Suppr超能文献

成人肝未分化胚胎性肉瘤的活体肝移植:一例报告

Living Donor Liver Transplantation for Adult Hepatic Undifferentiated Embryonal Sarcoma: A Case Report.

作者信息

Shafique Usman, Shafi Azhar, Ali Zafar, Faiz Belqees Yawar, Bhatti Abu Bakar Hafeez

机构信息

Department of Hepatobiliary Surgery and Liver Transplantation, Shifa International Hospital, Islamabad, Pakistan.

Department of Medical Oncology, Shifa International Hospital, Islamabad, Pakistan.

出版信息

J Cancer Allied Spec. 2024 Aug 16;10(2):599. doi: 10.37029/jcas.v10i2.599. eCollection 2024.

Abstract

INTRODUCTION

Undifferentiated embryonal sarcoma of the liver (UESL) is an aggressive tumor. There is no established treatment, and it is an uncommon tumor in adults. Treatment usually involves a combination of surgery, chemotherapy, and occasionally liver transplantation (LT). The role of LT in patients with irresectable UESL merits exploration.

CASE DESCRIPTION

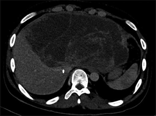
A 20-year-old boy with a large palpable abdominal mass, shortness of breath, and weight loss presented to our clinic. His computed tomography scan showed showed a large cystic lesion measuring 11.5 × 22.7 × 23 cm, predominantly involving the left lobe and right anterior sector, with a biopsy consistent with UESL. The tumor was abutting to the right hepatic vein, with bland main portal vein thrombosis. Due to an irresectable tumor and deteriorating clinical condition, living donor LT was performed. The patient remains in good health at 16 months of follow-up.

PRACTICAL IMPLICATION

In carefully selected patients with UESL, when other options are not feasible, LT might prolong survival and improve quality of life.

摘要

引言

肝脏未分化胚胎性肉瘤(UESL)是一种侵袭性肿瘤。目前尚无既定的治疗方法,且在成人中是一种罕见肿瘤。治疗通常包括手术、化疗,偶尔还包括肝移植(LT)。LT在无法切除的UESL患者中的作用值得探讨。

病例描述

一名20岁男孩因可触及的腹部肿块、呼吸急促和体重减轻前来我院就诊。他的计算机断层扫描显示一个11.5×22.7×23厘米的大囊性病变,主要累及左叶和右前叶,活检结果与UESL一致。肿瘤紧邻右肝静脉,主门静脉有非血栓性病变。由于肿瘤无法切除且临床状况恶化,进行了活体供体肝移植。随访16个月时,患者健康状况良好。

实际意义

在精心挑选的UESL患者中,当其他选择不可行时,肝移植可能会延长生存期并改善生活质量。

https://cdn.ncbi.nlm.nih.gov/pmc/blobs/6707/11326664/19e0b8d7cf8b/JCAS-10-599-g001.jpg

文献检索

告别复杂PubMed语法,用中文像聊天一样搜索,搜遍4000万医学文献。AI智能推荐,让科研检索更轻松。

立即免费搜索

文件翻译

保留排版,准确专业,支持PDF/Word/PPT等文件格式,支持 12+语言互译。

免费翻译文档

深度研究

AI帮你快速写综述,25分钟生成高质量综述,智能提取关键信息,辅助科研写作。

立即免费体验