Suppr超能文献

m6A甲基化的环状POLR2B形成R环,并通过正反馈环调节胶质瘤干细胞的生物学行为。

M6A-methylated circPOLR2B forms an R-loop and regulates the biological behavior of glioma stem cells through positive feedback loops.

作者信息

Lin Hongda, Cui Zheng, E Tiange, Xu Hailing, Wang Di, Wang Ping, Ruan Xuelei, Liu Libo, Xue Yixue

机构信息

Department of Neurosurgery, Shengjing Hospital of China Medical University, Shenyang, China.

Key Laboratory of Neuro-oncology in Liaoning Province, Shenyang, China.

出版信息

Cell Death Dis. 2024 Aug 1;15(8):554. doi: 10.1038/s41419-024-06946-6.

Abstract

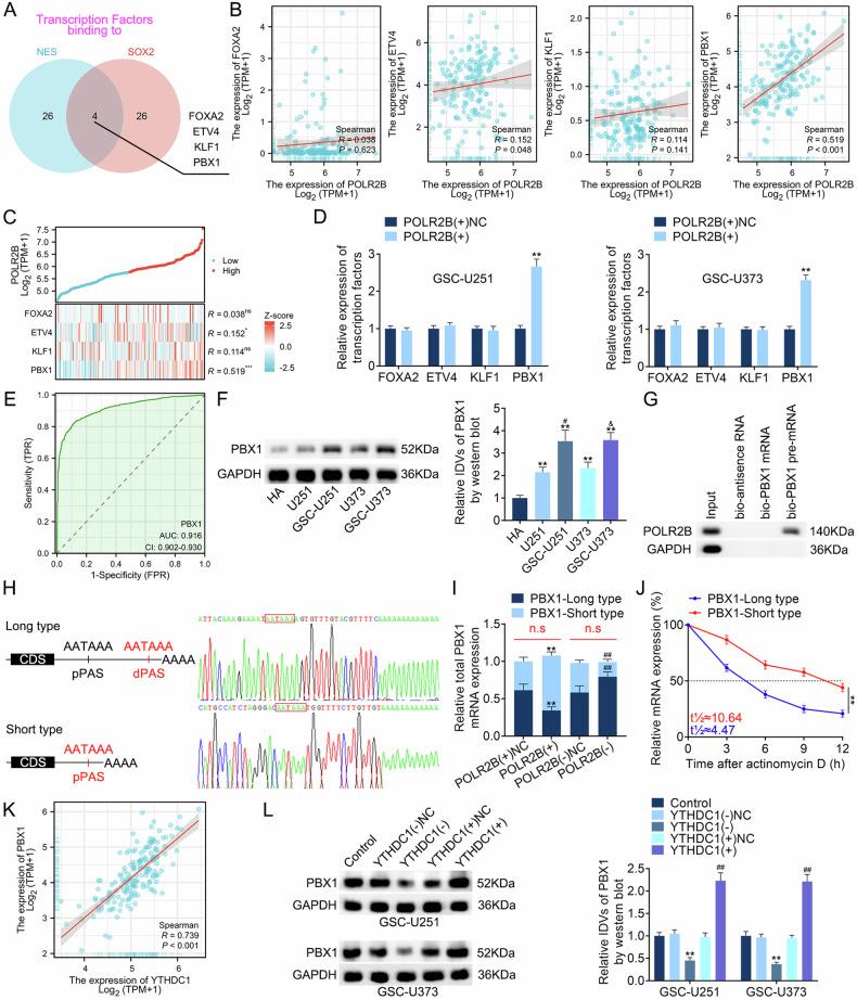
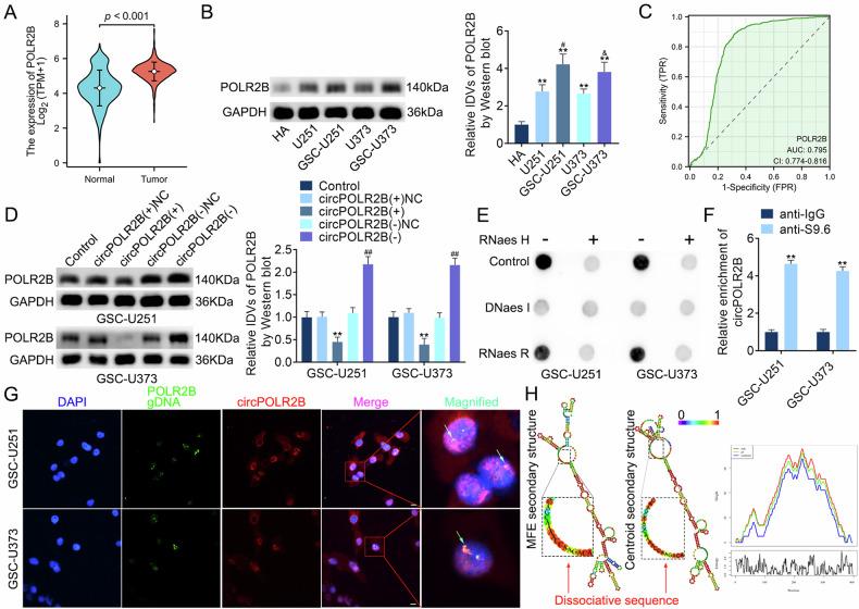
Glioma is the most common primary brain tumor, and targeting glioma stem cells (GSCs) has become a key aspect of glioma treatment. In this study, we discovered a molecular network in which circRNA forms an R-loop structure with its parental gene to regulate the biological behavior of GSCs. Genes with abnormal expression in GSCs were screened using RNA-seq and circRNA microarray analyses. The study results showed that high expression of YTHDC1 in GSCs promoted the transportation of N6-methyladenosine (m6A)-modified circPOLR2B from the nucleus to the cytoplasm. Decreased circPOLR2B levels in the nucleus resulted in fewer R-loop structures formed with its parental gene POLR2B. This reduction in R-loop structures relieved the inhibitory effect on POLR2B transcription and upregulated PBX1 expression through alternative polyadenylation (APA) action, thereby promoting the malignant biological behavior of GSCs. Knockdown of YTHDC1, POLR2B, and PBX1 reduced xenograft tumor volume and prolonged the survival of nude mice. The YTHDC1/circPOLR2B/POLR2B/PBX1 axis plays a regulatory role in the biological behavior of GSCs, offering potential targets and novel strategies for the treatment of glioma.

