• 文献检索
  • 文档翻译
  • 深度研究
  • 学术资讯
  • Suppr Zotero 插件Zotero 插件
  • 邀请有礼
  • 套餐&价格
  • 历史记录
应用&插件
Suppr Zotero 插件Zotero 插件浏览器插件Mac 客户端Windows 客户端微信小程序
定价
高级版会员购买积分包购买API积分包
服务
文献检索文档翻译深度研究API 文档MCP 服务
关于我们
关于 Suppr公司介绍联系我们用户协议隐私条款
关注我们

Suppr 超能文献

核心技术专利:CN118964589B侵权必究
粤ICP备2023148730 号-1Suppr @ 2026

文献检索

告别复杂PubMed语法,用中文像聊天一样搜索,搜遍4000万医学文献。AI智能推荐,让科研检索更轻松。

立即免费搜索

文件翻译

保留排版,准确专业,支持PDF/Word/PPT等文件格式,支持 12+语言互译。

免费翻译文档

深度研究

AI帮你快速写综述,25分钟生成高质量综述,智能提取关键信息,辅助科研写作。

立即免费体验

导致小肠和尿路双重梗阻的内疝:1例罕见病例报告

Internal Herniation Causing Double Obstruction of the Small Bowel and Urinary Tract: A Rare Case Presentation.

作者信息

Permekerlis Athanasios, Gemousakaki Eirini, Tepelidis Christos, Fotiadis Panagiotis

机构信息

2nd Surgical Department, 424 General Military Hospital, Thessaloniki, GRC.

出版信息

Cureus. 2024 Jul 27;16(7):e65483. doi: 10.7759/cureus.65483. eCollection 2024 Jul.

DOI:10.7759/cureus.65483
PMID:39188423
原文链接:https://pmc.ncbi.nlm.nih.gov/articles/PMC11346821/
Abstract

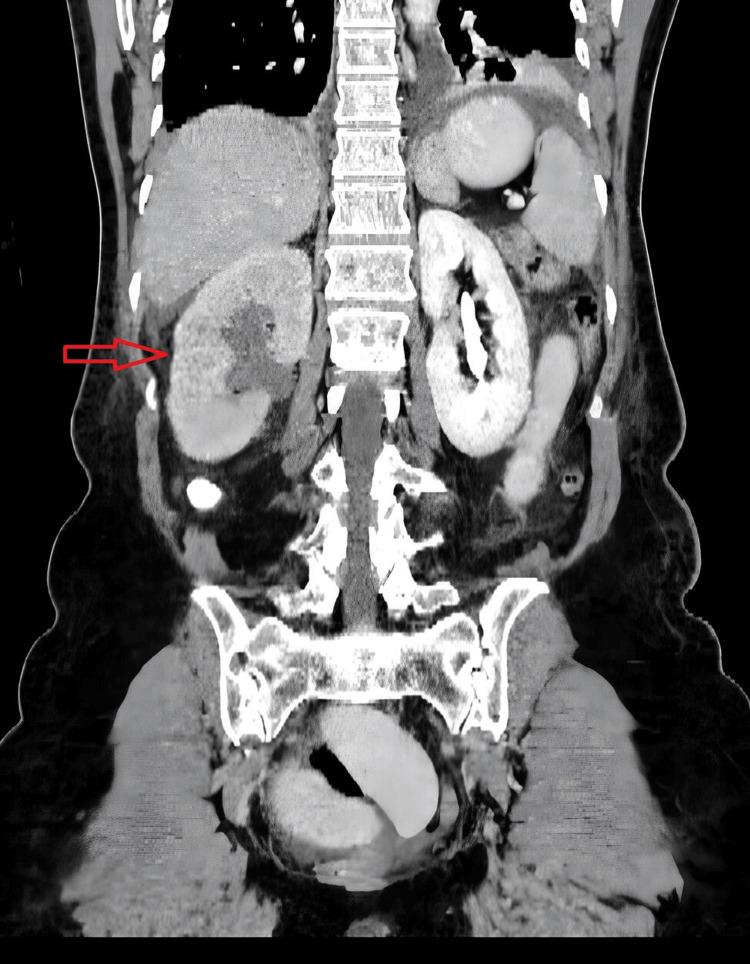
Small bowel obstruction is one of the most common urgent surgical conditions, caused by a variety of factors, with adhesions, malignancies, and hernias, internal and external, being the most common. Many types of internal hernias have been described in the literature; however, internal hernia caused by the ureter as a secondary complication of ureteroplasty is rare and only a few cases have been reported worldwide. This presentation discusses an interesting case of small bowel obstruction accompanied by obstruction of the urinary tract due to an internal hernia caused by the ureter. A 58-year-old female presented to the emergency department (ED) with acute pain in the abdominal and right lumbar region. Her surgical history includes hysterectomy, right ureter injury, and ureteroplasty performed 10 years ago. Clinical examination showed tenderness in the lower abdomen, positive Giordano's sign on the right, and metallic bowel sounds. A computer tomography scan revealed right-sided hydronephrosis, absence of excretion in the right urinary tract, and dilated loops of the small intestine. An exploratory laparoscopy revealed a small bowel loop strangulated by the ureter, followed by laparotomy, resection of a segment of the ileum, oblique anastomosis, and reimplantation of the right ureter. The patient was discharged eight days postoperatively without any complications. This case underscores the significance of surgical history in order to recognize even rarer causes of small bowel obstruction.

