Suppr超能文献

同源细胞-细胞结构作为非小细胞肺癌的一种新的预后预测因子,常位于侵袭前沿。

Homotypic cell-in-cell structure as a novel prognostic predictor in non-small cell lung cancer and frequently localized at the invasive front.

机构信息

Department of Pathology, The Second Affiliated Hospital of Xi'an Jiaotong University, Xi'an, ShaanXi, China.

Department of Respiratory Medicine, The Second Affiliated Hospital of Xi'an Jiaotong University, Xi'an, ShaanXi, China.

出版信息

Sci Rep. 2024 Aug 15;14(1):18952. doi: 10.1038/s41598-024-69833-2.

Abstract

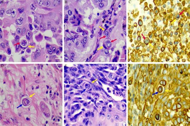
Homotypic cell-in-cell structures (hoCICs) are associated with tumor proliferation, invasion, and metastasis and is considered a promising prognostic marker in various cancers. However, the role of hoCICs in non-small cell lung cancer (NSCLC) remains unclear. Tumor tissue sections were obtained from 411 NSCLC patients. We analyzed the relationship between clinicopathological variables and the number of hoCICs. LASSO and multivariate Cox regression analysis were employed to identify prognostic factors for NSCLC. The impact of hoCICs on overall survival (OS) and disease-free survival (DFS) was assessed using the Kaplan-Meier curves and log-rank test. Prognostic models for OS and DFS were developed and validated using the C-index, time-dependent area under the curve (AUC), net reclassification improvement (NRI), integrated discrimination improvement (IDI), calibration curves and decision curve analysis (DCA). Among the cohort, 56% of patients had hoCICs while 44% did not. Notably, hoCICs were primarily found at the tumor invasion front. Male gender, smoking, squamous cell carcinoma, low differentiation, tumor size ≥ 3 cm, advanced TNM stage, lymph node metastasis, pleural invasion, vascular invasion, necrosis, P53 mutation, and high expression of Ki-67 were identified as relative risk factors for hoCICs. Furthermore, hoCICs was found to be a significant prognostic factor for both OS and DFS, with higher frequencies of hoCICs correlating with poorer outcomes. We constructed nomograms for predicting 1-, 3-, and 5-year OS and DFS based on hoCICs, and the calibration curves showed good agreement between the predicted and actual outcomes. The results of the C-index, time-dependent AUC, NRI, IDI, and DCA analyses demonstrated that incorporating hoCICs into the prognostic model significantly enhanced its predictive power and clinical applicability. HoCICs indicated independent perdictive value for OS and DFS in patients with NSCLC. Furthermore, the frequent localization of hoCICs at the tumor invasion front suggested a strong association between hoCICs and tumor invasion as well as metastasis.

摘要

同质细胞内细胞结构(hoCICs)与肿瘤增殖、侵袭和转移相关,被认为是各种癌症中有前途的预后标志物。然而,hoCICs 在非小细胞肺癌(NSCLC)中的作用尚不清楚。本研究收集了 411 例 NSCLC 患者的肿瘤组织切片,分析了 hoCICs 与临床病理变量之间的关系,采用 LASSO 和多因素 Cox 回归分析筛选 NSCLC 的预后因素,采用 Kaplan-Meier 曲线和对数秩检验评估 hoCICs 对总生存(OS)和无病生存(DFS)的影响,通过 C 指数、时间依赖性曲线下面积(AUC)、净重新分类改善(NRI)、综合判别改善(IDI)、校准曲线和决策曲线分析(DCA)构建和验证 OS 和 DFS 的预测模型。在本研究队列中,56%的患者存在 hoCICs,44%的患者不存在 hoCICs。值得注意的是,hoCICs 主要位于肿瘤侵袭前沿。男性、吸烟史、鳞癌、低分化、肿瘤直径≥3cm、TNM 分期较晚、淋巴结转移、胸膜侵犯、血管侵犯、坏死、P53 突变和 Ki-67 高表达是 hoCICs 的相对危险因素。此外,hoCICs 是 OS 和 DFS 的显著预后因素,hoCICs 频率越高,患者预后越差。我们构建了基于 hoCICs 预测 1、3 和 5 年 OS 和 DFS 的列线图,校准曲线显示预测结果与实际结果吻合良好。C 指数、时间依赖性 AUC、NRI、IDI 和 DCA 分析结果表明,将 hoCICs 纳入预后模型可显著提高其预测能力和临床适用性。hoCICs 对 NSCLC 患者的 OS 和 DFS 具有独立的预测价值。此外,hoCICs 主要位于肿瘤侵袭前沿,提示 hoCICs 与肿瘤侵袭和转移密切相关。

https://cdn.ncbi.nlm.nih.gov/pmc/blobs/d342/11327305/286e529e8f06/41598_2024_69833_Fig1_HTML.jpg

文献检索

告别复杂PubMed语法,用中文像聊天一样搜索,搜遍4000万医学文献。AI智能推荐,让科研检索更轻松。

立即免费搜索

文件翻译

保留排版,准确专业,支持PDF/Word/PPT等文件格式,支持 12+语言互译。

免费翻译文档

深度研究

AI帮你快速写综述,25分钟生成高质量综述,智能提取关键信息,辅助科研写作。

立即免费体验