Suppr超能文献

尸检病例:化疗后反复发生肺肿瘤栓塞的心脏套细胞淋巴瘤。

Autopsy case of cardiac mantle cell lymphoma presenting with recurrent pulmonary tumor embolism after chemotherapy.

机构信息

Department of Hematology, Federation of National Public Service Personnel Mutual Aid Associations Tachikawa Hospital, Tokyo, Japan.

Department of Pathology, Tokai University School of Medicine, Isehara, Japan.

出版信息

J Clin Exp Hematop. 2024 Sep 28;64(3):242-251. doi: 10.3960/jslrt.24024. Epub 2024 Jul 31.

Abstract

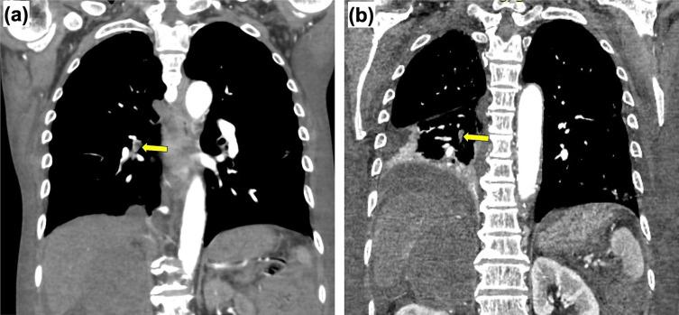
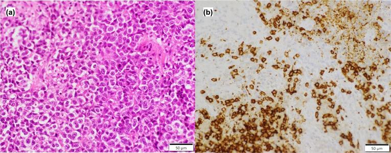
A 78-year-old Japanese man presented to the emergency department with a sore throat and fever that worsened over 3 weeks. A tonsil biopsy led to the diagnosis of pleomorphic mantle cell lymphoma (MCL) that had infiltrated the right adrenal gland, inferior vena cava, and right atrium (RA). Although the patient's cardiac tumor had high mobility, his hemodynamic state was stable, and he did not present with fatal arrhythmia. Therefore, we first introduced chemotherapy. However, the patient developed recurrent pulmonary embolisms (PEs) and died after starting chemotherapy. An autopsy revealed that the MCL had invaded the large vessels, causing the PEs. Although the high mobility of cardiac tumors is known to increase the risk of PE in diffuse large B-cell lymphoma (DLBCL), optimal management of cardiac MCL remains to be elucidated owing to its rarity. To the best of our knowledge, this is the first report of cardiac MCL with posttreatment PE development in a Japanese patient. It is worth considering preventive surgery before treatment not only in DLBCL, but also in MCL based on the mobility of the cardiac tumors. Our case highlights the need for close communication between hematologists and cardiologists to treat cardiac MCL.

摘要

一位 78 岁的日本男性因喉咙痛和发热就诊于急诊科,这些症状在 3 周内逐渐加重。扁桃体活检提示多形性套细胞淋巴瘤(MCL)浸润右侧肾上腺、下腔静脉和右心房(RA)。尽管患者的心脏肿瘤活动度高,但他的血流动力学状态稳定,也没有出现致命性心律失常。因此,我们首先引入了化疗。然而,患者开始化疗后反复发生肺栓塞(PE)并死亡。尸检显示 MCL 侵犯了大血管,导致了 PEs。尽管已知弥漫性大 B 细胞淋巴瘤(DLBCL)中心脏肿瘤的高活动度会增加 PE 的风险,但由于其罕见性,心脏 MCL 的最佳治疗管理仍有待阐明。据我们所知,这是首例日本患者在治疗后发生心脏 MCL 伴 PE 发展的报告。不仅在 DLBCL 中,而且在基于心脏肿瘤活动度的 MCL 中,在治疗前都值得考虑预防性手术。我们的病例强调了血液科医生和心脏病专家之间需要密切沟通来治疗心脏 MCL。

https://cdn.ncbi.nlm.nih.gov/pmc/blobs/1987/11528258/404851f0ea97/jslrt-64-242-g001.jpg

文献检索

告别复杂PubMed语法,用中文像聊天一样搜索,搜遍4000万医学文献。AI智能推荐,让科研检索更轻松。

立即免费搜索

文件翻译

保留排版,准确专业,支持PDF/Word/PPT等文件格式,支持 12+语言互译。

免费翻译文档

深度研究

AI帮你快速写综述,25分钟生成高质量综述,智能提取关键信息,辅助科研写作。

立即免费体验