• 文献检索
  • 文档翻译
  • 深度研究
  • 学术资讯
  • Suppr Zotero 插件Zotero 插件
  • 邀请有礼
  • 套餐&价格
  • 历史记录
应用&插件
Suppr Zotero 插件Zotero 插件浏览器插件Mac 客户端Windows 客户端微信小程序
定价
高级版会员购买积分包购买API积分包
服务
文献检索文档翻译深度研究API 文档MCP 服务
关于我们
关于 Suppr公司介绍联系我们用户协议隐私条款
关注我们

Suppr 超能文献

核心技术专利:CN118964589B侵权必究
粤ICP备2023148730 号-1Suppr @ 2026

文献检索

告别复杂PubMed语法,用中文像聊天一样搜索,搜遍4000万医学文献。AI智能推荐,让科研检索更轻松。

立即免费搜索

文件翻译

保留排版,准确专业,支持PDF/Word/PPT等文件格式,支持 12+语言互译。

免费翻译文档

深度研究

AI帮你快速写综述,25分钟生成高质量综述,智能提取关键信息,辅助科研写作。

立即免费体验

伴有罕见肝外胆管发育不全和胆囊畸形的阿拉吉耶综合征:基于一例病例报告的经验教训

Alagille syndrome with unusual common bile duct hypoplasia and gallbladder dysmorphism: Lesson based on a case report.

作者信息

Farina Renato, Garofalo Alfredo, Valerio Foti Pietro, Inì Corrado, Motta Claudia, Galioto Sebastiano, Clemenza Mariangela, Ilardi Adriana, Gavazzi Livio, Grippaldi Daniele, D'Urso Mattia, Basile Antonio

机构信息

Department of Medical and Surgical Sciences and Advanced Technologies "GF Ingrassia". University of Catania, Italy.

出版信息

Radiol Case Rep. 2024 Jul 12;19(9):4082-4086. doi: 10.1016/j.radcr.2024.06.031. eCollection 2024 Sep.

DOI:10.1016/j.radcr.2024.06.031
PMID:39104448
原文链接:https://pmc.ncbi.nlm.nih.gov/articles/PMC11298873/
Abstract

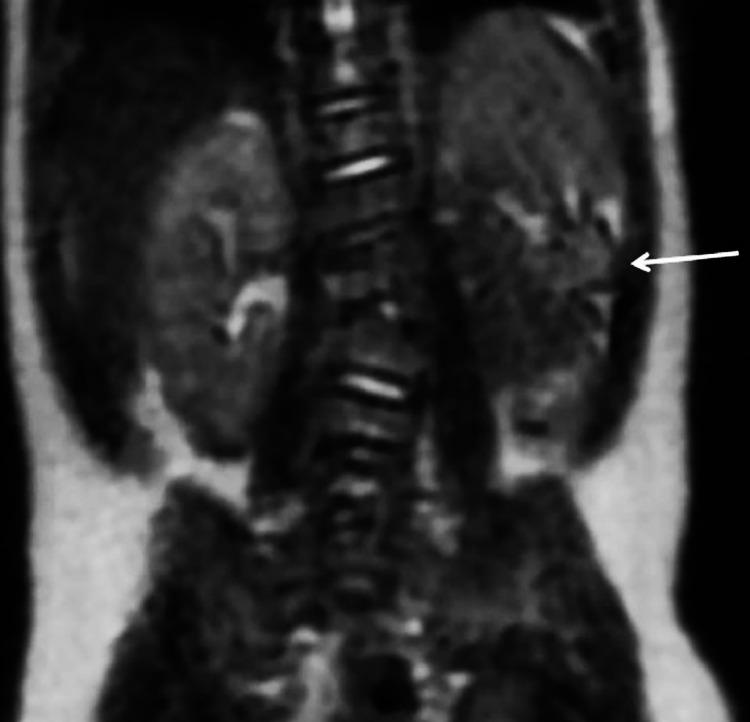
Alagille syndrome is an autosomal dominant and multisystemic disease that generally manifests itself with intrahepatic bile ducts paucity, chronic cholestasis, xanthomas and with other less frequent clinical manifestations such as congenital heart disease, skeletal abnomalies, ophthalmic, vascular, renal and growth failure. Symptoms can be subclinical or very severe. Is caused by various genetic mutations and the majority of patients have a detectable mutation in JAG1 (90%), the remainder have mutations in NOTCH2. The diagnosis is molecular and the incidence is approximately 1 in 30,000 - 50.000. Patient management can be very complex and treatment depends on the district affected and on the symptoms. In more serious cases, with terminal liver disease, liver transplantation is used. We describe a case with main bile duct hypoplasia, intrahepatic bile ducts paucity, cholestasis and gallbladder dimorphism associated with renal malrotation and butterfly vertebrae.

