• 文献检索
  • 文档翻译
  • 深度研究
  • 学术资讯
  • Suppr Zotero 插件Zotero 插件
  • 邀请有礼
  • 套餐&价格
  • 历史记录
应用&插件
Suppr Zotero 插件Zotero 插件浏览器插件Mac 客户端Windows 客户端微信小程序
定价
高级版会员购买积分包购买API积分包
服务
文献检索文档翻译深度研究API 文档MCP 服务
关于我们
关于 Suppr公司介绍联系我们用户协议隐私条款
关注我们

Suppr 超能文献

核心技术专利:CN118964589B侵权必究
粤ICP备2023148730 号-1Suppr @ 2026

文献检索

告别复杂PubMed语法,用中文像聊天一样搜索,搜遍4000万医学文献。AI智能推荐,让科研检索更轻松。

立即免费搜索

文件翻译

保留排版,准确专业,支持PDF/Word/PPT等文件格式,支持 12+语言互译。

免费翻译文档

深度研究

AI帮你快速写综述,25分钟生成高质量综述,智能提取关键信息,辅助科研写作。

立即免费体验

经动脉注射阿霉素洗脱微球栓塞术治疗耻骨区硬纤维瘤病

Transarterial doxorubicin-eluting beads embolization for the treatment of desmoid fibromatosis in the pubic region.

作者信息

Tuan Nguyen Huynh Nhat, Hai Tran Duc, Minh Le Nhat, Than Ton Long Hoang, Tu Pham Dang, Bao Nguyen Van Tien, Van Khoa Le, Dang Thai Ngoc, Van Phuoc Le

机构信息

Department of radiology, Cho Ray Hospital, Ho Chi Minh City, Viet Nam.

出版信息

Radiol Case Rep. 2024 Jul 27;19(10):4335-4340. doi: 10.1016/j.radcr.2024.06.086. eCollection 2024 Oct.

DOI:10.1016/j.radcr.2024.06.086
PMID:39170777
原文链接:https://pmc.ncbi.nlm.nih.gov/articles/PMC11338108/
Abstract

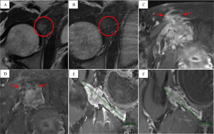
Desmoid fibromatosis (DFs) is rare, low-grade neoplasm. Although it poses no risk of metastasis, DFs exhibits a range of clinical manifestations characterized by local infiltrative growth tendencies and a propensity for recurrence. Despite its nonmalignant nature, DFs can be highly debilitating and occasionally life-threatening, causing severe pain and functional limitations. Traditionally, surgery served as the conventional primary treatment approach; nevertheless, a recent shift in paradigm towards a more conservative management has emerged, accompanied by efforts to standardize the strategy among clinicians. Systemic doxorubicin has been demonstrated to be effective in treating DFs; however, it carries potential risks of adverse effects on the cardiovascular, digestive, and hematologic systems. The novel intravascular intervention employing drug-eluting beads loaded with doxorubicin represents an effective treatment for DFs, optimizing drug delivery to the target lesion and reducing systemic toxicity. In this article, we present a rare case of DFs in the right pubic region treated with transarterial doxorubicin-eluting beads embolization.

摘要

韧带样型纤维瘤病(DFs)是一种罕见的低度恶性肿瘤。尽管它没有转移风险,但DFs表现出一系列临床表现,其特征为局部浸润性生长倾向和复发倾向。尽管DFs本质上并非恶性,但它可能极具致残性,偶尔还会危及生命,导致严重疼痛和功能受限。传统上,手术是常规的主要治疗方法;然而,最近出现了向更保守治疗模式的转变,同时临床医生也在努力使治疗策略标准化。已证明全身使用阿霉素对治疗DFs有效;然而,它对心血管、消化和血液系统存在潜在的不良反应风险。采用载有阿霉素的药物洗脱微球的新型血管内介入治疗是DFs的一种有效治疗方法,可优化药物向靶病变的递送并降低全身毒性。在本文中,我们介绍了一例经动脉阿霉素洗脱微球栓塞治疗的右侧耻骨区罕见DFs病例。

