• 文献检索
  • 文档翻译
  • 深度研究
  • 学术资讯
  • Suppr Zotero 插件Zotero 插件
  • 邀请有礼
  • 套餐&价格
  • 历史记录
应用&插件
Suppr Zotero 插件Zotero 插件浏览器插件Mac 客户端Windows 客户端微信小程序
定价
高级版会员购买积分包购买API积分包
服务
文献检索文档翻译深度研究API 文档MCP 服务
关于我们
关于 Suppr公司介绍联系我们用户协议隐私条款
关注我们

Suppr 超能文献

核心技术专利:CN118964589B侵权必究
粤ICP备2023148730 号-1Suppr @ 2026

文献检索

告别复杂PubMed语法,用中文像聊天一样搜索,搜遍4000万医学文献。AI智能推荐,让科研检索更轻松。

立即免费搜索

文件翻译

保留排版,准确专业,支持PDF/Word/PPT等文件格式,支持 12+语言互译。

免费翻译文档

深度研究

AI帮你快速写综述,25分钟生成高质量综述,智能提取关键信息,辅助科研写作。

立即免费体验

创伤性小儿熊咬伤导致脑脊液漏。

Traumatic pediatric bear injury resulting in cerebrospinal fluid leakage.

作者信息

Kropp Lopez Amalie K, Lopez Richard A

机构信息

Emergency Surgery & Surgical Critical Care, Geisinger Wyoming Valley Medical Center, Wilkes Barre, PA 18711, United States.

出版信息

J Surg Case Rep. 2024 Aug 9;2024(8):rjae235. doi: 10.1093/jscr/rjae235. eCollection 2024 Aug.

DOI:10.1093/jscr/rjae235
PMID:39132082
原文链接:https://pmc.ncbi.nlm.nih.gov/articles/PMC11313568/
Abstract

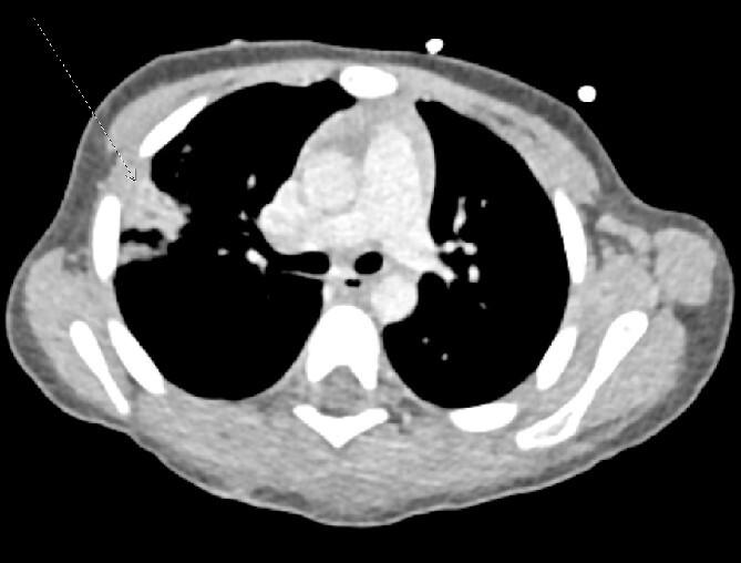
Cerebrospinal fluid (CSF) leakage is a known sequela of open traumatic skull fractures within the pediatric traumatic brain injury population. Black bears are a known entity within the region of northeast Pennsylvania. It is plausible to have a bear-human interaction resulting in significant bodily injury. A 15-month-old male presented in May 2023 as a level 1 trauma alert for a concerning wound at the base of the skull leaking clear fluid; suspicious for CSF. As a result of this interaction, significant bodily injury can occur, such as CSF leaks and traumatic skull fractures. Living in a region within a known bear population poses a minimal risk of injury. Pediatric populations are usually at a low risk for traumatic CSF leaks. Most of the CSF leaks will resolve spontaneously, without acute surgical intervention, as was seen in our patient after a traumatic bear mauling.

摘要

脑脊液(CSF)漏是小儿创伤性脑损伤人群中开放性创伤性颅骨骨折的已知后遗症。黑熊是宾夕法尼亚州东北部地区的已知物种。熊与人之间的互动导致严重身体伤害是有可能的。一名15个月大的男性于2023年5月因颅骨底部一处令人担忧的伤口有清亮液体漏出(怀疑为脑脊液)而作为1级创伤警报就诊。这种互动可能导致严重身体伤害,如脑脊液漏和创伤性颅骨骨折。生活在已知有熊的地区会带来最小的受伤风险。小儿人群通常发生创伤性脑脊液漏的风险较低。大多数脑脊液漏会自行缓解,无需急性手术干预,就像我们的患者在被熊严重袭击后那样。

https://cdn.ncbi.nlm.nih.gov/pmc/blobs/2d35/11313568/f59c65290792/rjae235f3.jpg
https://cdn.ncbi.nlm.nih.gov/pmc/blobs/2d35/11313568/6a3daaef89b0/rjae235f1.jpg
https://cdn.ncbi.nlm.nih.gov/pmc/blobs/2d35/11313568/790ccf6f6350/rjae235f2.jpg
https://cdn.ncbi.nlm.nih.gov/pmc/blobs/2d35/11313568/f59c65290792/rjae235f3.jpg
https://cdn.ncbi.nlm.nih.gov/pmc/blobs/2d35/11313568/6a3daaef89b0/rjae235f1.jpg
https://cdn.ncbi.nlm.nih.gov/pmc/blobs/2d35/11313568/790ccf6f6350/rjae235f2.jpg
https://cdn.ncbi.nlm.nih.gov/pmc/blobs/2d35/11313568/f59c65290792/rjae235f3.jpg