摘要

阿拉吉耶综合征是一种常染色体显性多系统疾病,通常表现为肝内胆管稀少、慢性胆汁淤积、黄色瘤,以及其他不太常见的临床表现,如先天性心脏病、骨骼异常、眼科、血管、肾脏和生长发育迟缓。症状可能是亚临床的,也可能非常严重。它由多种基因突变引起,大多数患者在JAG1基因中存在可检测到的突变(90%),其余患者在NOTCH2基因中存在突变。诊断依靠分子检测,发病率约为1/30000 - 1/50000。患者的管理可能非常复杂,治疗取决于受影响的部位和症状。在更严重的终末期肝病病例中,会采用肝移植。我们描述了一例伴有主胆管发育不全、肝内胆管稀少、胆汁淤积和胆囊二态性,并伴有肾脏旋转不良和蝴蝶椎的病例。

https://cdn.ncbi.nlm.nih.gov/pmc/blobs/2ce4/11298873/37ee8d5cc6fa/gr4.jpg
https://cdn.ncbi.nlm.nih.gov/pmc/blobs/2ce4/11298873/cedd34ba53cf/gr1.jpg
https://cdn.ncbi.nlm.nih.gov/pmc/blobs/2ce4/11298873/d3b74501bb0a/gr2.jpg
https://cdn.ncbi.nlm.nih.gov/pmc/blobs/2ce4/11298873/f78c18c1fa40/gr3.jpg
https://cdn.ncbi.nlm.nih.gov/pmc/blobs/2ce4/11298873/37ee8d5cc6fa/gr4.jpg
https://cdn.ncbi.nlm.nih.gov/pmc/blobs/2ce4/11298873/cedd34ba53cf/gr1.jpg
https://cdn.ncbi.nlm.nih.gov/pmc/blobs/2ce4/11298873/d3b74501bb0a/gr2.jpg
https://cdn.ncbi.nlm.nih.gov/pmc/blobs/2ce4/11298873/f78c18c1fa40/gr3.jpg
https://cdn.ncbi.nlm.nih.gov/pmc/blobs/2ce4/11298873/37ee8d5cc6fa/gr4.jpg

相似文献

1
Alagille syndrome with unusual common bile duct hypoplasia and gallbladder dysmorphism: Lesson based on a case report.伴有罕见肝外胆管发育不全和胆囊畸形的阿拉吉耶综合征:基于一例病例报告的经验教训
Radiol Case Rep. 2024 Jul 12;19(9):4082-4086. doi: 10.1016/j.radcr.2024.06.031. eCollection 2024 Sep.
2
Not only Alagille syndrome. Syndromic paucity of interlobular bile ducts secondary to HNF1β deficiency: a case report and literature review.不仅是 Alagille 综合征。HNF1β 缺陷导致的肝内胆小管发育不良综合征:病例报告及文献复习。
Ital J Pediatr. 2019 Feb 21;45(1):27. doi: 10.1186/s13052-019-0617-y.
3
A case of Alagille syndrome presenting with chronic cholestasis in an adult.成人慢性胆汁淤积症表现的 Alagille 综合征 1 例。
Clin Mol Hepatol. 2017 Sep;23(3):260-264. doi: 10.3350/cmh.2016.0057. Epub 2017 Jul 7.
4
Novel Heterozygous Mutations in and Genes in a Neonatal Patient with Alagille Syndrome.一名患有阿拉吉尔综合征的新生儿患者中*[此处可能缺失具体基因名称]和*基因的新型杂合突变
Case Rep Pediatr. 2017;2017:1368189. doi: 10.1155/2017/1368189. Epub 2017 Mar 29.
5
A 10-year-old child presenting with syndromic paucity of bile ducts (Alagille syndrome): a case report.一名患有综合征性胆管稀少(阿拉吉列综合征)的10岁儿童:病例报告。
J Med Case Rep. 2016 Nov 30;10(1):342. doi: 10.1186/s13256-016-1126-x.
6
A mouse model of Alagille syndrome: Notch2 as a genetic modifier of Jag1 haploinsufficiency.阿拉吉耶综合征的小鼠模型:Notch2作为Jag1单倍剂量不足的遗传修饰因子。
Development. 2002 Feb;129(4):1075-82. doi: 10.1242/dev.129.4.1075.
7
Mouse Model of Alagille Syndrome and Mechanisms of Jagged1 Missense Mutations.阿拉吉耶综合征的小鼠模型及锯齿蛋白1错义突变的机制
Gastroenterology. 2018 Mar;154(4):1080-1095. doi: 10.1053/j.gastro.2017.11.002. Epub 2017 Nov 21.
8
Proliferation to paucity: evolution of bile duct abnormalities in a case of Alagille syndrome.从增生到稀少:1例阿拉吉耶综合征胆管异常的演变
Pediatr Dev Pathol. 2001 Nov-Dec;4(6):559-63. doi: 10.1007/s10024001-0102-6.
9
Alagille syndrome: an uncommon cause of intrahepatic cholestasis in adults.Alagille 综合征:成人肝内胆汁淤积的一个不常见病因。
Rev Esp Enferm Dig. 2019 Apr;111(4):323-326. doi: 10.17235/reed.2019.5679/2018.
10
Alagille syndrome associated with total anomalous pulmonary venous connection and severe xanthomas: A case report.伴有完全性肺静脉异位连接和严重黄瘤的阿拉吉尔综合征:一例报告。
World J Clin Cases. 2022 Sep 6;10(25):8932-8938. doi: 10.12998/wjcc.v10.i25.8932.

