Suppr超能文献

靶向 miR-29 可减轻骨骼衰老并增强间充质基质细胞的治疗潜力。

Targeting miR-29 mitigates skeletal senescence and bolsters therapeutic potential of mesenchymal stromal cells.

机构信息

Department of Biochemistry, School of Medicine, Guangdong Provincial Key Laboratory of Cell Microenvironment and Disease Research, Key University Laboratory of Metabolism and Health of Guangdong, Southern University of Science and Technology, Shenzhen 518055, China.

Department of Biochemistry, School of Medicine, Guangdong Provincial Key Laboratory of Cell Microenvironment and Disease Research, Key University Laboratory of Metabolism and Health of Guangdong, Southern University of Science and Technology, Shenzhen 518055, China.

出版信息

Cell Rep Med. 2024 Aug 20;5(8):101665. doi: 10.1016/j.xcrm.2024.101665.

Abstract

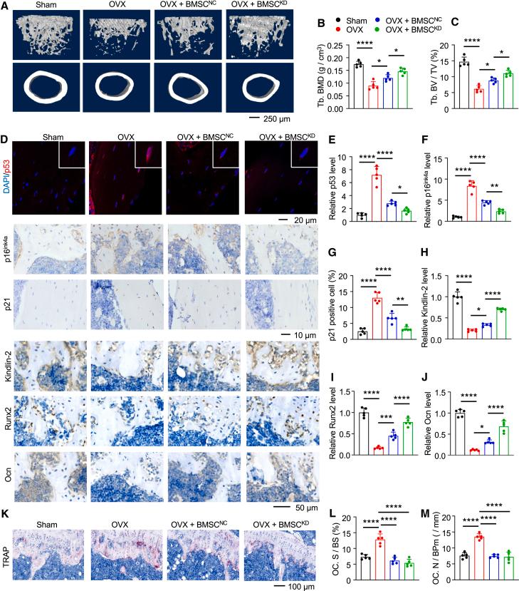
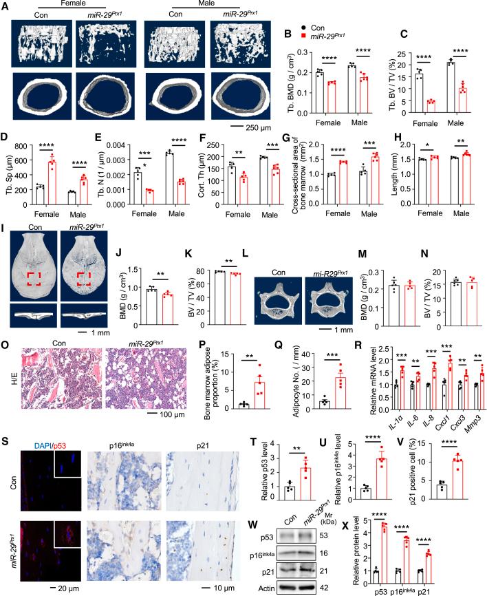
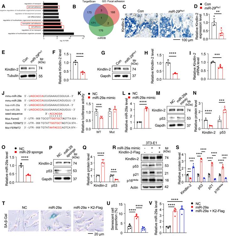
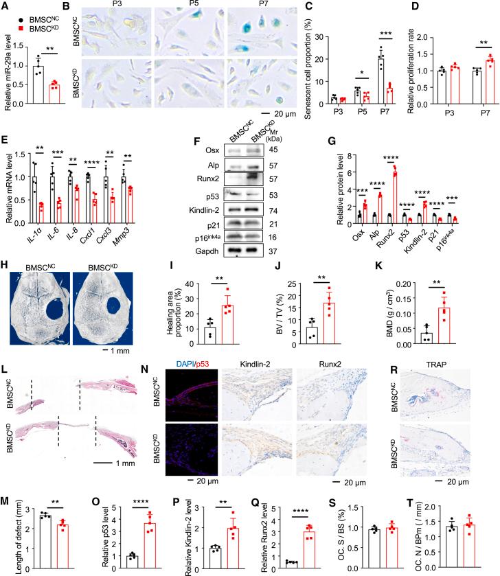
Mesenchymal stromal cell (MSC) senescence is a key factor in skeletal aging, affecting the potential of MSC applications. Identifying targets to prevent MSC and skeletal senescence is crucial. Here, we report increased miR-29 expression in bone tissues of aged mice, osteoporotic patients, and senescent MSCs. Genetic overexpression of miR-29 in Prx1-positive MSCs significantly accelerates skeletal senescence, reducing cortical bone thickness and trabecular bone mass, while increasing femur cross-sectional area, bone marrow adiposity, p53, and senescence-associated secretory phenotype (SASP) levels. Mechanistically, miR-29 promotes senescence by upregulating p53 via targeting Kindlin-2 mRNA. miR-29 knockdown in BMSCs impedes skeletal senescence, enhances bone mass, and accelerates calvarial defect regeneration, also reducing lipopolysaccharide (LPS)-induced organ injuries and mortality. Thus, our findings underscore miR-29 as a promising therapeutic target for senescence-related skeletal diseases and acute inflammation-induced organ damage.

摘要

间充质基质细胞(MSC)衰老 是骨骼老化的关键因素,影响 MSC 应用的潜力。确定预防 MSC 和骨骼衰老的靶点至关重要。在这里,我们报告在老年小鼠、骨质疏松症患者和衰老 MSC 的骨组织中 miR-29 表达增加。Prx1 阳性 MSC 中 miR-29 的遗传过表达显着加速骨骼衰老,减少皮质骨厚度和小梁骨量,同时增加股骨横截面积、骨髓脂肪含量、p53 和衰老相关分泌表型(SASP)水平。在机制上,miR-29 通过靶向 Kindlin-2 mRNA 上调 p53 来促进衰老。BMSCs 中的 miR-29 敲低可阻止骨骼衰老,增加骨量并加速颅骨缺陷再生,还可减少脂多糖(LPS)诱导的器官损伤和死亡率。因此,我们的研究结果强调了 miR-29 作为与衰老相关的骨骼疾病和急性炎症诱导的器官损伤的有希望的治疗靶点。

https://cdn.ncbi.nlm.nih.gov/pmc/blobs/0362/11384963/8bb14759a322/fx1.jpg

文献检索

告别复杂PubMed语法,用中文像聊天一样搜索,搜遍4000万医学文献。AI智能推荐,让科研检索更轻松。

立即免费搜索

文件翻译

保留排版,准确专业,支持PDF/Word/PPT等文件格式,支持 12+语言互译。

免费翻译文档

深度研究

AI帮你快速写综述,25分钟生成高质量综述,智能提取关键信息,辅助科研写作。

立即免费体验