6):e63467. doi: 10.7759/cureus.63467. eCollection 2024 Jun.
2
[Standard technical specifications for methacholine chloride (Methacholine) bronchial challenge test (2023)].[氯化乙酰甲胆碱支气管激发试验标准技术规范(2023年)]
Zhonghua Jie He He Hu Xi Za Zhi. 2024 Feb 12;47(2):101-119. doi: 10.3760/cma.j.cn112147-20231019-00247.
3
Extracorporeal lung support technologies - bridge to recovery and bridge to lung transplantation in adult patients: an evidence-based analysis.体外肺支持技术——成人患者的康复桥梁和肺移植桥梁:一项基于证据的分析
Ont Health Technol Assess Ser. 2010;10(5):1-47. Epub 2010 Apr 1.
4
Treatment with nintedanib for acute exacerbation of idiopathic pulmonary fibrosis.尼达尼布治疗特发性肺纤维化急性加重期。
Respirol Case Rep. 2017 Jan 12;5(2):e00215. doi: 10.1002/rcr2.215. eCollection 2017 Mar.
5
A case of delayed exacerbation of interstitial lung disease after discontinuation of temsirolimus.1例西罗莫司停药后间质性肺疾病延迟加重的病例。
Respir Med Case Rep. 2017 Aug 11;22:158-163. doi: 10.1016/j.rmcr.2017.08.008. eCollection 2017.
6
[Treatment of patients with different degree of acute respiratory distress syndrome caused by inhalation of white smoke].[白烟雾吸入致不同程度急性呼吸窘迫综合征患者的治疗]
Zhonghua Shao Shang Za Zhi. 2017 Dec 20;33(12):760-765. doi: 10.3760/cma.j.issn.1009-2587.2017.12.008.
7
Prognostic evaluation by oxygenation with positive end-expiratory pressure in acute exacerbation of idiopathic pulmonary fibrosis: A retrospective cohort study.呼气末正压通气氧合对特发性肺纤维化急性加重期的预后评估:一项回顾性队列研究
Clin Respir J. 2018 Mar;12(3):895-903. doi: 10.1111/crj.12602. Epub 2017 Jan 12.
8
Stress-strain curve and elastic behavior of the fibrotic lung with usual interstitial pneumonia pattern during protective mechanical ventilation.特发性肺纤维化模式下肺纤维化的应变-应变曲线和弹性行为在保护性机械通气中的变化。
Sci Rep. 2024 Jun 7;14(1):13158. doi: 10.1038/s41598-024-63670-z.
9
Acute respiratory distress syndrome following multiple wasp stings treated with extracorporeal membrane oxygenation: A case report.多黄蜂蜇伤后急性呼吸窘迫综合征行体外膜肺氧合治疗:一例报告
World J Clin Cases. 2022 Oct 26;10(30):11122-11127. doi: 10.12998/wjcc.v10.i30.11122.
10
High frequency oscillation, extracorporeal membrane oxygenation and pumpless arteriovenous lung assist in the management of severe ARDS.高频振荡通气、体外膜肺氧合及无泵动静脉肺辅助在重症急性呼吸窘迫综合征管理中的应用
Anestezjol Intens Ter. 2010 Oct-Dec;42(4):201-5.

本文引用的文献

1
Novel Biomarkers in Early Detection of Heart Failure: A Narrative Review.心力衰竭早期检测中的新型生物标志物:一篇叙述性综述。
Cureus. 2024 Feb 2;16(2):e53445. doi: 10.7759/cureus.53445. eCollection 2024 Feb.
2
Novel echocardiographic markers for left ventricular filling pressure prediction in heart failure with preserved ejection fraction (ECHO-PREDICT): a prospective cross-sectional study.射血分数保留的心力衰竭患者左心室充盈压预测的新型超声心动图标志物(ECHO-PREDICT):一项前瞻性横断面研究。
Ann Med Surg (Lond). 2023 Sep 13;85(11):5384-5395. doi: 10.1097/MS9.0000000000001287. eCollection 2023 Nov.
3
Advancing Precision Medicine for the Diagnosis and Treatment of Acute Respiratory Distress Syndrome.
推进急性呼吸窘迫综合征诊断与治疗的精准医学
J Clin Med. 2023 Feb 16;12(4):1563. doi: 10.3390/jcm12041563.
4
Experience With Trauma-Induced ARDS: A Retrospective Study of US Wartime Casualties 2003-2015.创伤性 ARDS 经验:2003-2015 年美国战时伤员的回顾性研究。
J Spec Oper Med. 2022 Dec 16;22(4):111-116. doi: 10.55460/MTVH-ONCM.
5
Acute respiratory distress syndrome in adults: diagnosis, outcomes, long-term sequelae, and management.成人急性呼吸窘迫综合征:诊断、结局、长期后遗症和管理。
Lancet. 2022 Oct 1;400(10358):1157-1170. doi: 10.1016/S0140-6736(22)01439-8. Epub 2022 Sep 4.
6
Fat embolism syndrome in a patient with a right undisplaced femoral neck fracture.右侧股骨颈无移位骨折患者发生脂肪栓塞综合征。
Age Ageing. 2022 Mar 1;51(3). doi: 10.1093/ageing/afac046.
7
Idiopathic pulmonary fibrosis: Current and future treatment.特发性肺纤维化:当前和未来的治疗方法。
Clin Respir J. 2022 Feb;16(2):84-96. doi: 10.1111/crj.13466. Epub 2022 Jan 10.
8
Ground-glass opacity (GGO): a review of the differential diagnosis in the era of COVID-19.磨玻璃密度影(GGO):COVID-19 时代的鉴别诊断综述。
Jpn J Radiol. 2021 Aug;39(8):721-732. doi: 10.1007/s11604-021-01120-w. Epub 2021 Apr 26.
9
Acute exacerbations of fibrotic interstitial lung diseases.纤维化间质性肺疾病的急性加重。
Respirology. 2020 May;25(5):525-534. doi: 10.1111/resp.13682. Epub 2019 Aug 19.
10
Inflammation research sails through the sea of immunology to reach immunometabolism.炎症研究在免疫学的海洋中航行,到达免疫代谢领域。
Int Immunopharmacol. 2019 Aug;73:128-145. doi: 10.1016/j.intimp.2019.05.002. Epub 2019 May 13.