https://cdn.ncbi.nlm.nih.gov/pmc/blobs/f328/11338108/4d2141248e34/gr5.jpg
https://cdn.ncbi.nlm.nih.gov/pmc/blobs/f328/11338108/4bf9e54c12c7/gr1.jpg
https://cdn.ncbi.nlm.nih.gov/pmc/blobs/f328/11338108/72613cf5c695/gr2.jpg
https://cdn.ncbi.nlm.nih.gov/pmc/blobs/f328/11338108/b5192ea009e4/gr3.jpg
https://cdn.ncbi.nlm.nih.gov/pmc/blobs/f328/11338108/9f1d79e0f7fd/gr4.jpg
https://cdn.ncbi.nlm.nih.gov/pmc/blobs/f328/11338108/4d2141248e34/gr5.jpg
https://cdn.ncbi.nlm.nih.gov/pmc/blobs/f328/11338108/4bf9e54c12c7/gr1.jpg
https://cdn.ncbi.nlm.nih.gov/pmc/blobs/f328/11338108/72613cf5c695/gr2.jpg
https://cdn.ncbi.nlm.nih.gov/pmc/blobs/f328/11338108/b5192ea009e4/gr3.jpg
https://cdn.ncbi.nlm.nih.gov/pmc/blobs/f328/11338108/9f1d79e0f7fd/gr4.jpg
https://cdn.ncbi.nlm.nih.gov/pmc/blobs/f328/11338108/4d2141248e34/gr5.jpg

相似文献

1
Transarterial doxorubicin-eluting beads embolization for the treatment of desmoid fibromatosis in the pubic region.经动脉注射阿霉素洗脱微球栓塞术治疗耻骨区硬纤维瘤病
Radiol Case Rep. 2024 Jul 27;19(10):4335-4340. doi: 10.1016/j.radcr.2024.06.086. eCollection 2024 Oct.
2
Selective Intra-Arterial Doxorubicin Eluting Microsphere Embolization for Desmoid Fibromatosis: A Combined Prospective and Retrospective Study.选择性动脉内阿霉素洗脱微球栓塞治疗硬纤维瘤病:一项前瞻性与回顾性相结合的研究
Cancers (Basel). 2022 Oct 14;14(20):5045. doi: 10.3390/cancers14205045.
3
Transarterial Chemoembolization with Doxorubicin Eluting Beads for Extra-Abdominal Desmoid Tumors: Initial Experience.经肝动脉内阿霉素洗脱微球化疗栓塞术治疗腹外型韧带样纤维瘤:初步经验。
Cardiovasc Intervent Radiol. 2022 Aug;45(8):1141-1151. doi: 10.1007/s00270-022-03149-4. Epub 2022 Apr 19.
4
Transarterial chemoembolization with drug-eluting beads in hepatocellular carcinoma.肝细胞癌中使用载药微球的经动脉化疗栓塞术
World J Gastroenterol. 2016 Oct 28;22(40):8853-8861. doi: 10.3748/wjg.v22.i40.8853.
5
Drug-eluting beads for liver embolization: concentration of doxorubicin in tissue and in beads in a pig model.载药微球肝动脉化疗栓塞术:猪模型中组织和微球内阿霉素浓度。
J Vasc Interv Radiol. 2010 Feb;21(2):259-67. doi: 10.1016/j.jvir.2009.10.026.
6
Case report: A rare case of desmoid-type fibromatosis originating in the small intestine.病例报告:一例罕见的起源于小肠的韧带样型纤维瘤病。
Front Med (Lausanne). 2023 Oct 31;10:1291945. doi: 10.3389/fmed.2023.1291945. eCollection 2023.
7
Effectiveness of doxorubicin-based and liposomal doxorubicin chemotherapies for patients with extra-abdominal desmoid-type fibromatosis: a systematic review.多柔比星与脂质体多柔比星化疗治疗腹腔外韧带样型纤维瘤病患者的疗效:系统评价。
Jpn J Clin Oncol. 2020 Oct 22;50(11):1274-1281. doi: 10.1093/jjco/hyaa125.
8
Desmoid-Type Fibromatosis: Evolving Treatment Standards.韧带样型纤维瘤病:不断发展的治疗标准
Surg Oncol Clin N Am. 2016 Oct;25(4):803-26. doi: 10.1016/j.soc.2016.05.010. Epub 2016 Aug 5.
9
Contrast-enhanced ultrasound evaluation of residual blood flow to hepatocellular carcinoma after treatment with transarterial chemoembolization using drug-eluting beads: a prospective study.使用载药微球经动脉化疗栓塞治疗后肝细胞癌残余血流的超声造影评估:一项前瞻性研究
J Ultrasound Med. 2015 May;34(5):859-67. doi: 10.7863/ultra.34.5.859.
10
Chemoembolization of hepatocellular carcinoma with drug-eluting beads complicated by interstitial pneumonitis.药物洗脱微球肝动脉化疗栓塞治疗肝细胞癌并发间质性肺炎
Semin Intervent Radiol. 2011 Jun;28(2):218-21. doi: 10.1055/s-0031-1280668.

