Suppr超能文献

哈萨克斯坦共和国北部地区的马肉孢子虫病

Equine Sarcocystosis in the Northern Region of the Republic of Kazakhstan.

作者信息

Bermukhametov Zhanaidar, Suleimanova Kulyay, Tomaruk Oksana, Baimenov Bakhit, Shevchenko Pavel, Batyrbekov Assylbek, Mikniene Zoja, Onur Girişgin Ahmet, Rychshanova Raushan

机构信息

Research and Innovation Center, Research Institute of Applied Biotechnology, NLC «Akhmet Baitursynuly Kostanay Regional University», Kostanay 110000, Kazakhstan.

Department of Natural Sciences, Kostanay Social-Technical University named after Academician Zulharnai Aldamjar, Kostanay 110000, Kazakhstan.

出版信息

Animals (Basel). 2024 Aug 7;14(16):2299. doi: 10.3390/ani14162299.

Abstract

BACKGROUND

A total of 396 samples were taken from the hearts, oesophagi, and diaphragms of 132 horses slaughtered at slaughterhouses in 2023 for subsequent examination.

METHODS

The histological method revealed pathomorphological changes in the muscle tissue. The molecular method identified the pathogen species.

RESULTS

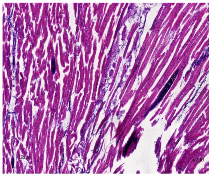
Histological examination revealed thick-walled cysts with internal septa and numerous bradyzoites, and mononuclear inflammatory cells with pericyst infiltrates. Microcyst samples were amplified by polymerase chain reaction. Molecular genetic analysis allowed for the identification of 18 sarcocysts. Phylogenetic analysis of isolates revealed three separate clades of and two separate clades of . Comparison and phylogenetic analysis revealed a very close relationship between the identified species and other equine DNA sequences from China and Japan. Based on the results obtained, the epizootic situation and the parasitic level of sarcocystosis contamination of horses in the northern Kazakhstan were determined.

CONCLUSION

This is the first histological and molecular study to identify spp. isolated from microscopic forms of equine sarcocysts in the northern Kazakhstan. This research will contribute to the fight against the spread of sarcocystosis in the Republic of Kazakhstan and will allow us to develop proposals for improving the mechanisms of sarcocystosis control.

摘要

背景

2023年,从屠宰场宰杀的132匹马的心脏、食管和横膈膜采集了共计396份样本,用于后续检查。

方法

组织学方法揭示了肌肉组织的病理形态学变化。分子方法鉴定了病原体种类。

结果

组织学检查发现有带内部隔膜的厚壁囊肿和大量缓殖子,以及囊肿周围浸润的单核炎性细胞。微囊肿样本通过聚合酶链反应进行扩增。分子遗传学分析鉴定出18个肉孢子虫囊。对分离株的系统发育分析揭示了三个独立的 分支和两个独立的 分支。比较和系统发育分析表明,鉴定出的 物种与来自中国和日本的其他马属 DNA序列之间存在非常密切的关系。根据获得的结果,确定了哈萨克斯坦北部马的肉孢子虫病流行情况和寄生虫污染水平。

结论

这是首次在哈萨克斯坦北部对从马属肉孢子虫微观形态中分离出的 spp. 进行组织学和分子研究。这项研究将有助于抗击哈萨克斯坦共和国肉孢子虫病的传播,并使我们能够制定改进肉孢子虫病控制机制的建议。

https://cdn.ncbi.nlm.nih.gov/pmc/blobs/9741/11350656/07aab25dfeb8/animals-14-02299-g001.jpg

文献检索

告别复杂PubMed语法,用中文像聊天一样搜索,搜遍4000万医学文献。AI智能推荐,让科研检索更轻松。

立即免费搜索

文件翻译

保留排版,准确专业,支持PDF/Word/PPT等文件格式,支持 12+语言互译。

免费翻译文档

深度研究

AI帮你快速写综述,25分钟生成高质量综述,智能提取关键信息,辅助科研写作。

立即免费体验