• 文献检索
  • 文档翻译
  • 深度研究
  • 学术资讯
  • Suppr Zotero 插件Zotero 插件
  • 邀请有礼
  • 套餐&价格
  • 历史记录
应用&插件
Suppr Zotero 插件Zotero 插件浏览器插件Mac 客户端Windows 客户端微信小程序
定价
高级版会员购买积分包购买API积分包
服务
文献检索文档翻译深度研究API 文档MCP 服务
关于我们
关于 Suppr公司介绍联系我们用户协议隐私条款
关注我们

Suppr 超能文献

核心技术专利:CN118964589B侵权必究
粤ICP备2023148730 号-1Suppr @ 2026

文献检索

告别复杂PubMed语法,用中文像聊天一样搜索,搜遍4000万医学文献。AI智能推荐,让科研检索更轻松。

立即免费搜索

文件翻译

保留排版,准确专业,支持PDF/Word/PPT等文件格式,支持 12+语言互译。

免费翻译文档

深度研究

AI帮你快速写综述,25分钟生成高质量综述,智能提取关键信息,辅助科研写作。

立即免费体验

寨卡病毒垂直传播可诱导先天性寨卡综合征患儿来源的脑细胞发生神经炎症和突触损伤。

Zika virus vertical transmission induces neuroinflammation and synapse impairment in brain cells derived from children born with Congenital Zika Syndrome.

机构信息

Microbiology Department, Institute of Biomedical Sciences (ICB-II), University of São Paulo, Av. Prof Lineu Prestes, 1374, 2Nd Floor, Room 235, São Paulo, SP, 05508-000, Brazil.

Cell and Molecular Therapy Center (NUCEL), School of Medicine, University of São Paulo, São Paulo-SP, 01246-903, Brazil.

出版信息

Sci Rep. 2024 Aug 3;14(1):18002. doi: 10.1038/s41598-024-65392-8.

DOI:10.1038/s41598-024-65392-8
PMID:39097642
原文链接:https://pmc.ncbi.nlm.nih.gov/articles/PMC11297915/
Abstract

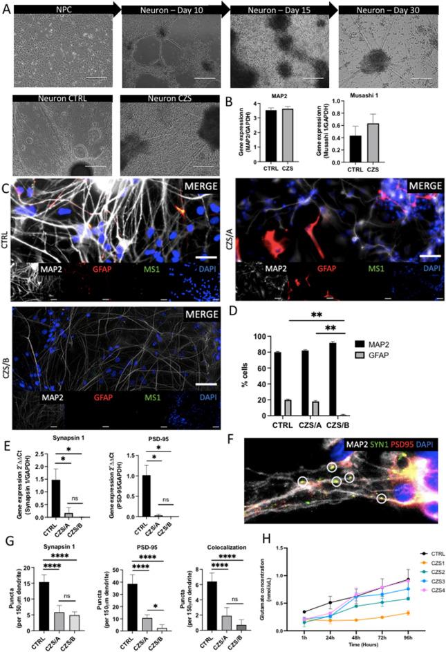
Zika virus (ZIKV) infection was first reported in 2015 in Brazil as causing microcephaly and other developmental abnormalities in newborns, leading to the identification of Congenital Zika Syndrome (CZS). Viral infections have been considered an environmental risk factor for neurodevelopmental disorders outcome, such as Autism Spectrum Disorder (ASD). Moreover, not only the infection per se, but maternal immune system activation during pregnancy, has been linked to fetal neurodevelopmental disorders. To understand the impact of ZIKV vertical infection on brain development, we derived induced pluripotent stem cells (iPSC) from Brazilian children born with CZS, some of the patients also being diagnosed with ASD. Comparing iPSC-derived neurons from CZS with a control group, we found lower levels of pre- and postsynaptic proteins and reduced functional synapses by puncta co-localization. Furthermore, neurons and astrocytes derived from the CZS group showed decreased glutamate levels. Additionally, the CZS group exhibited elevated levels of cytokine production, one of which being IL-6, already associated with the ASD phenotype. These preliminary findings suggest that ZIKV vertical infection may cause long-lasting disruptions in brain development during fetal stages, even in the absence of the virus after birth. These disruptions could contribute to neurodevelopmental disorders manifestations such as ASD. Our study contributes with novel knowledge of the CZS outcomes and paves the way for clinical validation and the development of potential interventions to mitigate the impact of ZIKV vertical infection on neurodevelopment.

