• 文献检索
  • 文档翻译
  • 深度研究
  • 学术资讯
  • Suppr Zotero 插件Zotero 插件
  • 邀请有礼
  • 套餐&价格
  • 历史记录
应用&插件
Suppr Zotero 插件Zotero 插件浏览器插件Mac 客户端Windows 客户端微信小程序
定价
高级版会员购买积分包购买API积分包
服务
文献检索文档翻译深度研究API 文档MCP 服务
关于我们
关于 Suppr公司介绍联系我们用户协议隐私条款
关注我们

Suppr 超能文献

核心技术专利:CN118964589B侵权必究
粤ICP备2023148730 号-1Suppr @ 2026

文献检索

告别复杂PubMed语法,用中文像聊天一样搜索,搜遍4000万医学文献。AI智能推荐,让科研检索更轻松。

立即免费搜索

文件翻译

保留排版,准确专业,支持PDF/Word/PPT等文件格式,支持 12+语言互译。

免费翻译文档

深度研究

AI帮你快速写综述,25分钟生成高质量综述,智能提取关键信息,辅助科研写作。

立即免费体验

新冠病毒感染后嗜酸性粒细胞性肠炎病例报告:成人中的罕见诊断

A Case Report of Post-COVID-19 Eosinophilic Enteritis: An Uncommon Diagnosis in an Adult.

作者信息

Ravilla Jayasree, He Ping, Patel Anish V

机构信息

Internal Medicine, Monmouth Medical Center, Long Branch, USA.

Gastroenterology, Rutgers Robert Wood Johnson Medical School, New Brunswick, USA.

出版信息

Cureus. 2024 Jul 24;16(7):e65265. doi: 10.7759/cureus.65265. eCollection 2024 Jul.

DOI:10.7759/cureus.65265
PMID:39184805
原文链接:https://pmc.ncbi.nlm.nih.gov/articles/PMC11342823/
Abstract

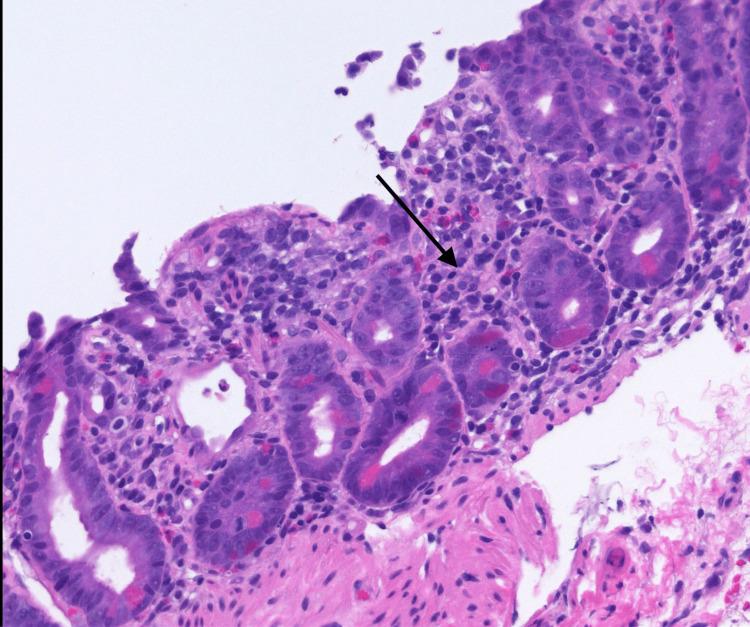
Eosinophilic esophagitis (EoE) and eosinophilic gastroenteritis (EGE), also known as eosinophilic enteritis (EoN), are both parts of the eosinophilic gastrointestinal disease (EGID) and share pathogenic similarities. Over the past two decades, the incidence and prevalence of EoE have rapidly increased, especially in Western countries, while EGE remains rare. Unlike EoE, no standard treatment strategies or guidelines have been established due to the extreme rarity of EGE, especially in Western countries. Here, we report a rare case of EoN in a 35-year-old female resulting from severe acute respiratory syndrome coronavirus 2 (SARS-CoV-2) infection.

