Suppr超能文献

耳硬化症进展的组织病理学模式:探索内耳囊和圆窗受累情况。

Histopathological Patterns of Otosclerosis Progression: Exploring Otic Capsule and Round Window Involvement.

作者信息

Shimura Tomotaka, Keskin Yilmaz Nevra, Koerig Schuster Artur, Song Grace, Cureoglu Emre Abdullah, Kobayashi Sei, Rajan Dilshan, da Costa Monsanto Rafael

机构信息

Department of Otolaryngology Head & Neck Surgery, University of Minnesota, Minneapolis, Minnesota, U.S.A.

Department of Otorhinolaryngology, Showa University Fujigaoka Hospital, Yokohama, Japan.

出版信息

Laryngoscope. 2025 Jan;135(1):324-330. doi: 10.1002/lary.31680. Epub 2024 Aug 7.

Abstract

OBJECTIVES

Obliteration of the round window (RW) in cases of otosclerosis presents a significant clinical challenge due to its association with more severe hearing loss and a poorer prognosis for functional recovery after stapes surgery. The objective is to assess and characterize the occurrence of RW involvement in otosclerosis cases and to identify patterns of disease progression that may indicate a potential for RW obliteration.

METHODS

We selected archival temporal bones from donors with otosclerosis. We evaluated the degree of RW obliteration using a semi-quantitative scale and the location of the foci within the temporal bone, and whether the foci were continuous or isolated.

RESULTS

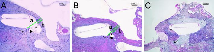
Most of the foci were located anteriorly to the oval window (89.2%), while RW area involvement was seen in 26.9% of the ears. In cases with fenestral foci, 68.1% directly involved and/or fixed the footplate. Among donors with bilateral otosclerosis, foci affected both ears in a similar pattern in 64.2%. Among donors with RW involvement, ones with continuous, large lesions that extended from the oval window associated with complete RW obliteration, while ones with smaller degrees of obliteration had solitary foci scattered within the otic capsule.

CONCLUSION

Our results demonstrate a high rate of RW involvement in cases of otosclerosis. Ears with continuous lesions extending from the oval window region to the RW area were more likely to present with complete RW obliteration. These results provide insights that could lead to better prognostic assessment of patients with otosclerosis in the future.

LEVEL OF EVIDENCE

NA Laryngoscope, 135:324-330, 2025.

摘要

目的

耳硬化症病例中圆窗(RW)的闭塞带来了重大的临床挑战,因为它与更严重的听力损失以及镫骨手术后功能恢复的预后较差有关。目的是评估和描述耳硬化症病例中RW受累的情况,并识别可能表明存在RW闭塞可能性的疾病进展模式。

方法

我们从患有耳硬化症的捐赠者中选取存档颞骨。我们使用半定量量表评估RW闭塞的程度、颞骨内病灶的位置,以及病灶是连续的还是孤立的。

结果

大多数病灶位于椭圆窗前方(89.2%),而26.9%的耳朵出现了RW区域受累。在有窗型病灶的病例中,68.1%直接累及和/或固定了镫骨底板。在双侧耳硬化症的捐赠者中,64.2%的人双耳病灶受累模式相似。在有RW受累的捐赠者中,那些有从椭圆窗延伸而来的连续大病灶并伴有完全RW闭塞的人,而闭塞程度较小的人在耳囊内有孤立的病灶。

结论

我们的结果表明耳硬化症病例中RW受累的发生率很高。从椭圆窗区域延伸至RW区域的连续病灶的耳朵更有可能出现完全的RW闭塞。这些结果提供了一些见解,可能会在未来对耳硬化症患者进行更好的预后评估。

证据水平

NA 《喉镜》,135:324 - 330,2025年。

https://cdn.ncbi.nlm.nih.gov/pmc/blobs/8353/11635137/64808ec1417e/LARY-135-324-g003.jpg

文献检索

告别复杂PubMed语法,用中文像聊天一样搜索,搜遍4000万医学文献。AI智能推荐,让科研检索更轻松。

立即免费搜索

文件翻译

保留排版,准确专业,支持PDF/Word/PPT等文件格式,支持 12+语言互译。

免费翻译文档

深度研究

AI帮你快速写综述,25分钟生成高质量综述,智能提取关键信息,辅助科研写作。

立即免费体验