Suppr超能文献

颧骨及眶区外周性牙源性黏液瘤——1例独特病例报告并文献复习

Peripheral Odontogenic Myxoma of Zygoma and Orbital Region - A Unique Case Report with Review of Literature.

作者信息

Nikunj Anand Mohan, Mishra Biswajit, Elangovan Bathri, Rajkhokar Dilpreet

机构信息

Department of Oral and Maxillofacial Surgery, Government Dental College, Raipur, Chhattisgarh, India.

出版信息

Ann Maxillofac Surg. 2024 Jan-Jun;14(1):112-115. doi: 10.4103/ams.ams_226_23. Epub 2024 May 13.

Abstract

RATIONALE

Peripheral odontogenic myxoma (POM) is a rare mesenchymal tumour and it is the first case report of POM involving orbital and zygoma region.

PATIENT CONCERNS

A 16-year-old male presented with a painless, slow-growing swelling over his left infratemporal region.

DIAGNOSIS

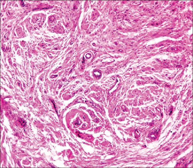
The histopathological examination of the tumour was diagnosed as POM.

TREATMENT

The patient was treated by surgical removal of tumour under general anaesthesia.

OUTCOMES

The patient has been under follow-up for the past 2.5 years and there has been no recurrence.

TAKE-AWAY LESSONS: POM is a rare mesenchymal tumour. To our knowledge, this is only the second report of a POM of the infratemporal region and the first report of a myxoma, which extends into the zygomatic region and lateral wall of the orbit.

摘要

理论依据

外周性牙源性黏液瘤(POM)是一种罕见的间充质肿瘤,这是首例关于POM累及眼眶和颧骨区域的病例报告。

患者情况

一名16岁男性,左颞下区域出现无痛性、生长缓慢的肿胀。

诊断

肿瘤的组织病理学检查诊断为POM。

治疗

患者在全身麻醉下接受了肿瘤切除术。

结果

患者在过去2.5年一直处于随访中,未出现复发。

经验教训

POM是一种罕见的间充质肿瘤。据我们所知,这是颞下区域POM的第二篇报道,也是黏液瘤延伸至颧骨区域和眶外侧壁的首例报道。

https://cdn.ncbi.nlm.nih.gov/pmc/blobs/784b/11340824/9eca79504422/AMS-14-112-g001.jpg

相似文献

1
Peripheral Odontogenic Myxoma of Zygoma and Orbital Region - A Unique Case Report with Review of Literature.
Ann Maxillofac Surg. 2024 Jan-Jun;14(1):112-115. doi: 10.4103/ams.ams_226_23. Epub 2024 May 13.
2
Peripheral odontogenic myxoma.
Indian J Dent Res. 2016 Jul-Aug;27(4):437-440. doi: 10.4103/0970-9290.191896.
3
4
Odontogenic myxoma of posterior maxilla - A rare case report.
J Family Med Prim Care. 2020 Mar 26;9(3):1744-1748. doi: 10.4103/jfmpc.jfmpc_1189_19. eCollection 2020 Mar.
5
Odontogenic myxoma of the maxilla: A rare case report and review of the literature.
Ann Med Surg (Lond). 2022 Apr 6;77:103575. doi: 10.1016/j.amsu.2022.103575. eCollection 2022 May.
6
Infratemporal inflammatory myofibroblastic tumour with orbital extension.
Clin Exp Ophthalmol. 2010 Oct;38(7):727-30. doi: 10.1111/j.1442-9071.2010.02329.x. Epub 2010 Jul 9.
7
Diode laser on excision of giant peripheral odontogenic myxoma: a rare case report and literature review.
Lasers Med Sci. 2023 Jan 11;38(1):38. doi: 10.1007/s10103-023-03705-5.
8
Peripheral odontogenic myxoma of maxillary gingiva: A rare clinical entity.
J Indian Soc Periodontol. 2013 Sep;17(5):653-6. doi: 10.4103/0972-124X.119287.
9
Peripheral myxoma of the infratemporal region: An unusual case report.
J Oral Biol Craniofac Res. 2015 Sep-Dec;5(3):232-5. doi: 10.1016/j.jobcr.2015.07.004. Epub 2015 Aug 8.
10
Myxoma of the jaws. Report of three cases.
Med Oral. 2001 Mar-Apr;6(2):106-13.

本文引用的文献

1
Maxillary and mandibular odontogenic myxomas: case report.
Pan Afr Med J. 2022 Jun 8;42:103. doi: 10.11604/pamj.2022.42.103.34690. eCollection 2022.
2
Odontogenic myxomas lack PDGFRB mutations reported in myofibromas.
J Oral Pathol Med. 2020 Mar;49(3):278-283. doi: 10.1111/jop.13004. Epub 2020 Feb 21.
3
Odontogenic Myxoma: Systematic review and bias analysis.
Eur J Clin Invest. 2020 Apr;50(4):e13214. doi: 10.1111/eci.13214. Epub 2020 Mar 14.
4
The Rare Radiographic Sunburst Appearance of Odontogenic Myxomas: A Case Report and Review of the Literature.
Head Neck Pathol. 2020 Dec;14(4):1105-1110. doi: 10.1007/s12105-019-01122-1. Epub 2020 Jan 4.
5
Recurrence rate of odontogenic myxoma after different treatments: a systematic review.
Br J Oral Maxillofac Surg. 2019 Dec;57(10):985-991. doi: 10.1016/j.bjoms.2019.09.005. Epub 2019 Sep 21.
6
Appropriate surgical margin for odontogenic myxoma: a review of 12 cases.
Oral Surg Oral Med Oral Pathol Oral Radiol. 2018 Nov;126(5):404-408. doi: 10.1016/j.oooo.2018.06.002. Epub 2018 Jun 25.
7
Odontogenic tumors: where are we in 2017 ?
J Istanb Univ Fac Dent. 2017 Dec 2;51(3 Suppl 1):S10-S30. doi: 10.17096/jiufd.52886. eCollection 2017.
8
Giant myxomas of the maxillofacial skeleton and skull base.
Otolaryngol Head Neck Surg. 2006 Jun;134(6):931-5. doi: 10.1016/j.otohns.2006.02.008.
9
Soft tissue myxoma: report of an unusual case located on the gingiva.
J Clin Periodontol. 2006 Jan;33(1):76-8. doi: 10.1111/j.1600-051X.2005.00837.x.
10
Central odontogenic fibromyxoma of the mandible; report of a case.
Oral Surg Oral Med Oral Pathol. 1957 Jul;10(7):690-5. doi: 10.1016/s0030-4220(57)80064-4.

文献AI研究员

20分钟写一篇综述,助力文献阅读效率提升50倍。

立即体验

用中文搜PubMed

大模型驱动的PubMed中文搜索引擎

马上搜索

文档翻译

学术文献翻译模型,支持多种主流文档格式。

立即体验