摘要

胶质瘤是最常见的原发性脑肿瘤,靶向胶质瘤干细胞(GSCs)已成为胶质瘤治疗的关键环节。在本研究中,我们发现了一个分子网络,其中环状RNA(circRNA)与其亲本基因形成R环结构,以调节GSCs的生物学行为。通过RNA测序(RNA-seq)和circRNA微阵列分析筛选出在GSCs中表达异常的基因。研究结果表明,GSCs中YTHDC1的高表达促进了N6-甲基腺苷(m6A)修饰的circPOLR2B从细胞核向细胞质的转运。细胞核中circPOLR2B水平的降低导致与其亲本基因POLR2B形成的R环结构减少。R环结构的这种减少减轻了对POLR2B转录的抑制作用,并通过可变聚腺苷酸化(APA)作用上调PBX1的表达,从而促进GSCs的恶性生物学行为。敲低YTHDC1、POLR2B和PBX1可减小异种移植瘤体积并延长裸鼠生存期。YTHDC1/circPOLR2B/POLR2B/PBX1轴在GSCs的生物学行为中起调节作用,为胶质瘤治疗提供了潜在靶点和新策略。

https://cdn.ncbi.nlm.nih.gov/pmc/blobs/bce8/11294345/df178a21593a/41419_2024_6946_Fig1_HTML.jpg

文献检索

告别复杂PubMed语法,用中文像聊天一样搜索,搜遍4000万医学文献。AI智能推荐,让科研检索更轻松。

立即免费搜索

文件翻译

保留排版,准确专业,支持PDF/Word/PPT等文件格式,支持 12+语言互译。

免费翻译文档

深度研究

AI帮你快速写综述,25分钟生成高质量综述,智能提取关键信息,辅助科研写作。

立即免费体验