Suppr超能文献

一名患有视幻觉和偏盲的老年患者的新发枕叶癫痫

New-Onset Occipital Lobe Epilepsy in an Elderly Patient With Visual Hallucinations and Hemianopia.

作者信息

Milosavljevic Katarina, Eun Yong, Roy Pooja, Fawzy Salama

机构信息

Anatomy, Touro College of Osteopathic Medicine, New York City, USA.

Internal Medicine, Harlem Hospital Center, New York City, USA.

出版信息

Cureus. 2024 Jul 19;16(7):e64903. doi: 10.7759/cureus.64903. eCollection 2024 Jul.

Abstract

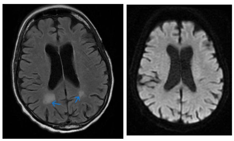
Occipital lobe epilepsies (OLEs) are a subset of epileptic disorders manifesting predominantly with visual and oculomotor abnormalities that are often misdiagnosed due to similarities with migraines with visual aura and other central nervous system (CNS) pathologies. This case study describes an 88-year-old male with a three-week history of intermittent kaleidoscopic visual phenomena, accompanied by blurring of vision and altered level of consciousness. Neurological examination revealed right homonymous hemianopsia and focal neurological deficits, including forced right gaze preference and nystagmus. Diagnostic modalities, MRI and MRA, ruled out ischemic stroke but indicated mild to moderate cerebral atrophy and chronic microvascular ischemic changes. The patient exhibited a seizure episode characterized by right-sided gaze preference and altered consciousness. Postictally, transient right homonymous hemianopsia was observed, consistent with Todd's phenomenon. Treatment with intravenous levetiracetam and lorazepam led to a reduction in seizure frequency. This case highlights the importance of comprehensive evaluation in distinguishing OLEs from other conditions with similar visual presentations like migraine with aura or occipital lobe stroke being more predominant.

摘要

枕叶癫痫(OLEs)是癫痫性疾病的一个子集,主要表现为视觉和眼球运动异常,由于与伴有视觉先兆的偏头痛及其他中枢神经系统(CNS)疾病相似,常被误诊。本病例研究描述了一名88岁男性,有三周间歇性万花筒样视觉现象病史,伴有视力模糊和意识水平改变。神经系统检查发现右侧同向性偏盲和局灶性神经功能缺损,包括强迫性右侧凝视偏好和眼球震颤。诊断方法MRI和MRA排除了缺血性中风,但显示轻度至中度脑萎缩和慢性微血管缺血性改变。患者出现了以右侧凝视偏好和意识改变为特征的癫痫发作。发作后,观察到短暂性右侧同向性偏盲,符合托德现象。静脉注射左乙拉西坦和劳拉西泮治疗使癫痫发作频率降低。本病例强调了全面评估在区分枕叶癫痫与其他具有类似视觉表现的疾病(如伴有先兆的偏头痛或更常见的枕叶中风)中的重要性。

https://cdn.ncbi.nlm.nih.gov/pmc/blobs/6d7f/11330621/915f93a33983/cureus-0016-00000064903-i01.jpg

文献AI研究员

20分钟写一篇综述,助力文献阅读效率提升50倍。

立即体验

用中文搜PubMed

大模型驱动的PubMed中文搜索引擎

马上搜索

文档翻译

学术文献翻译模型,支持多种主流文档格式。

立即体验