• 文献检索
  • 文档翻译
  • 深度研究
  • 学术资讯
  • Suppr Zotero 插件Zotero 插件
  • 邀请有礼
  • 套餐&价格
  • 历史记录
应用&插件
Suppr Zotero 插件Zotero 插件浏览器插件Mac 客户端Windows 客户端微信小程序
定价
高级版会员购买积分包购买API积分包
服务
文献检索文档翻译深度研究API 文档MCP 服务
关于我们
关于 Suppr公司介绍联系我们用户协议隐私条款
关注我们

Suppr 超能文献

核心技术专利:CN118964589B侵权必究
粤ICP备2023148730 号-1Suppr @ 2026

文献检索

告别复杂PubMed语法,用中文像聊天一样搜索,搜遍4000万医学文献。AI智能推荐,让科研检索更轻松。

立即免费搜索

文件翻译

保留排版,准确专业,支持PDF/Word/PPT等文件格式,支持 12+语言互译。

免费翻译文档

深度研究

AI帮你快速写综述,25分钟生成高质量综述,智能提取关键信息,辅助科研写作。

立即免费体验

辅助抽吸技术在眼眶深部海绵状血管瘤手术治疗中的应用。

Adjunctive aspiration technique for the surgical management of deep orbital cavernous hemangioma.

机构信息

College of Medicine, Taipei Medical University, Taipei, Taiwan.

College of Medicine, National Taiwan University, Taipei, Taiwan.

出版信息

Indian J Ophthalmol. 2024 Nov 1;72(Suppl 5):S919-S922. doi: 10.4103/IJO.IJO_2589_23. Epub 2024 Aug 14.

DOI:10.4103/IJO.IJO_2589_23
PMID:39141504
原文链接:https://pmc.ncbi.nlm.nih.gov/articles/PMC11670842/
Abstract

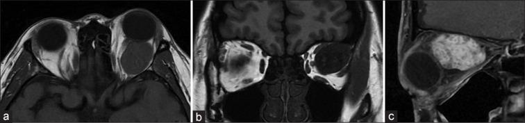
To propose a needle aspiration technique for the surgical removal of orbital cavernous hemangioma. In this retrospective case series, we enrolled 13 patients with orbital cavernous hemangioma, who underwent excisional surgery assisted with needle aspiration technique from June 2013 to April 2022. Preoperative symptoms, clinical examination, and imaging features were recorded. Surgical outcomes, including the improvement of visual acuity, proptosis, and ocular motility, were assessed. Postoperative complications were also reported. There were 11 female and two male patients, with a mean age of 50.2 ± 8.0 years (range: 38-61 years). The most common symptom was proptosis (12 cases, 92%), followed by blurred vision (6 cases, 46%). The diameter of the lesions was between 1.8 and 3.2 cm on preoperative imaging. The surgical approaches included sub-brow orbitotomy in 11 patients and the inferior transconjunctival approach in two cases. All the tumors were removed successfully after needle aspiration of 1-3 cc of intralesional blood to reduce the tumor size. Preoperative proptosis, blurred vision, and diplopia improved after the surgery in all cases. There were no serious complications or recurrence of orbital hemangioma. The study presented an effective application of the needle aspiration technique in the surgical management of orbital cavernous hemangioma. Such an innovative method can bring significant benefits, especially for those with large cavernous hemangioma within the deep orbital region.

摘要

提出一种用于手术切除眼眶海绵状血管瘤的针吸技术。在这项回顾性病例系列研究中,我们纳入了 2013 年 6 月至 2022 年 4 月期间接受针吸辅助切除术治疗的 13 例眼眶海绵状血管瘤患者。记录了术前症状、临床检查和影像学特征。评估了手术结果,包括视力、眼球突出度和眼球运动的改善。还报告了术后并发症。患者中 11 例为女性,2 例为男性,平均年龄为 50.2 ± 8.0 岁(范围:38-61 岁)。最常见的症状是眼球突出(12 例,92%),其次是视力模糊(6 例,46%)。术前影像学上病变直径为 1.8-3.2cm。手术入路包括 11 例经眉弓眶切开术和 2 例经下经结膜入路。所有肿瘤在经皮抽吸 1-3cc 瘤内血液以缩小肿瘤体积后均成功切除。所有患者的术前眼球突出度、视力模糊和复视在手术后均得到改善。无严重并发症或眼眶血管瘤复发。本研究提出了一种在眼眶海绵状血管瘤的外科治疗中应用针吸技术的有效方法。这种创新的方法特别适用于深部眼眶内大的海绵状血管瘤患者。

https://cdn.ncbi.nlm.nih.gov/pmc/blobs/bf63/11670842/127fd462817a/IJO-72-919-g002.jpg
https://cdn.ncbi.nlm.nih.gov/pmc/blobs/bf63/11670842/5d724906245c/IJO-72-919-g001.jpg
https://cdn.ncbi.nlm.nih.gov/pmc/blobs/bf63/11670842/127fd462817a/IJO-72-919-g002.jpg
https://cdn.ncbi.nlm.nih.gov/pmc/blobs/bf63/11670842/5d724906245c/IJO-72-919-g001.jpg
https://cdn.ncbi.nlm.nih.gov/pmc/blobs/bf63/11670842/127fd462817a/IJO-72-919-g002.jpg

