Suppr超能文献

支气管心包瘘:坏死性肺炎的一种罕见并发症。

Bronchopericardial Fistula: A Rare Complication of Necrotizing Pneumonia.

作者信息

Bele Sameer N, M Manu, Gosavi Rakhi A, Gaikwad Sanjay N

机构信息

Department of Pulmonary Medicine, Byramjee Jeejeebhoy (BJ) Government Medical College, Pune, IND.

出版信息

Cureus. 2024 Jul 11;16(7):e64339. doi: 10.7759/cureus.64339. eCollection 2024 Jul.

Abstract

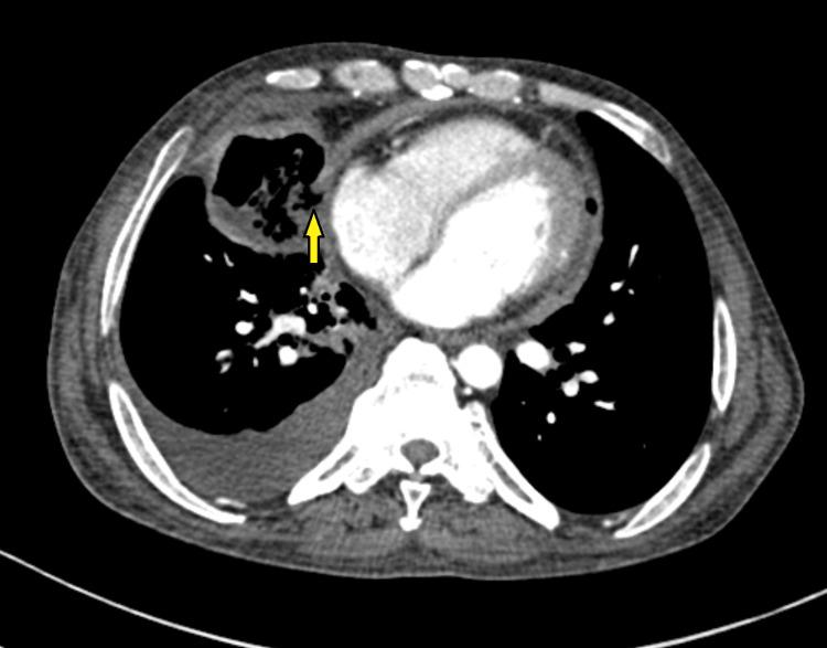
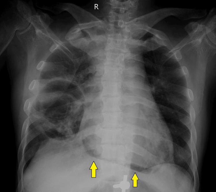
Pneumopericardium due to bronchopericardial fistula formation is a rare complication secondary to necrotizing pneumonia. Several such cases are reported due to different suppurative bacterial infections. Persistent fistulous communication has been reported to lead to tension pneumopericardium and hemodynamic instability, requiring urgent intervention such as pericardial drainage. A 41-year-old male patient, known to have chronic kidney disease and diabetes mellitus, presented with acute respiratory symptoms. Upon admission, the patient was febrile and required oxygen support via nasal prongs. A chest X-ray showed fibrocavitatory changes on the right side, with patchy air shadowing around the cardiac silhouette and a continuous diaphragm sign. A contrast-enhanced computed tomography (CECT) thorax revealed extensive areas of consolidation with necrotic areas within, forming a thin-walled cavity involving the right middle lobe. Also, suspicious communication of this cavity with the pericardial cavity along the right atrium was seen, with minimal pericardial collection and air foci within. The pleural fluid culture showed growth of . According to the antibiotic sensitivity report, the patient was started on IV meropenem and gentamicin for 21 days while monitoring kidney functions. The patient clinically improved on antibiotics, and follow-up radiological investigations showed resolution of pneumopericardium. In this patient, pneumopericardium was mild, and there was no evidence of tension pneumopericardium. Thus, conservative management with antibiotics was provided, with successful resolution. Unlike this case, if evidence of tension pneumopericardium had been present, emergency interventions for decompression would have been required, and these cases would have had a poor prognosis. This case demonstrates the importance of high suspicion and early diagnosis of pneumopericardium in patients with necrotizing pneumonia. Prompt treatment in these patients can prevent further life-threatening sequelae.

摘要

支气管心包瘘形成导致的气胸是坏死性肺炎继发的罕见并发症。已有数例因不同化脓性细菌感染导致的此类病例报道。据报道,持续性瘘管相通会导致张力性气胸和血流动力学不稳定,需要紧急干预,如心包引流。一名41岁男性患者,已知患有慢性肾病和糖尿病,出现急性呼吸道症状。入院时,患者发热,需要经鼻吸氧支持。胸部X线显示右侧有纤维空洞性改变,心脏轮廓周围有斑片状气影及连续膈征。胸部增强计算机断层扫描(CECT)显示广泛实变区域,内有坏死区域,形成一个累及右中叶的薄壁空洞。此外,可见该空洞沿右心房与心包腔可疑相通,心包内有少量积液和气灶。胸水培养显示……生长。根据抗生素敏感性报告,患者开始静脉输注美罗培南和庆大霉素21天,同时监测肾功能。患者使用抗生素后临床症状改善,后续影像学检查显示气胸已消退。在该患者中,气胸较轻,无张力性气胸证据。因此,给予抗生素保守治疗,获得成功治愈。与该病例不同的是,如果存在张力性气胸证据,则需要进行紧急减压干预,而这些病例预后较差。该病例证明了对坏死性肺炎患者高度怀疑和气胸早期诊断的重要性。对这些患者进行及时治疗可预防进一步危及生命的后遗症。

https://cdn.ncbi.nlm.nih.gov/pmc/blobs/4262/11316567/9828b02a3f12/cureus-0016-00000064339-i01.jpg

文献检索

告别复杂PubMed语法,用中文像聊天一样搜索,搜遍4000万医学文献。AI智能推荐,让科研检索更轻松。

立即免费搜索

文件翻译

保留排版,准确专业,支持PDF/Word/PPT等文件格式,支持 12+语言互译。

免费翻译文档

深度研究

AI帮你快速写综述,25分钟生成高质量综述,智能提取关键信息,辅助科研写作。

立即免费体验