Suppr超能文献

一名成人的巨大会厌谷囊肿:病例报告

A Giant Vallecular Cyst in an Adult: A Case Report.

作者信息

Kaur Jasleen, Gaurkar Sagar S, Deshmukh Prasad T

机构信息

Department of Otolaryngology - Head and Neck Surgery, Jawaharlal Nehru Medical College, Datta Meghe Institute of Higher Education and Research, Wardha, IND.

出版信息

Cureus. 2024 Jul 10;16(7):e64254. doi: 10.7759/cureus.64254. eCollection 2024 Jul.

Abstract

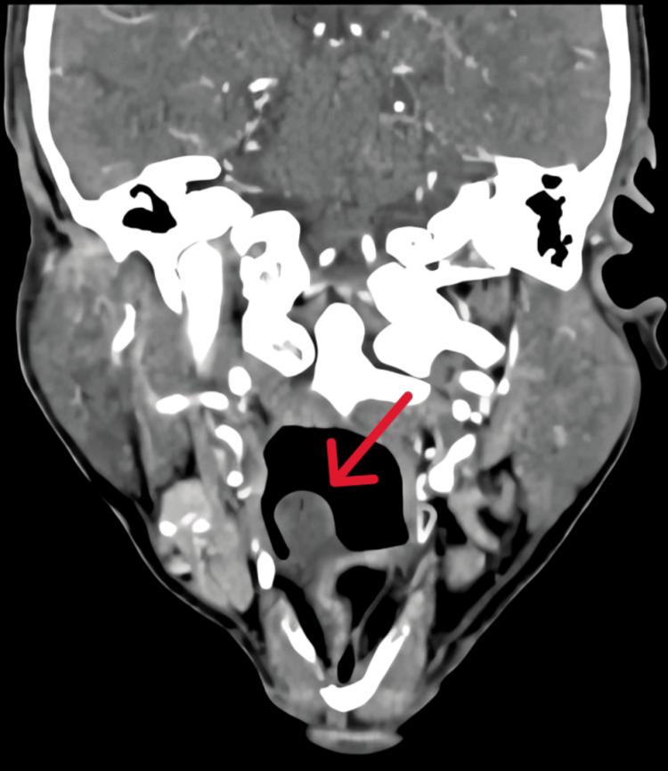
Vallecular cysts (VCs) are rare benign lesions arising from the obstruction of mucous gland ducts. VCs are uncommon anomalies found in both pediatric and adult populations. They are also known as mucous-retention cysts, preepiglottic cysts, ductal cysts, base-of-tongue cysts, and epiglottis cysts. VCs are often asymptomatic in adults and may present with nonspecific symptoms such as globus sensation, voice changes, dysphagia, hoarseness, or airway obstruction when symptomatic. This case report details a rare occurrence of a giant VC in an adult male, emphasizing the diagnostic approach and surgical management and highlighting the importance of managing the airway in such cases and the advantages of endoscopic procedures.

摘要

会厌谷囊肿(VCs)是由黏液腺管阻塞引起的罕见良性病变。VCs在儿童和成人中均为不常见的异常情况。它们也被称为黏液潴留囊肿、会厌前囊肿、导管囊肿、舌根囊肿和声门上囊肿。VCs在成人中通常无症状,有症状时可能表现为咽部异物感、声音改变、吞咽困难、声音嘶哑或气道梗阻等非特异性症状。本病例报告详细介绍了一名成年男性罕见的巨大VCs病例,强调了诊断方法和手术管理,并突出了在此类病例中气道管理的重要性以及内镜手术的优势。

https://cdn.ncbi.nlm.nih.gov/pmc/blobs/aad3/11315446/4da4fe7c91b1/cureus-0016-00000064254-i01.jpg

文献AI研究员

20分钟写一篇综述,助力文献阅读效率提升50倍。

立即体验

用中文搜PubMed

大模型驱动的PubMed中文搜索引擎

马上搜索

文档翻译

学术文献翻译模型,支持多种主流文档格式。

立即体验