Suppr超能文献

使用两根气管插管行气管切开术进行单肺通气治疗肺挫伤所致严重气管内出血

Isolated Lung Ventilation With Tracheostomy Using Two Intubation Tubes for Severe Endotracheal Hemorrhage Due to Pulmonary Contusion.

作者信息

Matsuura Hiroshi, Matsui Yuki, Okuda Kazunori, Kishimoto Masafumi

机构信息

Emergency and Critical Care, Osaka Prefectural Nakakawachi Emergency and Critical Care Center, Osaka, JPN.

出版信息

Cureus. 2024 Jul 13;16(7):e64443. doi: 10.7759/cureus.64443. eCollection 2024 Jul.

Abstract

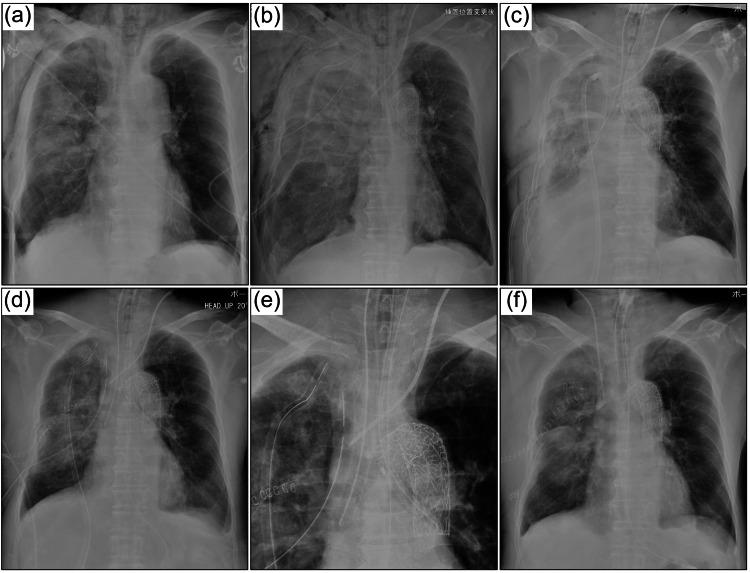
A 72-year-old man presented with severe pulmonary contusions and multiple traumas, including aortic injury, pelvic fracture, and renal injury. The patient required multidisciplinary treatment, including transcatheter arterial embolization, thoracic endovascular aortic repair, right lung upper lobe partial resection, and massive transfusion. During the initial treatment, the patient experienced respiratory failure due to endotracheal bleeding, and we attempted isolated lung ventilation with a 37 Fr double-lumen endotracheal intubation tube. Although drainage by suction and protection of the healthy lung was vital, the patient was unable to maintain ventilation volume because of poor drainage. Additionally, the respiratory status deteriorated. To resolve the situation, a tracheotomy was performed and two endotracheal intubation tubes (6.0 mm inner diameter, and 9.0 mm outer diameter) were inserted through a large U-shaped tracheal hole 18 hours after admission. The respiratory status of the patient gradually improved after the procedure. There were two advantages of this method of respiratory management. Firstly, each of the two endotracheal tubes had a separate cuff, allowing more reliable separation of the healthy lung from the injured lung. Secondly, bronchoscopes of sufficient diameter (4.9 mm outer diameter ) were used bilaterally, allowing sufficient drainage of viscous airway secretions mixed with hematoma and improving atelectasis. Although venovenous extracorporeal membrane oxygenation is a crucial support tool when the respiratory status deteriorates due to severe pulmonary contusions, our method of airway management may be attempted in patients with multiple traumatic injuries with coagulopathy.

摘要

一名72岁男性因严重肺挫伤及多处创伤入院,包括主动脉损伤、骨盆骨折和肾损伤。患者需要多学科治疗,包括经导管动脉栓塞术、胸主动脉腔内修复术、右肺上叶部分切除术及大量输血。在初始治疗期间,患者因气管内出血出现呼吸衰竭,我们尝试使用37 Fr双腔气管插管进行单肺通气。尽管通过吸引进行引流及保护健侧肺至关重要,但由于引流不畅,患者无法维持通气量。此外,呼吸状况恶化。为解决这一情况,入院18小时后行气管切开术,并通过一个大的U形气管造口插入两根气管插管(内径6.0 mm,外径9.0 mm)。术后患者的呼吸状况逐渐改善。这种呼吸管理方法有两个优点。首先,两根气管插管各有一个单独的套囊,能更可靠地将健侧肺与损伤肺分隔开。其次,双侧使用了足够直径(外径4.9 mm)的支气管镜,能充分引流混有血肿的黏稠气道分泌物并改善肺不张。尽管当因严重肺挫伤导致呼吸状况恶化时,静脉-静脉体外膜肺氧合是一种关键的支持工具,但对于合并凝血病的多发创伤患者,可尝试我们的气道管理方法。

https://cdn.ncbi.nlm.nih.gov/pmc/blobs/b1c0/11317845/59b622631967/cureus-0016-00000064443-i01.jpg

文献检索

告别复杂PubMed语法,用中文像聊天一样搜索,搜遍4000万医学文献。AI智能推荐,让科研检索更轻松。

立即免费搜索

文件翻译

保留排版,准确专业,支持PDF/Word/PPT等文件格式,支持 12+语言互译。

免费翻译文档

深度研究

AI帮你快速写综述,25分钟生成高质量综述,智能提取关键信息,辅助科研写作。

立即免费体验