相似文献

1
Traumatic pediatric bear injury resulting in cerebrospinal fluid leakage.创伤性小儿熊咬伤导致脑脊液漏。
J Surg Case Rep. 2024 Aug 9;2024(8):rjae235. doi: 10.1093/jscr/rjae235. eCollection 2024 Aug.
2
Risks, costs, and outcomes of cerebrospinal fluid leaks after pediatric skull fractures: a MarketScan analysis between 2007 and 2015.2007 年至 2015 年 MarketScan 分析:小儿颅骨骨折后脑脊液漏的风险、成本和结果。
Neurosurg Focus. 2019 Nov 1;47(5):E10. doi: 10.3171/2019.8.FOCUS19543.
3
Endoscopic endonasal approaches for reconstruction of traumatic anterior skull base fractures and associated cerebrospinal fistulas: patient series.经鼻内镜入路修复创伤性前颅底骨折及相关脑脊液漏:病例系列
J Neurosurg Case Lessons. 2022 Jun 20;3(25):CASE2214. doi: 10.3171/CASE2214.
4
Persistent posttraumatic cerebrospinal fluid leakage.创伤后持续性脑脊液漏
Neurosurg Focus. 2000 Jul 15;9(1):e1. doi: 10.3171/foc.2000.9.1.1.
5
Post-traumatic cerebrospinal fluid leakage.创伤后脑脊液漏
World J Surg. 2001 Aug;25(8):1062-6. doi: 10.1007/s00268-001-0059-7.
6
Posttraumatic complications in pediatric skull fracture: dural sinus thrombosis, arterial dissection, and cerebrospinal fluid leakage.小儿颅骨骨折的创伤后并发症:硬脑膜窦血栓形成、动脉夹层分离和脑脊液漏。
J Neurosurg Pediatr. 2017 Dec;20(6):598-603. doi: 10.3171/2017.6.PEDS16702. Epub 2017 Oct 13.
7
Traumatic Nonmissile Penetrating Transnasal Anterior Skull Base Fracture and Brain Injury with Cerebrospinal Fluid Leak: Intraoperative Leak Detection and an Effective Reconstruction Procedure for a Localized Skull Base Defect Especially After Coronavirus Disease 2019 Outbreak.创伤性非弹丸经鼻前颅底骨折伴脑脊液漏和脑损伤:局部颅底缺损的术中漏诊检测和有效重建方法,特别是在 2019 冠状病毒病大流行之后。
World Neurosurg. 2020 Aug;140:166-172. doi: 10.1016/j.wneu.2020.05.236. Epub 2020 Jun 1.
8
Management of CSF leak in base of skull fractures in adults.成人颅底骨折脑脊液漏的管理
Br J Neurosurg. 2016 Dec;30(6):596-604. doi: 10.1080/02688697.2016.1229746. Epub 2016 Sep 26.
9
Risk of death in patients with post-traumatic cerebrospinal fluid leakage--analysis of 1773 cases.创伤后脑脊液漏患者的死亡风险——1773例病例分析
J Chin Med Assoc. 2016 Feb;79(2):58-64. doi: 10.1016/j.jcma.2015.10.002. Epub 2015 Nov 24.
10
Combined Transcranial-endonasal Reconstructive Surgery for Cerebrospinal Fluid Leakage Resulting from Traumatic Anterior Skull Base Fractures Involving the Parasellar Region.经颅-经鼻联合重建手术治疗累及鞍旁区的外伤性前颅底骨折所致脑脊液漏
Neurol Med Chir (Tokyo). 2021 Sep 15;61(9):557-562. doi: 10.2176/nmc.tn.2021-0085. Epub 2021 Jun 1.

本文引用的文献

1
Animal bite-associated infections: microbiology and treatment.动物咬伤相关感染:微生物学与治疗。
Expert Rev Anti Infect Ther. 2011 Feb;9(2):215-26. doi: 10.1586/eri.10.162.
2
Cerebrospinal fluid leakage--reliable diagnostic methods.脑脊液漏——可靠的诊断方法。
Clin Chim Acta. 2011 May 12;412(11-12):837-40. doi: 10.1016/j.cca.2011.02.017. Epub 2011 Feb 17.
3
Recurrent Streptococcus pneumoniae meningitis in a child with traumatic anterior cranial base defect.一名患有外伤性前颅底缺损儿童的复发性肺炎链球菌脑膜炎
Pediatr Int. 2006 Feb;48(1):91-3. doi: 10.1111/j.1442-200X.2006.02165.x.
4
Cerebrospinal fluid leakage complicating skull base fractures: analysis of 81 cases.脑脊液漏并发颅底骨折:81例分析
Neurosurg Rev. 2006 Jan;29(1):64-71. doi: 10.1007/s10143-005-0396-3. Epub 2005 Jun 4.
5
Bite club: comparative bite force in big biting mammals and the prediction of predatory behaviour in fossil taxa.咬合力俱乐部:大型咬食哺乳动物的比较咬合力及化石类群捕食行为的预测
Proc Biol Sci. 2005 Mar 22;272(1563):619-25. doi: 10.1098/rspb.2004.2986.
6
Management of cerebrospinal fluid leak associated with craniomaxillofacial trauma.颅颌面创伤相关脑脊液漏的管理
J Oral Maxillofac Surg. 2004 Jun;62(6):676-84. doi: 10.1016/j.joms.2003.08.032.