Suppr超能文献

肺硬化性肺细胞瘤:1例8年随访CT影像表现病例报告

Pulmonary Sclerosing Pneumocytoma: A Case Revealed During 8-year of Follow-up with CT Imaging.

作者信息

Nishihara Mariko, Imai Ryosuke, Ushigusa Takeshi, Nakamura Tomoaki, So Clara, Okafuji Kohei, Kitamura Atsushi, Kojima Fumitsugu, Tomishima Yutaka, Jinta Torahiko, Nishimura Naoki, Bando Toru

机构信息

Department of Internal Medicine, St. Luke's International Hospital, Japan.

Department of Pulmonary Medicine, Thoracic Center, St. Luke's International Hospital, Japan.

出版信息

Intern Med. 2025 Mar 15;64(6):893-897. doi: 10.2169/internalmedicine.3956-24. Epub 2024 Aug 8.

Abstract

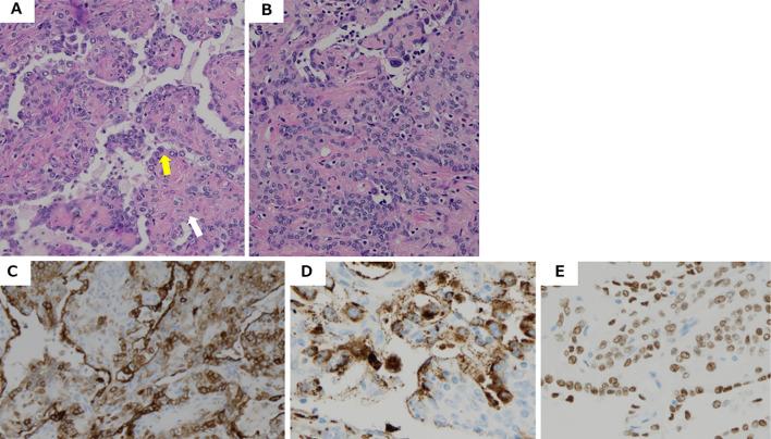
Pulmonary sclerosing pneumocytoma (PSP) is a rare, benign tumor. Given the challenges of a bronchoscopic diagnosis, surgery is performed during the early stages of the disease. Therefore, little is known about the growth pattern of PSP. This case of PSP was not diagnosed despite bronchoscopy, resulting in lung resection eight years after the anomaly was first identified on computed tomography (CT). This report compares the long-term follow-up of CT and pathological findings and discusses the difficulty in making a diagnosis using a bronchoscopic forceps biopsy to aid in future PSP diagnoses and treatment planning.

摘要

肺硬化性细胞瘤(PSP)是一种罕见的良性肿瘤。鉴于支气管镜诊断存在挑战,手术在疾病早期进行。因此,关于PSP的生长模式知之甚少。该例PSP尽管进行了支气管镜检查仍未确诊,导致在计算机断层扫描(CT)首次发现异常八年后进行了肺切除术。本报告比较了CT的长期随访结果和病理结果,并讨论了使用支气管镜钳取活检进行诊断的困难,以帮助未来PSP的诊断和治疗规划。

https://cdn.ncbi.nlm.nih.gov/pmc/blobs/76bf/11986300/8f8a602d2c92/1349-7235-64-0893-g001.jpg

文献AI研究员

20分钟写一篇综述,助力文献阅读效率提升50倍。

立即体验

用中文搜PubMed

大模型驱动的PubMed中文搜索引擎

马上搜索

文档翻译

学术文献翻译模型,支持多种主流文档格式。

立即体验