摘要

嗜酸性食管炎(EoE)和嗜酸性胃肠炎(EGE),也称为嗜酸性肠炎(EoN),均属于嗜酸性胃肠道疾病(EGID),且在发病机制上具有相似性。在过去二十年中,EoE的发病率和患病率迅速上升,尤其是在西方国家,而EGE仍然较为罕见。与EoE不同,由于EGE极为罕见,尤其是在西方国家,尚未建立标准的治疗策略或指南。在此,我们报告一例35岁女性因严重急性呼吸综合征冠状病毒2(SARS-CoV-2)感染导致的罕见嗜酸性肠炎病例。

https://cdn.ncbi.nlm.nih.gov/pmc/blobs/bf2c/11342823/3337e3e58c5a/cureus-0016-00000065265-i02.jpg
https://cdn.ncbi.nlm.nih.gov/pmc/blobs/bf2c/11342823/aac2aaf5f2bf/cureus-0016-00000065265-i01.jpg
https://cdn.ncbi.nlm.nih.gov/pmc/blobs/bf2c/11342823/3337e3e58c5a/cureus-0016-00000065265-i02.jpg
https://cdn.ncbi.nlm.nih.gov/pmc/blobs/bf2c/11342823/aac2aaf5f2bf/cureus-0016-00000065265-i01.jpg
https://cdn.ncbi.nlm.nih.gov/pmc/blobs/bf2c/11342823/3337e3e58c5a/cureus-0016-00000065265-i02.jpg

相似文献

1
A Case Report of Post-COVID-19 Eosinophilic Enteritis: An Uncommon Diagnosis in an Adult.新冠病毒感染后嗜酸性粒细胞性肠炎病例报告:成人中的罕见诊断
Cureus. 2024 Jul 24;16(7):e65265. doi: 10.7759/cureus.65265. eCollection 2024 Jul.
2
Clinical Characteristics and Treatment Outcomes of Patients with Eosinophilic Esophagitis and Eosinophilic Gastroenteritis.嗜酸性食管炎和嗜酸性胃肠炎患者的临床特征及治疗结果
Digestion. 2021;102(1):33-40. doi: 10.1159/000511588. Epub 2020 Nov 17.
3
Eosinophilic Esophagitis Patients Are Not at Increased Risk of Severe COVID-19: A Report From a Global Registry.嗜酸粒细胞性食管炎患者患重症 COVID-19 的风险并未增加:来自全球登记处的报告。
J Allergy Clin Immunol Pract. 2022 Jan;10(1):143-149.e9. doi: 10.1016/j.jaip.2021.10.019. Epub 2021 Oct 22.
4
Review of Non-Eosinophilic Esophagitis-Eosinophilic Gastrointestinal Disease (Non-EoE-EGID) and a Case Series of Twenty-Eight Affected Patients.非嗜酸性食管炎-嗜酸性胃肠道疾病(非 EoE-EGID)的回顾与二十八例患者的病例系列。
Biomolecules. 2023 Sep 20;13(9):1417. doi: 10.3390/biom13091417.
5
Racial differences in eosinophilic gastrointestinal disorders among Caucasian and Asian.白种人和亚洲人嗜酸性粒细胞性胃肠道疾病的种族差异。
Allergol Int. 2015 Jul;64(3):253-9. doi: 10.1016/j.alit.2015.02.003. Epub 2015 Mar 30.
6
Eosinophilic Esophagitis, Eosinophilic Gastroenteritis, and Eosinophilic Colitis: Common Mechanisms and Differences between East and West.嗜酸性食管炎、嗜酸性胃肠炎和嗜酸性结肠炎:东西方的共同机制与差异
Inflamm Intest Dis. 2016 Jul;1(2):63-69. doi: 10.1159/000445131. Epub 2016 Apr 22.
7
Clinical characteristics of Japanese patients with eosinophilic esophagitis and eosinophilic gastroenteritis.日本嗜酸细胞性食管炎和嗜酸细胞性胃肠炎患者的临床特征。
J Gastroenterol. 2013 Mar;48(3):333-9. doi: 10.1007/s00535-012-0640-x. Epub 2012 Jul 31.
8
Eosinophilic Gastritis and Enteritis Are Increased in Families With Eosinophilic Esophagitis.嗜酸性粒细胞性胃炎和肠炎在嗜酸性粒细胞性食管炎患者的家族中更为常见。
Am J Gastroenterol. 2023 Feb 1;118(2):263-268. doi: 10.14309/ajg.0000000000002021. Epub 2022 Sep 21.
9
Eosinophilic Esophagitis and Gastroenteritis.嗜酸性粒细胞性食管炎和胃肠炎
Curr Allergy Asthma Rep. 2015 Sep;15(9):58. doi: 10.1007/s11882-015-0558-5.
10
Primary Eosinophilic Gastrointestinal Diseases Beyond Eosinophilic Esophagitis in Children.儿童嗜酸性粒细胞性胃肠道疾病除嗜酸性食管炎外。
J Pediatr Gastroenterol Nutr. 2021 Feb 1;72(2):294-299. doi: 10.1097/MPG.0000000000002925.