本文引用的文献

1
Selective Intra-Arterial Doxorubicin Eluting Microsphere Embolization for Desmoid Fibromatosis: A Combined Prospective and Retrospective Study.选择性动脉内阿霉素洗脱微球栓塞治疗硬纤维瘤病:一项前瞻性与回顾性相结合的研究
Cancers (Basel). 2022 Oct 14;14(20):5045. doi: 10.3390/cancers14205045.
2
Evolving strategies for management of desmoid tumor. evolving strategies for management of desmoid tumor.
Cancer. 2022 Aug 15;128(16):3027-3040. doi: 10.1002/cncr.34332. Epub 2022 Jun 7.
3
Transarterial Chemoembolization with Doxorubicin Eluting Beads for Extra-Abdominal Desmoid Tumors: Initial Experience.
经肝动脉内阿霉素洗脱微球化疗栓塞术治疗腹外型韧带样纤维瘤:初步经验。
Cardiovasc Intervent Radiol. 2022 Aug;45(8):1141-1151. doi: 10.1007/s00270-022-03149-4. Epub 2022 Apr 19.
4
Desmoid Fibromatosis: Management in an Era of Increasing Options.韧带样纤维瘤病:治疗选择日益增多时代的管理。
Curr Oncol Rep. 2021 Mar 14;23(4):41. doi: 10.1007/s11912-021-01026-w.
5
Effectiveness of doxorubicin-based and liposomal doxorubicin chemotherapies for patients with extra-abdominal desmoid-type fibromatosis: a systematic review.多柔比星与脂质体多柔比星化疗治疗腹腔外韧带样型纤维瘤病患者的疗效:系统评价。
Jpn J Clin Oncol. 2020 Oct 22;50(11):1274-1281. doi: 10.1093/jjco/hyaa125.
6
The management of desmoid tumours: A joint global consensus-based guideline approach for adult and paediatric patients.《韧带样纤维瘤的治疗管理:成人和儿童患者基于全球共识的联合指南方法》
Eur J Cancer. 2020 Mar;127:96-107. doi: 10.1016/j.ejca.2019.11.013. Epub 2020 Jan 28.
7
Treatment of Desmoid Tumors in 2019.2019年硬纤维瘤的治疗
JAMA Oncol. 2019 Apr 1;5(4):567-568. doi: 10.1001/jamaoncol.2018.6449.
8
Association of MRI T2 Signal Intensity With Desmoid Tumor Progression During Active Observation: A Retrospective Cohort Study.MRI T2 信号强度与活跃观察期间韧带样瘤进展的相关性:一项回顾性队列研究。
Ann Surg. 2020 Apr;271(4):748-755. doi: 10.1097/SLA.0000000000003073.
9
Doxorubicin-Eluting Intra-Arterial Therapy for Pediatric Extra-Abdominal Desmoid Fibromatoses: A Promising Approach for a Perplexing Disease.多柔比星动脉内洗脱疗法治疗小儿腹外硬纤维瘤:治疗这一棘手疾病的一种有前景的方法
J Vasc Interv Radiol. 2018 Oct;29(10):1376-1382. doi: 10.1016/j.jvir.2018.04.009. Epub 2018 Jul 31.
10
An update on the management of sporadic desmoid-type fibromatosis: a European Consensus Initiative between Sarcoma PAtients EuroNet (SPAEN) and European Organization for Research and Treatment of Cancer (EORTC)/Soft Tissue and Bone Sarcoma Group (STBSG).关于散发性硬纤维瘤样纤维瘤病(desmoid-type fibromatosis)治疗的最新进展:肉瘤患者欧洲网络(Sarcoma PAtients EuroNet,SPAEN)和欧洲癌症研究与治疗组织(European Organization for Research and Treatment of Cancer,EORTC)/软组织和骨肿瘤研究组(Soft Tissue and Bone Sarcoma Group,STBSG)之间的欧洲共识倡议。
Ann Oncol. 2017 Oct 1;28(10):2399-2408. doi: 10.1093/annonc/mdx323.