摘要

寨卡病毒(ZIKV)感染于 2015 年在巴西首次报道,可导致新生儿小头畸形和其他发育异常,从而确定了先天性寨卡综合征(CZS)。病毒感染被认为是神经发育障碍结局的环境风险因素,如自闭症谱系障碍(ASD)。此外,不仅感染本身,而且妊娠期间母体免疫系统的激活,与胎儿神经发育障碍有关。为了了解 ZIKV 垂直感染对大脑发育的影响,我们从巴西患有 CZS 的儿童中诱导多能干细胞(iPSC),其中一些患者也被诊断为 ASD。将 CZS 患者的 iPSC 衍生神经元与对照组进行比较,我们发现前突触和后突触蛋白水平较低,通过突触点共定位减少了功能性突触。此外,来自 CZS 组的神经元和星形胶质细胞表现出降低的谷氨酸水平。此外,CZS 组表现出细胞因子产生水平升高,其中一种细胞因子是 IL-6,已经与 ASD 表型相关。这些初步发现表明,ZIKV 垂直感染可能在胎儿期导致大脑发育的持久破坏,即使在出生后病毒不存在也是如此。这些破坏可能导致神经发育障碍的表现,如 ASD。我们的研究为 CZS 结果提供了新的知识,并为临床验证和开发潜在干预措施以减轻 ZIKV 垂直感染对神经发育的影响铺平了道路。

https://cdn.ncbi.nlm.nih.gov/pmc/blobs/b2eb/11297915/31dfabc4c72b/41598_2024_65392_Fig3_HTML.jpg
https://cdn.ncbi.nlm.nih.gov/pmc/blobs/b2eb/11297915/fac5f91e3003/41598_2024_65392_Fig1_HTML.jpg
https://cdn.ncbi.nlm.nih.gov/pmc/blobs/b2eb/11297915/b185e19933f6/41598_2024_65392_Fig2_HTML.jpg
https://cdn.ncbi.nlm.nih.gov/pmc/blobs/b2eb/11297915/31dfabc4c72b/41598_2024_65392_Fig3_HTML.jpg
https://cdn.ncbi.nlm.nih.gov/pmc/blobs/b2eb/11297915/fac5f91e3003/41598_2024_65392_Fig1_HTML.jpg
https://cdn.ncbi.nlm.nih.gov/pmc/blobs/b2eb/11297915/b185e19933f6/41598_2024_65392_Fig2_HTML.jpg
https://cdn.ncbi.nlm.nih.gov/pmc/blobs/b2eb/11297915/31dfabc4c72b/41598_2024_65392_Fig3_HTML.jpg

相似文献

1
Zika virus vertical transmission induces neuroinflammation and synapse impairment in brain cells derived from children born with Congenital Zika Syndrome.寨卡病毒垂直传播可诱导先天性寨卡综合征患儿来源的脑细胞发生神经炎症和突触损伤。
Sci Rep. 2024 Aug 3;14(1):18002. doi: 10.1038/s41598-024-65392-8.
2
Zika virus infection impairs synaptogenesis, induces neuroinflammation, and could be an environmental risk factor for autism spectrum disorder outcome.寨卡病毒感染会损害突触发生,引发神经炎症,并且可能是自闭症谱系障碍结果的环境风险因素。
Biochim Biophys Acta Mol Basis Dis. 2024 Jun;1870(5):167097. doi: 10.1016/j.bbadis.2024.167097. Epub 2024 Feb 24.
3
Zika virus infection at mid-gestation results in fetal cerebral cortical injury and fetal death in the olive baboon.妊娠中期寨卡病毒感染可导致食蟹猴胎儿大脑皮质损伤和胎儿死亡。
PLoS Pathog. 2019 Jan 18;15(1):e1007507. doi: 10.1371/journal.ppat.1007507. eCollection 2019 Jan.
4
Neurodevelopmental Abnormalities in Children With In Utero Zika Virus Exposure Without Congenital Zika Syndrome.子宫内寨卡病毒暴露而无先天性寨卡综合征的儿童的神经发育异常。
JAMA Pediatr. 2020 Mar 1;174(3):269-276. doi: 10.1001/jamapediatrics.2019.5204.
5
Zika Virus Infection in the Developing Mouse Produces Dramatically Different Neuropathology Dependent on Viral Strain.寨卡病毒感染发育中的小鼠会产生明显不同的神经病理学,这取决于病毒株。
J Neurosci. 2020 Jan 29;40(5):1145-1161. doi: 10.1523/JNEUROSCI.1376-19.2019. Epub 2019 Dec 13.
6
Possible Congenital Zika Syndrome in Older Children Due to Earlier Circulation of Zika Virus.由于寨卡病毒早期传播,大龄儿童可能出现先天性寨卡综合征。
Am J Med Genet A. 2018 Sep;176(9):1882-1889. doi: 10.1002/ajmg.a.40378. Epub 2018 Aug 2.
7
Zika Virus Infection in Pregnancy, Microcephaly, and Maternal and Fetal Health: What We Think, What We Know, and What We Think We Know.孕期寨卡病毒感染、小头畸形与母婴健康:我们的想法、我们所知的以及我们自认为知道的
Arch Pathol Lab Med. 2017 Jan;141(1):26-32. doi: 10.5858/arpa.2016-0382-RA. Epub 2016 Sep 16.
8
Disruption of myelin structure and oligodendrocyte maturation in a macaque model of congenital Zika infection.先天性寨卡病毒感染猕猴模型中的髓鞘结构破坏和少突胶质细胞成熟障碍。
Nat Commun. 2024 Jun 18;15(1):5173. doi: 10.1038/s41467-024-49524-2.
9
Sustained Microglial Activation Promotes Synaptic Loss and Neuronal Dysfunction after Recovery from ZIKV Infection.持续性小胶质细胞激活促进寨卡病毒感染恢复后突触丢失和神经元功能障碍。
Int J Mol Sci. 2024 Aug 30;25(17):9451. doi: 10.3390/ijms25179451.
10
Association between Genetic Variants in and Genes with Congenital Zika Syndrome and Severe Microcephaly.与先天性寨卡综合征和严重小头畸形相关的 和 基因的遗传变异。
Viruses. 2021 Feb 20;13(2):325. doi: 10.3390/v13020325.