摘要

小肠梗阻是最常见的紧急外科病症之一,由多种因素引起,其中粘连、恶性肿瘤以及内疝和外疝最为常见。文献中已描述了多种类型的内疝;然而,输尿管作为输尿管成形术的继发性并发症导致的内疝较为罕见,全球仅报道了少数病例。本文介绍了一例因输尿管导致的内疝引起小肠梗阻并伴有尿路梗阻的有趣病例。一名58岁女性因腹部和右腰区急性疼痛就诊于急诊科。她的手术史包括10年前的子宫切除术、右侧输尿管损伤和输尿管成形术。临床检查显示下腹部压痛、右侧乔达诺征阳性以及金属样肠鸣音。计算机断层扫描显示右侧肾积水、右侧尿路无排泄以及小肠肠袢扩张。腹腔镜探查发现一段小肠袢被输尿管绞窄,随后进行剖腹手术,切除一段回肠,行斜行吻合,并重新植入右侧输尿管。患者术后八天出院,无任何并发症。该病例强调了手术史对于识别小肠梗阻更罕见病因的重要性。

https://cdn.ncbi.nlm.nih.gov/pmc/blobs/1f26/11346821/642091b87aea/cureus-0016-00000065483-i02.jpg
https://cdn.ncbi.nlm.nih.gov/pmc/blobs/1f26/11346821/d7295766e2f3/cureus-0016-00000065483-i01.jpg
https://cdn.ncbi.nlm.nih.gov/pmc/blobs/1f26/11346821/642091b87aea/cureus-0016-00000065483-i02.jpg
https://cdn.ncbi.nlm.nih.gov/pmc/blobs/1f26/11346821/d7295766e2f3/cureus-0016-00000065483-i01.jpg
https://cdn.ncbi.nlm.nih.gov/pmc/blobs/1f26/11346821/642091b87aea/cureus-0016-00000065483-i02.jpg

