Suppr超能文献

线吸引器编码情感状态的因果证据。

Causal evidence of a line attractor encoding an affective state.

机构信息

Division of Biology and Biological Engineering, California Institute of Technology, Pasadena, CA, USA.

Tianqiao and Chrissy Chen Institute for Neuroscience Caltech, Pasadena, CA, USA.

出版信息

Nature. 2024 Oct;634(8035):910-918. doi: 10.1038/s41586-024-07915-x. Epub 2024 Aug 14.

Abstract

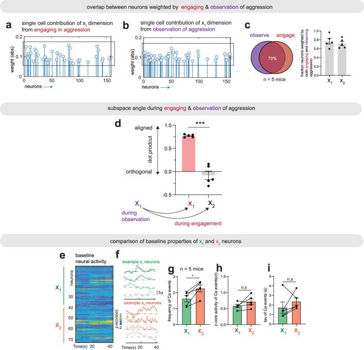
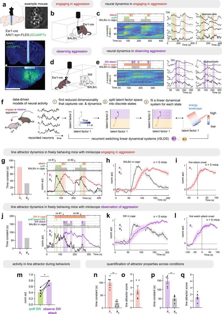
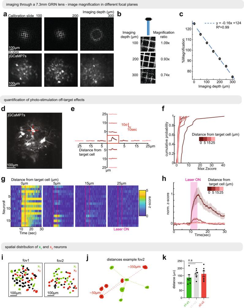
Continuous attractors are an emergent property of neural population dynamics that have been hypothesized to encode continuous variables such as head direction and eye position. In mammals, direct evidence of neural implementation of a continuous attractor has been hindered by the challenge of targeting perturbations to specific neurons within contributing ensembles. Dynamical systems modelling has revealed that neurons in the hypothalamus exhibit approximate line-attractor dynamics in male mice during aggressive encounters. We have previously hypothesized that these dynamics may encode the variable intensity and persistence of an aggressive internal state. Here we report that these neurons also showed line-attractor dynamics in head-fixed mice observing aggression. This allowed us to identify and manipulate line-attractor-contributing neurons using two-photon calcium imaging and holographic optogenetic perturbations. On-manifold perturbations yielded integration of optogenetic stimulation pulses and persistent activity that drove the system along the line attractor, while transient off-manifold perturbations were followed by rapid relaxation back into the attractor. Furthermore, single-cell stimulation and imaging revealed selective functional connectivity among attractor-contributing neurons. Notably, individual differences among mice in line-attractor stability were correlated with the degree of functional connectivity among attractor-contributing neurons. Mechanistic recurrent neural network modelling indicated that dense subnetwork connectivity and slow neurotransmission best recapitulate our empirical findings. Our work bridges circuit and manifold levels, providing causal evidence of continuous attractor dynamics encoding an affective internal state in the mammalian hypothalamus.

摘要

连续吸引子是神经群体动力学的一个涌现特性,据推测它可以编码头方向和眼位置等连续变量。在哺乳动物中,由于难以将干扰精确靶向到特定的神经元,因此对连续吸引子的神经实现的直接证据一直受到阻碍。动力系统建模表明,在雄性小鼠的攻击性行为中,下丘脑的神经元表现出近似的线吸引子动力学。我们之前假设,这些动力学可能编码攻击性行为的内部状态的可变强度和持久性。在这里,我们报告说,这些神经元在头固定的小鼠观察攻击行为时也表现出线吸引子动力学。这使我们能够使用双光子钙成像和全息光遗传学干扰来识别和操纵线吸引子贡献神经元。在线吸引子上的干扰产生了光遗传学刺激脉冲的整合和持久活动,从而使系统沿着线吸引子运动,而在线吸引子之外的短暂干扰则会迅速恢复到吸引子中。此外,单细胞刺激和成像显示出吸引子贡献神经元之间的选择性功能连接。值得注意的是,老鼠在线吸引子稳定性方面的个体差异与吸引子贡献神经元之间的功能连接程度相关。机制递归神经网络模型表明,密集子网连接和慢神经递质传输最好地再现了我们的经验发现。我们的工作在回路和流形水平之间架起了桥梁,为哺乳动物下丘脑连续吸引子动力学编码情感内部状态提供了因果证据。

https://cdn.ncbi.nlm.nih.gov/pmc/blobs/6cde/11499281/6d0f06b6931d/41586_2024_7915_Fig1_HTML.jpg

文献检索

告别复杂PubMed语法,用中文像聊天一样搜索,搜遍4000万医学文献。AI智能推荐,让科研检索更轻松。

立即免费搜索

文件翻译

保留排版,准确专业,支持PDF/Word/PPT等文件格式,支持 12+语言互译。

免费翻译文档

深度研究

AI帮你快速写综述,25分钟生成高质量综述,智能提取关键信息,辅助科研写作。

立即免费体验