本文引用的文献

1
Eosinophilic enteritis: the great mimic.嗜酸性粒细胞性肠炎:极具迷惑性的病症。
Arch Clin Cases. 2023 Dec 14;10(4):183-186. doi: 10.22551/2023.41.1004.10271. eCollection 2023.
2
Current and Novel Therapies for Eosinophilic Gastrointestinal Diseases.嗜酸粒细胞性胃肠道疾病的当前和新型治疗方法。
Int J Mol Sci. 2023 Oct 13;24(20):15165. doi: 10.3390/ijms242015165.
3
Eosinophilic enteritis presenting as intestinal obstruction: case report and review of the literature.以肠梗阻为表现的嗜酸性粒细胞性肠炎:病例报告及文献复习。
Cir Cir. 2023;91(5):709-712. doi: 10.24875/CIRU.21000723.
4
Eosinophilic gastroenteritis: Pathogenesis, diagnosis, and treatment.嗜酸性粒细胞性胃肠炎:发病机制、诊断和治疗。
Chin Med J (Engl). 2023 Apr 20;136(8):899-909. doi: 10.1097/CM9.0000000000002511. Epub 2023 Apr 6.
5
mRNA COVID-19 Vaccine-Associated Subserosal Eosinophilic Gastroenteritis: A Case Report.mRNA COVID-19 疫苗相关黏膜下嗜酸性胃肠炎:病例报告。
J Korean Med Sci. 2022 Aug 1;37(30):e233. doi: 10.3346/jkms.2022.37.e233.
6
Biologics in eosinophilic gastrointestinal diseases.在嗜酸性粒细胞性胃肠道疾病中的生物制剂。
Ann Allergy Asthma Immunol. 2023 Jan;130(1):21-27. doi: 10.1016/j.anai.2022.06.015. Epub 2022 Jun 20.
7
Eosinophilic enteritis accompanied by cytomegalovirus disease: a case report.嗜酸细胞性肠炎合并巨细胞病毒病:病例报告。
BMC Gastroenterol. 2022 Apr 28;22(1):209. doi: 10.1186/s12876-022-02274-1.
8
Clinical Characteristics and Treatment Outcomes of Patients with Eosinophilic Esophagitis and Eosinophilic Gastroenteritis.嗜酸性食管炎和嗜酸性胃肠炎患者的临床特征及治疗结果
Digestion. 2021;102(1):33-40. doi: 10.1159/000511588. Epub 2020 Nov 17.
9
Dual checkpoint inhibitor-associated eosinophilic enteritis.双重检查点抑制剂相关嗜酸性粒细胞性肠炎。
J Immunother Cancer. 2019 Nov 15;7(1):310. doi: 10.1186/s40425-019-0743-5.
10
Eosinophilic Gastrointestinal Disorders.嗜酸性粒细胞性胃肠道疾病。
Clin Rev Allergy Immunol. 2019 Oct;57(2):272-285. doi: 10.1007/s12016-019-08732-1.