本文引用的文献

1
Alagille Syndrome: A Focused Review on Clinical Features, Genetics, and Treatment.Alagille 综合征:临床特征、遗传学和治疗的重点综述。
Semin Liver Dis. 2021 Nov;41(4):525-537. doi: 10.1055/s-0041-1730951. Epub 2021 Jul 2.
2
Alagille syndrome mutation update: Comprehensive overview of JAG1 and NOTCH2 mutation frequencies and insight into missense variant classification.Alagille 综合征突变更新:Jag1 和 Notch2 突变频率的综合概述及错义变异分类的深入了解。
Hum Mutat. 2019 Dec;40(12):2197-2220. doi: 10.1002/humu.23879. Epub 2019 Aug 26.
3
Alagille Syndrome.
Alagille 综合征。
Clin Liver Dis. 2018 Nov;22(4):625-641. doi: 10.1016/j.cld.2018.06.001. Epub 2018 Aug 22.
4
Clinical utility gene card for: Alagille Syndrome (ALGS).阿拉吉耶综合征(ALGS)临床实用基因卡片
Eur J Hum Genet. 2014 Mar;22(3). doi: 10.1038/ejhg.2013.140. Epub 2013 Jul 24.
5
Jagged1 in the portal vein mesenchyme regulates intrahepatic bile duct development: insights into Alagille syndrome.门静脉间质中的 Jagged1 调节肝内胆管发育:对 Alagille 综合征的深入了解。
Development. 2010 Dec;137(23):4061-72. doi: 10.1242/dev.052118.
6
A longitudinal study to identify laboratory predictors of liver disease outcome in Alagille syndrome.一项旨在确定 Alagille 综合征肝脏疾病转归的实验室预测因子的纵向研究。
J Pediatr Gastroenterol Nutr. 2010 May;50(5):526-30. doi: 10.1097/MPG.0b013e3181cea48d.
7
Deficits in size-adjusted bone mass in children with Alagille syndrome.阿拉吉列综合征患儿经大小校正后的骨量不足。
J Pediatr Gastroenterol Nutr. 2005 Jan;40(1):76-82. doi: 10.1097/00005176-200501000-00014.
8
Bleeding tendency in children with Alagille syndrome.阿拉吉列综合征患儿的出血倾向
Pediatrics. 2003 Jan;111(1):167-70. doi: 10.1542/peds.111.1.167.
9
Rethinking growth failure in Alagille syndrome: the role of dietary intake and steatorrhea.重新审视阿拉吉耶综合征中的生长发育迟缓:饮食摄入和脂肪泻的作用。
J Pediatr Gastroenterol Nutr. 2002 Oct;35(4):495-502. doi: 10.1097/00005176-200210000-00007.
10
Outcome of liver disease in children with Alagille syndrome: a study of 163 patients.阿拉吉列综合征患儿的肝脏疾病转归:163例患者的研究
Gut. 2001 Sep;49(3):431-5. doi: 10.1136/gut.49.3.431.