相似文献

1
Adjunctive aspiration technique for the surgical management of deep orbital cavernous hemangioma.辅助抽吸技术在眼眶深部海绵状血管瘤手术治疗中的应用。
Indian J Ophthalmol. 2024 Nov 1;72(Suppl 5):S919-S922. doi: 10.4103/IJO.IJO_2589_23. Epub 2024 Aug 14.
2
Transconjunctival orbitotomy for orbital cavernous hemangiomas.经结膜眼眶切开术治疗眼眶海绵状血管瘤
Can J Ophthalmol. 2008 Apr;43(2):234-8. doi: 10.3129/i08-005.
3
[Management of orbital cavernous hemangioma - evaluation of surgical approaches: report of 43 cases].[眼眶海绵状血管瘤的治疗——手术入路评估:43例报告]
J Fr Ophtalmol. 2013 Dec;36(10):820-9. doi: 10.1016/j.jfo.2013.04.009. Epub 2013 Oct 10.
4
Cavernous hemangioma of the orbit: analysis of 214 cases.眼眶海绵状血管瘤:214例分析
Orbit. 2004 Mar;23(1):33-40. doi: 10.1076/orbi.23.1.33.28992.
5
[Analysis of the effect of different surgical methods on the cavernous hemangioma of the deep orbit].[不同手术方法对眼眶深部海绵状血管瘤的疗效分析]
Zhonghua Yan Ke Za Zhi. 2017 Apr 11;53(4):288-293. doi: 10.3760/cma.j.issn.0412-4081.2017.04.011.
6
Surgical outcomes of transconjunctival anterior orbitotomy for intraconal orbital cavernous hemangioma.经结膜前路眼眶切开术治疗眶内海绵状血管瘤的手术效果
Korean J Ophthalmol. 2010 Oct;24(5):274-8. doi: 10.3341/kjo.2010.24.5.274. Epub 2010 Oct 5.
7
Orbital cavernous hemangioma of childhood.儿童眼眶海绵状血管瘤
Indian J Ophthalmol. 2007 Jul-Aug;55(4):313-5. doi: 10.4103/0301-4738.33052.
8
Cavernous venous malformation (cavernous hemangioma) of the orbit: Current concepts and a review of the literature.眼眶海绵状静脉畸形(海绵状血管瘤):当前概念及文献综述
Surv Ophthalmol. 2017 Jul-Aug;62(4):393-403. doi: 10.1016/j.survophthal.2017.01.004. Epub 2017 Jan 26.
9
[Diagnosis and surgical management of 209 cases of orbital cavernous hemangioma].209例眼眶海绵状血管瘤的诊断与手术治疗
Zhonghua Yan Ke Za Zhi. 2006 Apr;42(4):323-5.
10
[Removal of lateral orbital wall for management of orbital cavernous hemangioma].[经外侧眶壁入路切除眶海绵状血管瘤]
J Fr Ophtalmol. 2014 Jan;37(1):18-22. doi: 10.1016/j.jfo.2012.06.028. Epub 2013 Nov 15.

本文引用的文献

1
Prognosis Analysis and Clinical Features of Orbital Cavernous Venous Malformations With Refractory Insidious Onset.隐匿性难治性眼眶海绵状静脉畸形的预后分析及临床特征
Front Oncol. 2022 Feb 1;11:745479. doi: 10.3389/fonc.2021.745479. eCollection 2021.
2
Orbitozygomatic approach for large orbital cavernous hemangioma.眶颧入路治疗大型眼眶海绵状血管瘤
Surg Neurol Int. 2021 Jun 28;12:320. doi: 10.25259/SNI_274_2021. eCollection 2021.
3
Postoperative severe visual impairment: surgical outcome of 165 patients with orbital tumours in the muscle cone.
术后严重视力障碍:肌锥内眼眶肿瘤 165 例手术结果。
Eye (Lond). 2021 Sep;35(9):2535-2542. doi: 10.1038/s41433-020-01270-7. Epub 2020 Nov 12.
4
Cavernous venous malformation (cavernous hemangioma) of the orbit: Current concepts and a review of the literature.眼眶海绵状静脉畸形(海绵状血管瘤):当前概念及文献综述
Surv Ophthalmol. 2017 Jul-Aug;62(4):393-403. doi: 10.1016/j.survophthal.2017.01.004. Epub 2017 Jan 26.
5
Orbital Tumors Excision without Bony Marginotomy under Local and General Anesthesia.局部及全身麻醉下无眶骨切开的眼眶肿瘤切除术
J Ophthalmol. 2014;2014:424852. doi: 10.1155/2014/424852. Epub 2014 Apr 14.
6
Surgical outcomes of transconjunctival anterior orbitotomy for intraconal orbital cavernous hemangioma.经结膜前路眼眶切开术治疗眶内海绵状血管瘤的手术效果
Korean J Ophthalmol. 2010 Oct;24(5):274-8. doi: 10.3341/kjo.2010.24.5.274. Epub 2010 Oct 5.
7
Transconjunctival orbitotomy for orbital cavernous hemangiomas.经结膜眼眶切开术治疗眼眶海绵状血管瘤
Can J Ophthalmol. 2008 Apr;43(2):234-8. doi: 10.3129/i08-005.
8
[Diagnosis and surgical management of 209 cases of orbital cavernous hemangioma].209例眼眶海绵状血管瘤的诊断与手术治疗
Zhonghua Yan Ke Za Zhi. 2006 Apr;42(4):323-5.
9
Treatment and long-term outcome of patients with orbital cavernomas.眼眶海绵状血管瘤患者的治疗及长期预后
Am J Ophthalmol. 2004 Aug;138(2):237-44. doi: 10.1016/j.ajo.2004.03.011.
10
Surgical outcome of transconjunctival cryosurgical extraction of orbital cavernous hemangioma.经结膜冷冻手术摘除眼眶海绵状血管瘤的手术结果
Ophthalmic Surg Lasers. 1998 Dec;29(12):969-73.