本文引用的文献

1
Exploring the management approaches of cytokines including viral infection and neuroinflammation for neurological disorders.探讨包括病毒感染和神经炎症在内的细胞因子在神经紊乱中的管理方法。
Cytokine. 2022 Sep;157:155962. doi: 10.1016/j.cyto.2022.155962. Epub 2022 Jul 16.
2
Zika virus induces FOXG1 nuclear displacement and downregulation in human neural progenitors.寨卡病毒诱导人神经祖细胞中 FOXG1 核易位和下调。
Stem Cell Reports. 2022 Jul 12;17(7):1683-1698. doi: 10.1016/j.stemcr.2022.05.008. Epub 2022 Jun 16.
3
Virus-Induced Maternal Immune Activation as an Environmental Factor in the Etiology of Autism and Schizophrenia.
病毒诱导的母体免疫激活作为自闭症和精神分裂症病因中的一个环境因素。
Front Neurosci. 2022 Apr 12;16:834058. doi: 10.3389/fnins.2022.834058. eCollection 2022.
4
Consequences of Viral Infection and Cytokine Production During Pregnancy on Brain Development in Offspring.妊娠期间病毒感染和细胞因子产生对后代大脑发育的影响。
Front Immunol. 2022 Apr 7;13:816619. doi: 10.3389/fimmu.2022.816619. eCollection 2022.
5
Seeing glutamate at central synapses.在中枢突触中观察谷氨酸。
J Neurosci Methods. 2022 Jun 1;375:109531. doi: 10.1016/j.jneumeth.2022.109531. Epub 2022 Feb 17.
6
iPSC-based disease modeling and drug discovery in cardinal neurodegenerative disorders.基于 iPSC 的主要神经退行性疾病的疾病建模和药物发现。
Cell Stem Cell. 2022 Feb 3;29(2):189-208. doi: 10.1016/j.stem.2022.01.007.
7
Induced Pluripotent Stem Cells (iPSCs)-Roles in Regenerative Therapies, Disease Modelling and Drug Screening.诱导多能干细胞(iPSCs)——在再生疗法、疾病建模和药物筛选中的作用。
Cells. 2021 Sep 5;10(9):2319. doi: 10.3390/cells10092319.
8
Zika Virus Infection Associated with Autism Spectrum Disorder: A Case Report.寨卡病毒感染与自闭症谱系障碍相关:一例病例报告。
Neuroimmunomodulation. 2021;28(4):229-232. doi: 10.1159/000516560. Epub 2021 Jun 3.
9
Human iPSC-Based Modeling of Central Nerve System Disorders for Drug Discovery.基于人诱导多能干细胞的中枢神经系统疾病模型用于药物发现。
Int J Mol Sci. 2021 Jan 26;22(3):1203. doi: 10.3390/ijms22031203.
10
Zika Virus Changes Methylation of Genes Involved in Immune Response and Neural Development in Brazilian Babies Born With Congenital Microcephaly.寨卡病毒改变了先天小头畸形巴西婴儿免疫反应和神经发育相关基因的甲基化。
J Infect Dis. 2021 Feb 13;223(3):435-440. doi: 10.1093/infdis/jiaa383.