Suppr超能文献

肾动脉瘤破裂酷似卵巢囊肿破裂:一例报告

Renal Artery Aneurysm Rupture as a Dangerous Mimic of Ovarian Cyst Rupture: A Case Report.

作者信息

Kaplan Lauren, Shah Kaushal H, Lech Christie, Gorlick Mary-Kate

机构信息

New York-Presbyterian Hospital, New York, New York.

New York-Presbyterian Hospital; Weill Cornell Medical Center, Department of Emergency Medicine, New York, New York.

出版信息

Clin Pract Cases Emerg Med. 2024 Aug;8(3):194-196. doi: 10.5811/cpcem.1585.

Abstract

INTRODUCTION

Renal artery aneurysm rupture is a rare but morbid diagnosis, often requiring emergency surgery and nephrectomy. Clinical presentation can mimic more common pathology in non-pregnant women such as ruptured ovarian cyst.

CASE REPORT

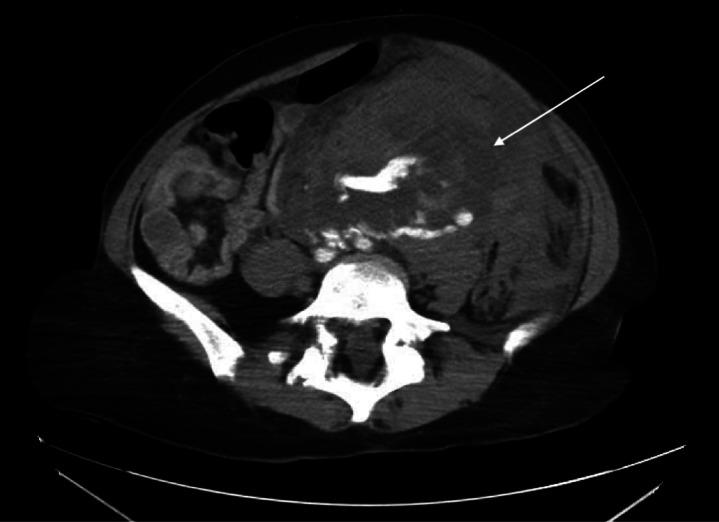
We present a case of a woman with a prior history of ovarian cyst presenting with a ruptured renal artery aneurysm. Prompt computed tomography (CT) imaging revealed a left renal artery aneurysm rupture with hemoperitoneum and renal infarct. She underwent emergency laparotomy and nephrectomy and was ultimately discharged in good condition.

CONCLUSION

While ovarian cyst rupture is the most common cause of spontaneous hemoperitoneum in non-pregnant women of childbearing age, renal artery aneurysm rupture should be considered and prompt CT imaging obtained, particularly in cases of hemodynamic instability, to ensure prompt treatment.

摘要

引言

肾动脉动脉瘤破裂是一种罕见但严重的诊断,通常需要紧急手术和肾切除术。临床表现可能类似于非孕妇中更常见的病理情况,如卵巢囊肿破裂。

病例报告

我们报告一例有卵巢囊肿病史的女性出现肾动脉动脉瘤破裂的病例。及时的计算机断层扫描(CT)成像显示左肾动脉动脉瘤破裂伴腹腔积血和肾梗死。她接受了紧急剖腹手术和肾切除术,最终康复出院。

结论

虽然卵巢囊肿破裂是育龄非孕妇自发性腹腔积血最常见的原因,但应考虑肾动脉动脉瘤破裂,并及时进行CT成像,特别是在血流动力学不稳定的情况下,以确保及时治疗。

https://cdn.ncbi.nlm.nih.gov/pmc/blobs/1b9e/11326061/84fe6a3257fd/cpcem-8-194-g001.jpg

文献检索

告别复杂PubMed语法,用中文像聊天一样搜索,搜遍4000万医学文献。AI智能推荐,让科研检索更轻松。

立即免费搜索

文件翻译

保留排版,准确专业,支持PDF/Word/PPT等文件格式,支持 12+语言互译。

免费翻译文档

深度研究

AI帮你快速写综述,25分钟生成高质量综述,智能提取关键信息,辅助科研写作。

立即免费体验