相似文献

1
Internal Herniation Causing Double Obstruction of the Small Bowel and Urinary Tract: A Rare Case Presentation.导致小肠和尿路双重梗阻的内疝:1例罕见病例报告
Cureus. 2024 Jul 27;16(7):e65483. doi: 10.7759/cureus.65483. eCollection 2024 Jul.
2
Case report of laparoscopic reduction of retro-ureter incarcerated small bowel obstruction.腹腔镜复位后输尿管嵌顿性小肠梗阻病例报告
Medicine (Baltimore). 2019 Dec;98(49):e18250. doi: 10.1097/MD.0000000000018250.
3
Jejunal obstruction due to rare internal hernia between skeletonized external iliac artery and vein as late complication of laparoscopic hysterectomy with pelvic lymphadenectomy-case report and review of literature.腹腔镜子宫切除术和盆腔淋巴结清扫术后罕见的骼外动脉和静脉之间骨架化的内疝导致空肠梗阻:病例报告及文献复习。
Arch Gynecol Obstet. 2020 Nov;302(5):1075-1080. doi: 10.1007/s00404-020-05724-x. Epub 2020 Aug 7.
4
Strangulated small-bowel internal hernia through a defect in the broad ligament of the uterus presenting as acute intestinal obstruction: A case report.经子宫阔韧带缺损形成绞窄性小肠内疝并表现为急性肠梗阻:一例报告
Case Rep Womens Health. 2021 Mar 26;30:e00310. doi: 10.1016/j.crwh.2021.e00310. eCollection 2021 Apr.
5
Early intervention in intersigmoid hernia may prevent bowel resection-A case report.乙状结肠间疝的早期干预可能预防肠切除——病例报告
Int J Surg Case Rep. 2011;2(8):282-4. doi: 10.1016/j.ijscr.2011.08.010. Epub 2011 Sep 14.
6
Bowel Obstruction Caused by Broad Ligament Hernia Successfully Repaired by Laparoscopy in an Elderly Patient: A Case Report.老年患者腹腔镜成功修复阔韧带疝所致肠梗阻:病例报告
Cureus. 2022 Mar 16;14(3):e23237. doi: 10.7759/cureus.23237. eCollection 2022 Mar.
7
Small bowel obstruction due to internal hernia caused by the ureter after laparoscopic radical cystectomy and ileal conduit: A case report.腹腔镜根治性膀胱切除术及回肠代膀胱术后输尿管所致内疝引起的小肠梗阻:一例报告
Asian J Endosc Surg. 2019 Apr;12(2):189-191. doi: 10.1111/ases.12615. Epub 2018 Jun 7.
8
Congenital Dual Internal Hernias Causing Small Bowel Obstruction in a Man with no Prior Surgical History: A Report of a Very Rare Case.先天性双重内疝致无既往手术史男性小肠梗阻 1 例报告:非常罕见病例
Am J Case Rep. 2021 Jul 13;22:e932132. doi: 10.12659/AJCR.932132.
9
A Rare Case of Small Bowel Obstruction in a 15-Year-Old Girl: Internal Hernia Associated with Meckel's Diverticulum.15 岁女孩罕见小肠梗阻:梅克尔憩室相关的内疝。
Am J Case Rep. 2024 Apr 5;25:e943071. doi: 10.12659/AJCR.943071.
10
Small bowel obstruction secondary to paravesical hernia.膀胱旁疝继发小肠梗阻
Int J Surg Case Rep. 2016;26:156-8. doi: 10.1016/j.ijscr.2016.07.021. Epub 2016 Jul 29.

本文引用的文献

1
Petersen's Hernia After Roux-en-Y Gastric Bypass: A Case Report.Roux-en-Y胃旁路术后的彼得森疝:一例报告
Cureus. 2023 Dec 18;15(12):e50757. doi: 10.7759/cureus.50757. eCollection 2023 Dec.
2
The transplant ureter causing small bowel obstruction following intraperitoneal kidney transplantation: a case report.腹膜内肾移植术后移植输尿管导致小肠梗阻:一例报告
J Surg Case Rep. 2023 Apr 22;2023(4):rjad218. doi: 10.1093/jscr/rjad218. eCollection 2023 Apr.
3
Beware the band adhesion: an unexpected cause of double obstruction following intraperitoneal kidney transplantation.
谨防肠粘连:腹膜内肾移植术后双梗阻的意外原因。
J Surg Case Rep. 2020 Aug 14;2020(8):rjaa239. doi: 10.1093/jscr/rjaa239. eCollection 2020 Aug.
4
Case report of laparoscopic reduction of retro-ureter incarcerated small bowel obstruction.腹腔镜复位后输尿管嵌顿性小肠梗阻病例报告
Medicine (Baltimore). 2019 Dec;98(49):e18250. doi: 10.1097/MD.0000000000018250.
5
Double Obstruction Following Third Renal Transplant: A Case Report.第三次肾移植后的双重梗阻:病例报告
Transplant Proc. 2019 Nov;51(9):3080-3083. doi: 10.1016/j.transproceed.2019.06.007. Epub 2019 Oct 15.
6
Review of internal hernias: radiographic and clinical findings.内疝的综述:影像学和临床发现
AJR Am J Roentgenol. 2006 Mar;186(3):703-17. doi: 10.2214/AJR.05.0644.
7
Gastrointestinal complications of laparoscopic Roux-en-Y gastric bypass surgery: clinical and imaging findings.腹腔镜Roux-en-Y胃旁路手术的胃肠道并发症:临床及影像学表现
Radiology. 2002 Jun;223(3):625-32. doi: 10.1148/radiol.2233011323.
8
Bowel obstruction following liver transplantation: clinical and ct findings in 48 cases with emphasis on internal hernia.肝移植术后肠梗阻:48例临床及CT表现,重点关注内疝
Radiology. 2001 Feb;218(2):384-8. doi: 10.1148/radiology.218.2.r01ja22384.
9
Acute small bowel obstruction 20 years after reimplantation of the ureter.
Br J Urol. 1981 Feb;53(1):83. doi: 10.1111/j.1464-410x.1981.tb03136.x.